Skip to content
クリニック紹介
設備紹介
診療科目
訪問診療
料金表
クリニック紹介
設備紹介
診療科目
訪問診療
料金表
アーカイブ:
施術例
Home
>
施術例
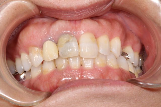
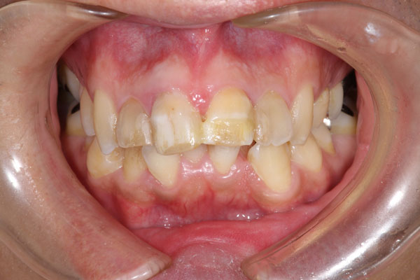
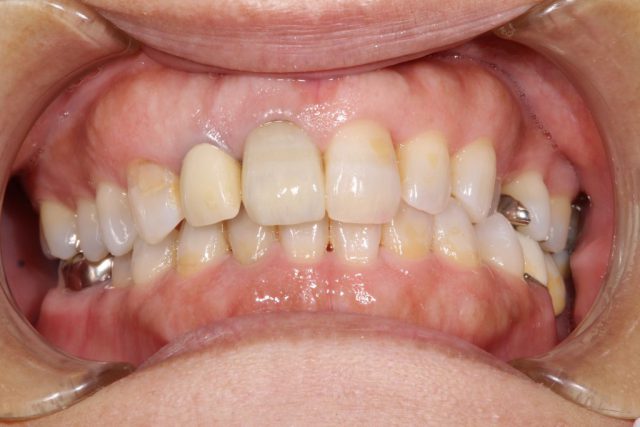
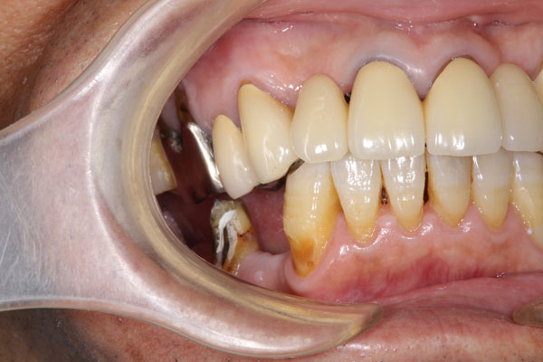
上顎前突した前歯4本をセラミックで審美回復した症例 (比較)
施術前
施術後
詳しく見る
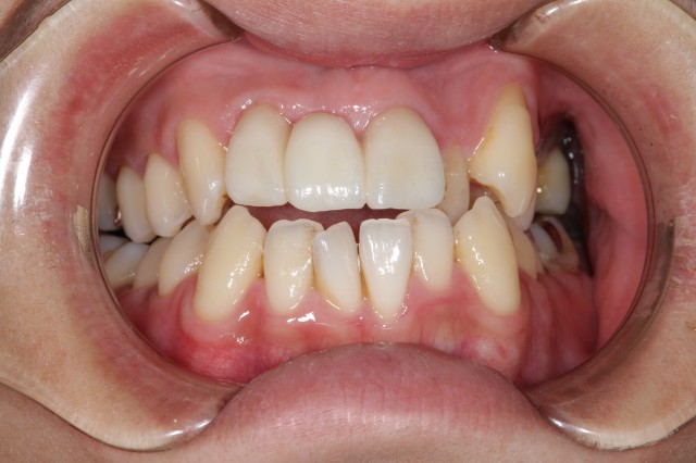
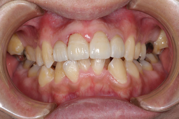
上顎前突した前歯4本をセラミックで審美回復した症例 (正面)
施術前
施術後
詳しく見る
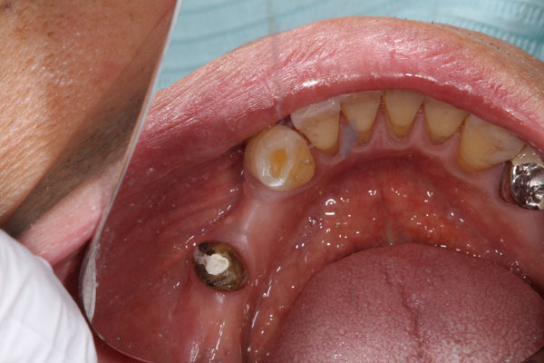
セラミックブリッジ施術例1
施術前
施術後
詳しく見る
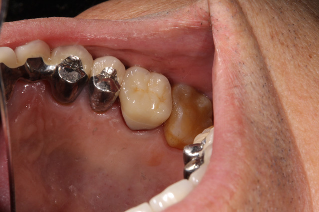
銀のかぶせ物からセラミックへの施術例2
施術前
施術後
詳しく見る
銀のかぶせ物からセラミックへの施術例1
施術前
施術後
詳しく見る
ジルコニアクラウンブリッジ施術例 上から
施術前
施術後
詳しく見る
ジルコニアクラウンブリッジ施術例 正面から
施術前
施術後
詳しく見る
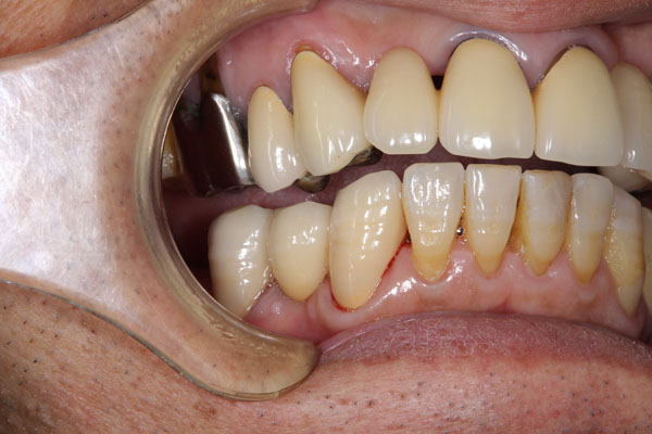
ゴールドクラウン施術例
施術前
施術後
詳しく見る
オールセラミック施術例
施術前
施術後
詳しく見る
11 / 11
« 先頭
«
...
7
8
9
10
11
投稿ナビゲーション
次の10件 →