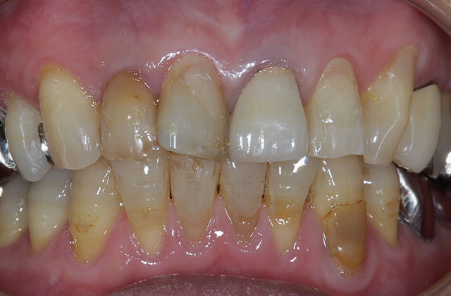
施術前
以前に治療した被せものが古くなり、歯茎と歯の間の黒ずみがとても気になるというということで今回オールセラミックによる治療を行いました。
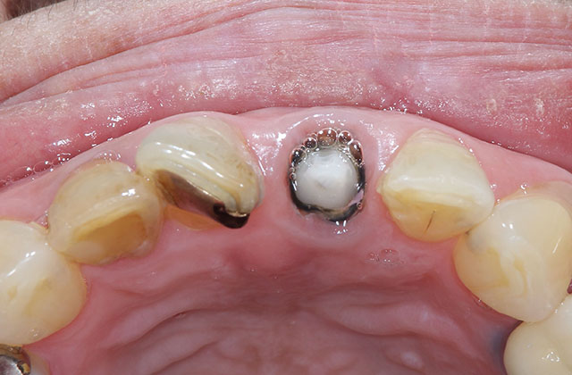
施術中
古い状態の被せものを外し新しいものを被せるための土台を形成していきます。
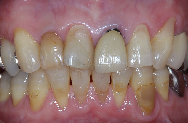
施術後
自費治療による被せものの土台はそのものが白いために黒ずみを起こすこともありません。ずっと気にされていた歯と歯茎の黒ずみが解消されとても良い笑顔をされていたのが印象的でした。このように年齢と共に歯茎が下がり以前に治療した被せものの付け根が黒ずんできたというお悩みでしたら一度岡田歯科医院にお気軽にご相談ください。保険適応・自費治療についても詳しくご説明させていただきます。
■治療内容
歯の詰め物や被せ物をセラミックなどの白い素材で治療します。
■費用(自費)
インレー:1 本あたり 55,000円~66,000円(税込)
クラウン:1 本あたり 44,000円~143,000万円(税込)
ラミネートべニア:1 本あたり 55,000円~(税込)
■治療期間及び回数
症状によりますが、処置自体は通院1~2 回で完了します。
■副作用・リスク
・銀歯に比べて厚みがあるため、歯を削る量が若干多くなります。
・歯ぎしりなどにより稀に破損する場合があります。







