Skip to content
クリニック紹介
設備紹介
診療科目
訪問診療
料金表
クリニック紹介
設備紹介
診療科目
訪問診療
料金表
アーカイブ:
施術例
Home
>
施術例
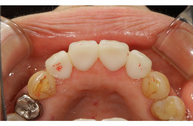
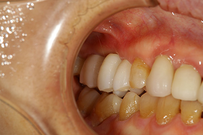
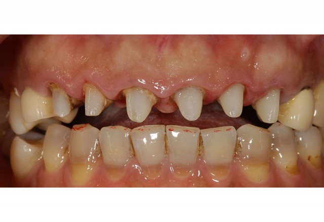
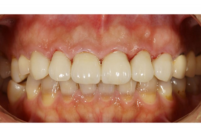
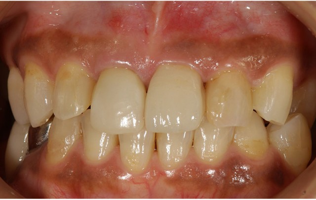
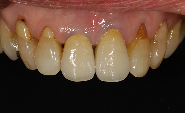
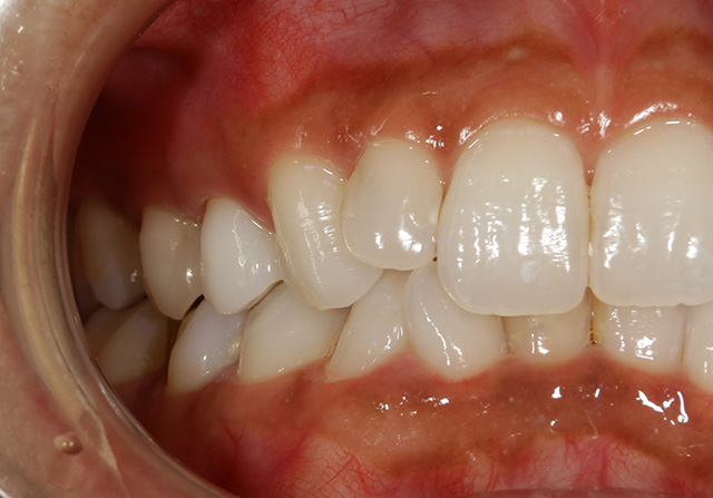
抜歯後の補綴(ほてつ)をジルコニアでした症例
施術前
施術後
詳しく見る
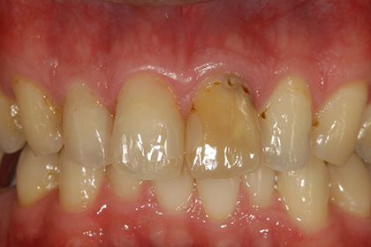
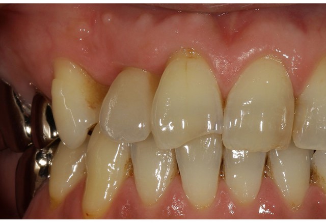
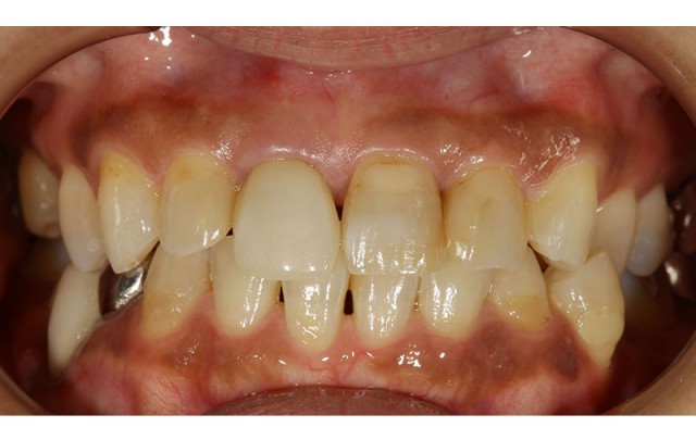
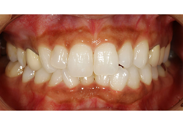
左上中切歯(前歯から1番目)の変色が気になるのでジルコニアでやりかえを希望された症例
施術前
施術後
詳しく見る
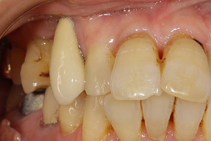
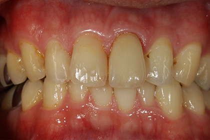
右上小臼歯(前歯から数えて4〜5番目)の抜歯後補綴(ほてつ)メタルボンドのブリッジした症例
施術前
施術後
詳しく見る
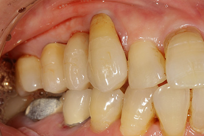
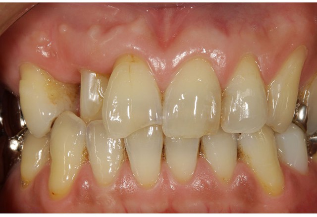
メタルボンドからジルコニアに変更した術例
施術前
施術後
詳しく見る
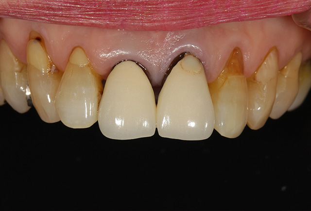
前歯2本をメタルボンドによる審美術した例
施術前
施術後
詳しく見る
かみ合わせによりすり減った義歯をジルコニアにて回復した術例
施術前
施術後
詳しく見る
前歯6本をオールセラミックにより審美治療により施術
施術前
施術後
詳しく見る
側切歯の反対咬合をジルコニアにて審美回復
施術前
施術後
詳しく見る
セラミックにより前歯の色を合わせた審美施術
施術前
施術後
詳しく見る
上前歯のすきっ歯を自費治療にてキレイに!
施術前
施術後
詳しく見る
5 / 11
« 先頭
«
...
3
4
5
6
7
...
10
...
»
最後 »
投稿ナビゲーション
← 前の10件
次の10件 →