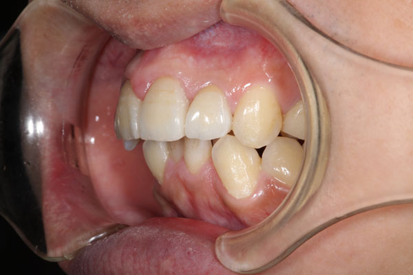
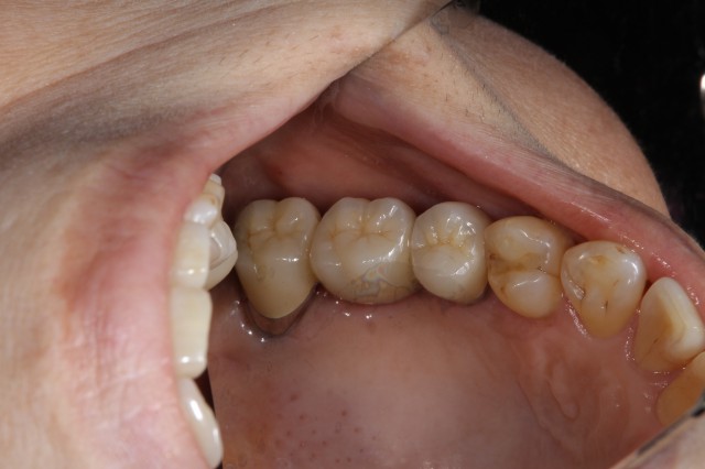
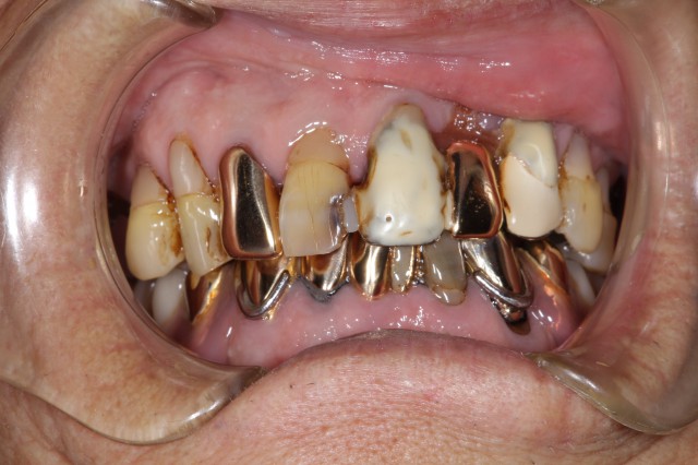
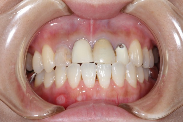
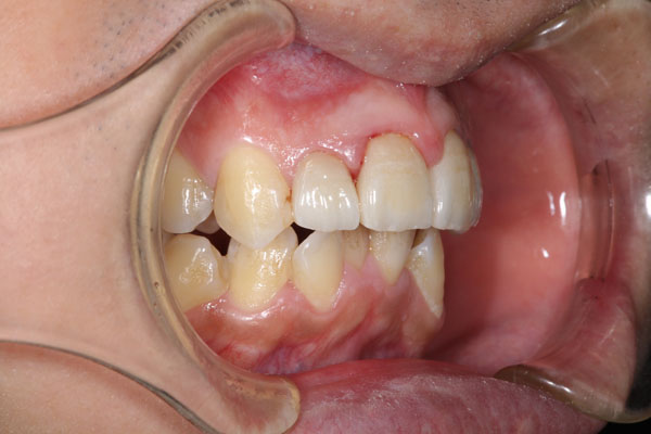
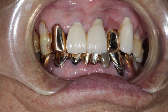
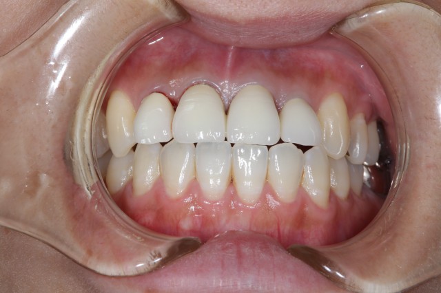
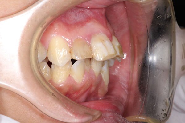
変色してかけている保険のかぶせをセラミックに変えた症例 施術前 施術後 施術例詳細へ 歯の神経が死んで変色した歯をセラミックにした症例 施術前 施術後 施術例詳細へ セラミックのブリッジで審美回復した症例 施術前 施術後 施術例詳細へ 前歯の歯並びををセラミックで審美回復した症例3 施術前 施術後 施術例詳細へ 欠損した臼歯にブリッジで審美回復した症例 施術前 施術後 施術例詳細へ セラミックで前歯の歯並びを美しく整えた症例 施術前 施術後 施術例詳細へ 上顎前突した前歯4本をセラミックで審美回復した症例 (右から見た写真) 施術前 施術後 施術例詳細へ 上顎前突した前歯4本をセラミックで審美回復した症例 (左から見た写真) 施術前 施術後 施術例詳細へ 上顎前突した前歯4本をセラミックで審美回復した症例 (比較) 施術前 施術後 施術例詳細へ 上顎前突した前歯4本をセラミックで審美回復した症例 (正面) 施術前 施術後 施術例詳細へ 投稿ナビゲーション 過去の投稿新しい投稿 10 / 11« 先頭«...7891011» 診療科目一覧 虫歯治療・予防歯科 虫歯治療と予防歯科について 歯周病治療 歯周病の治療について 審美治療・自費治療 歯を美しく保ちましょう 入れ歯治療 あなたにぴったりの入れ歯を インプラント治療 失ってしまった歯をもう一度 訪問歯科診療 ご来院いただけない患者様へ ホワイトニング 歯科医院によるホワイトニング 自費治療特設サイト 自費治療・審美特設サイト 当サイトでよく読まれています! 妊娠中の虫歯治療年末年始の休診についてサファリパーク🦁歯周病治療と一緒に禁煙🚭を!GW休診のお知らせUSJ クールジャパン!液体歯磨きと洗口液の違いWhiteday✨お口ポカンの影響御歳暮 岡田歯科医院TOP クリニック紹介 ドクター&スタッフ紹介 初めてご来院の方へ お急ぎの患者様へ 診療科目 健康通信 スタッフブログ お問い合わせ
歯の神経が死んで変色した歯をセラミックにした症例 施術前 施術後 施術例詳細へ セラミックのブリッジで審美回復した症例 施術前 施術後 施術例詳細へ 前歯の歯並びををセラミックで審美回復した症例3 施術前 施術後 施術例詳細へ 欠損した臼歯にブリッジで審美回復した症例 施術前 施術後 施術例詳細へ セラミックで前歯の歯並びを美しく整えた症例 施術前 施術後 施術例詳細へ 上顎前突した前歯4本をセラミックで審美回復した症例 (右から見た写真) 施術前 施術後 施術例詳細へ 上顎前突した前歯4本をセラミックで審美回復した症例 (左から見た写真) 施術前 施術後 施術例詳細へ 上顎前突した前歯4本をセラミックで審美回復した症例 (比較) 施術前 施術後 施術例詳細へ 上顎前突した前歯4本をセラミックで審美回復した症例 (正面) 施術前 施術後 施術例詳細へ 投稿ナビゲーション 過去の投稿新しい投稿 10 / 11« 先頭«...7891011» 診療科目一覧 虫歯治療・予防歯科 虫歯治療と予防歯科について 歯周病治療 歯周病の治療について 審美治療・自費治療 歯を美しく保ちましょう 入れ歯治療 あなたにぴったりの入れ歯を インプラント治療 失ってしまった歯をもう一度 訪問歯科診療 ご来院いただけない患者様へ ホワイトニング 歯科医院によるホワイトニング 自費治療特設サイト 自費治療・審美特設サイト 当サイトでよく読まれています! 妊娠中の虫歯治療年末年始の休診についてサファリパーク🦁歯周病治療と一緒に禁煙🚭を!GW休診のお知らせUSJ クールジャパン!液体歯磨きと洗口液の違いWhiteday✨お口ポカンの影響御歳暮 岡田歯科医院TOP クリニック紹介 ドクター&スタッフ紹介 初めてご来院の方へ お急ぎの患者様へ 診療科目 健康通信 スタッフブログ お問い合わせ
セラミックのブリッジで審美回復した症例 施術前 施術後 施術例詳細へ 前歯の歯並びををセラミックで審美回復した症例3 施術前 施術後 施術例詳細へ 欠損した臼歯にブリッジで審美回復した症例 施術前 施術後 施術例詳細へ セラミックで前歯の歯並びを美しく整えた症例 施術前 施術後 施術例詳細へ 上顎前突した前歯4本をセラミックで審美回復した症例 (右から見た写真) 施術前 施術後 施術例詳細へ 上顎前突した前歯4本をセラミックで審美回復した症例 (左から見た写真) 施術前 施術後 施術例詳細へ 上顎前突した前歯4本をセラミックで審美回復した症例 (比較) 施術前 施術後 施術例詳細へ 上顎前突した前歯4本をセラミックで審美回復した症例 (正面) 施術前 施術後 施術例詳細へ 投稿ナビゲーション 過去の投稿新しい投稿 10 / 11« 先頭«...7891011» 診療科目一覧 虫歯治療・予防歯科 虫歯治療と予防歯科について 歯周病治療 歯周病の治療について 審美治療・自費治療 歯を美しく保ちましょう 入れ歯治療 あなたにぴったりの入れ歯を インプラント治療 失ってしまった歯をもう一度 訪問歯科診療 ご来院いただけない患者様へ ホワイトニング 歯科医院によるホワイトニング 自費治療特設サイト 自費治療・審美特設サイト 当サイトでよく読まれています! 妊娠中の虫歯治療年末年始の休診についてサファリパーク🦁歯周病治療と一緒に禁煙🚭を!GW休診のお知らせUSJ クールジャパン!液体歯磨きと洗口液の違いWhiteday✨お口ポカンの影響御歳暮 岡田歯科医院TOP クリニック紹介 ドクター&スタッフ紹介 初めてご来院の方へ お急ぎの患者様へ 診療科目 健康通信 スタッフブログ お問い合わせ
前歯の歯並びををセラミックで審美回復した症例3 施術前 施術後 施術例詳細へ 欠損した臼歯にブリッジで審美回復した症例 施術前 施術後 施術例詳細へ セラミックで前歯の歯並びを美しく整えた症例 施術前 施術後 施術例詳細へ 上顎前突した前歯4本をセラミックで審美回復した症例 (右から見た写真) 施術前 施術後 施術例詳細へ 上顎前突した前歯4本をセラミックで審美回復した症例 (左から見た写真) 施術前 施術後 施術例詳細へ 上顎前突した前歯4本をセラミックで審美回復した症例 (比較) 施術前 施術後 施術例詳細へ 上顎前突した前歯4本をセラミックで審美回復した症例 (正面) 施術前 施術後 施術例詳細へ 投稿ナビゲーション 過去の投稿新しい投稿 10 / 11« 先頭«...7891011» 診療科目一覧 虫歯治療・予防歯科 虫歯治療と予防歯科について 歯周病治療 歯周病の治療について 審美治療・自費治療 歯を美しく保ちましょう 入れ歯治療 あなたにぴったりの入れ歯を インプラント治療 失ってしまった歯をもう一度 訪問歯科診療 ご来院いただけない患者様へ ホワイトニング 歯科医院によるホワイトニング 自費治療特設サイト 自費治療・審美特設サイト 当サイトでよく読まれています! 妊娠中の虫歯治療年末年始の休診についてサファリパーク🦁歯周病治療と一緒に禁煙🚭を!GW休診のお知らせUSJ クールジャパン!液体歯磨きと洗口液の違いWhiteday✨お口ポカンの影響御歳暮 岡田歯科医院TOP クリニック紹介 ドクター&スタッフ紹介 初めてご来院の方へ お急ぎの患者様へ 診療科目 健康通信 スタッフブログ お問い合わせ
欠損した臼歯にブリッジで審美回復した症例 施術前 施術後 施術例詳細へ セラミックで前歯の歯並びを美しく整えた症例 施術前 施術後 施術例詳細へ 上顎前突した前歯4本をセラミックで審美回復した症例 (右から見た写真) 施術前 施術後 施術例詳細へ 上顎前突した前歯4本をセラミックで審美回復した症例 (左から見た写真) 施術前 施術後 施術例詳細へ 上顎前突した前歯4本をセラミックで審美回復した症例 (比較) 施術前 施術後 施術例詳細へ 上顎前突した前歯4本をセラミックで審美回復した症例 (正面) 施術前 施術後 施術例詳細へ 投稿ナビゲーション 過去の投稿新しい投稿 10 / 11« 先頭«...7891011» 診療科目一覧 虫歯治療・予防歯科 虫歯治療と予防歯科について 歯周病治療 歯周病の治療について 審美治療・自費治療 歯を美しく保ちましょう 入れ歯治療 あなたにぴったりの入れ歯を インプラント治療 失ってしまった歯をもう一度 訪問歯科診療 ご来院いただけない患者様へ ホワイトニング 歯科医院によるホワイトニング 自費治療特設サイト 自費治療・審美特設サイト 当サイトでよく読まれています! 妊娠中の虫歯治療年末年始の休診についてサファリパーク🦁歯周病治療と一緒に禁煙🚭を!GW休診のお知らせUSJ クールジャパン!液体歯磨きと洗口液の違いWhiteday✨お口ポカンの影響御歳暮 岡田歯科医院TOP クリニック紹介 ドクター&スタッフ紹介 初めてご来院の方へ お急ぎの患者様へ 診療科目 健康通信 スタッフブログ お問い合わせ
セラミックで前歯の歯並びを美しく整えた症例 施術前 施術後 施術例詳細へ 上顎前突した前歯4本をセラミックで審美回復した症例 (右から見た写真) 施術前 施術後 施術例詳細へ 上顎前突した前歯4本をセラミックで審美回復した症例 (左から見た写真) 施術前 施術後 施術例詳細へ 上顎前突した前歯4本をセラミックで審美回復した症例 (比較) 施術前 施術後 施術例詳細へ 上顎前突した前歯4本をセラミックで審美回復した症例 (正面) 施術前 施術後 施術例詳細へ 投稿ナビゲーション 過去の投稿新しい投稿 10 / 11« 先頭«...7891011» 診療科目一覧 虫歯治療・予防歯科 虫歯治療と予防歯科について 歯周病治療 歯周病の治療について 審美治療・自費治療 歯を美しく保ちましょう 入れ歯治療 あなたにぴったりの入れ歯を インプラント治療 失ってしまった歯をもう一度 訪問歯科診療 ご来院いただけない患者様へ ホワイトニング 歯科医院によるホワイトニング 自費治療特設サイト 自費治療・審美特設サイト 当サイトでよく読まれています! 妊娠中の虫歯治療年末年始の休診についてサファリパーク🦁歯周病治療と一緒に禁煙🚭を!GW休診のお知らせUSJ クールジャパン!液体歯磨きと洗口液の違いWhiteday✨お口ポカンの影響御歳暮 岡田歯科医院TOP クリニック紹介 ドクター&スタッフ紹介 初めてご来院の方へ お急ぎの患者様へ 診療科目 健康通信 スタッフブログ お問い合わせ
上顎前突した前歯4本をセラミックで審美回復した症例 (右から見た写真) 施術前 施術後 施術例詳細へ 上顎前突した前歯4本をセラミックで審美回復した症例 (左から見た写真) 施術前 施術後 施術例詳細へ 上顎前突した前歯4本をセラミックで審美回復した症例 (比較) 施術前 施術後 施術例詳細へ 上顎前突した前歯4本をセラミックで審美回復した症例 (正面) 施術前 施術後 施術例詳細へ 投稿ナビゲーション 過去の投稿新しい投稿 10 / 11« 先頭«...7891011» 診療科目一覧 虫歯治療・予防歯科 虫歯治療と予防歯科について 歯周病治療 歯周病の治療について 審美治療・自費治療 歯を美しく保ちましょう 入れ歯治療 あなたにぴったりの入れ歯を インプラント治療 失ってしまった歯をもう一度 訪問歯科診療 ご来院いただけない患者様へ ホワイトニング 歯科医院によるホワイトニング 自費治療特設サイト 自費治療・審美特設サイト 当サイトでよく読まれています! 妊娠中の虫歯治療年末年始の休診についてサファリパーク🦁歯周病治療と一緒に禁煙🚭を!GW休診のお知らせUSJ クールジャパン!液体歯磨きと洗口液の違いWhiteday✨お口ポカンの影響御歳暮 岡田歯科医院TOP クリニック紹介 ドクター&スタッフ紹介 初めてご来院の方へ お急ぎの患者様へ 診療科目 健康通信 スタッフブログ お問い合わせ
上顎前突した前歯4本をセラミックで審美回復した症例 (左から見た写真) 施術前 施術後 施術例詳細へ 上顎前突した前歯4本をセラミックで審美回復した症例 (比較) 施術前 施術後 施術例詳細へ 上顎前突した前歯4本をセラミックで審美回復した症例 (正面) 施術前 施術後 施術例詳細へ 投稿ナビゲーション 過去の投稿新しい投稿 10 / 11« 先頭«...7891011» 診療科目一覧 虫歯治療・予防歯科 虫歯治療と予防歯科について 歯周病治療 歯周病の治療について 審美治療・自費治療 歯を美しく保ちましょう 入れ歯治療 あなたにぴったりの入れ歯を インプラント治療 失ってしまった歯をもう一度 訪問歯科診療 ご来院いただけない患者様へ ホワイトニング 歯科医院によるホワイトニング 自費治療特設サイト 自費治療・審美特設サイト 当サイトでよく読まれています! 妊娠中の虫歯治療年末年始の休診についてサファリパーク🦁歯周病治療と一緒に禁煙🚭を!GW休診のお知らせUSJ クールジャパン!液体歯磨きと洗口液の違いWhiteday✨お口ポカンの影響御歳暮 岡田歯科医院TOP クリニック紹介 ドクター&スタッフ紹介 初めてご来院の方へ お急ぎの患者様へ 診療科目 健康通信 スタッフブログ お問い合わせ
上顎前突した前歯4本をセラミックで審美回復した症例 (比較) 施術前 施術後 施術例詳細へ 上顎前突した前歯4本をセラミックで審美回復した症例 (正面) 施術前 施術後 施術例詳細へ 投稿ナビゲーション 過去の投稿新しい投稿 10 / 11« 先頭«...7891011» 診療科目一覧 虫歯治療・予防歯科 虫歯治療と予防歯科について 歯周病治療 歯周病の治療について 審美治療・自費治療 歯を美しく保ちましょう 入れ歯治療 あなたにぴったりの入れ歯を インプラント治療 失ってしまった歯をもう一度 訪問歯科診療 ご来院いただけない患者様へ ホワイトニング 歯科医院によるホワイトニング 自費治療特設サイト 自費治療・審美特設サイト