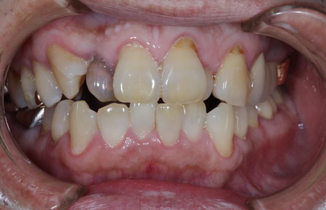
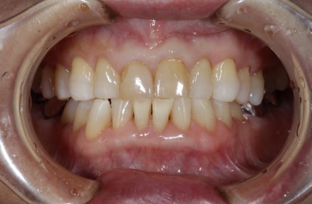
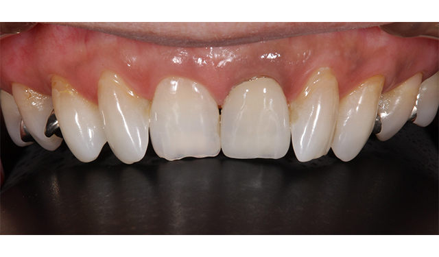
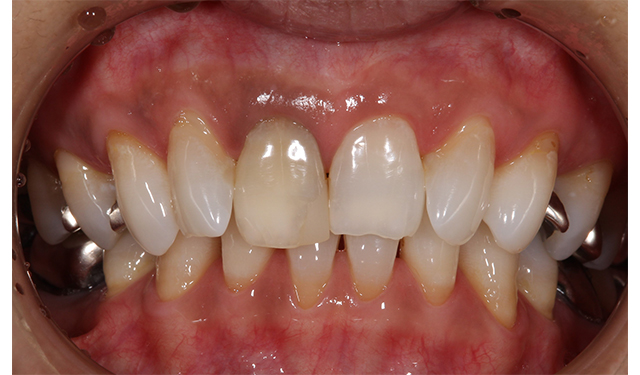
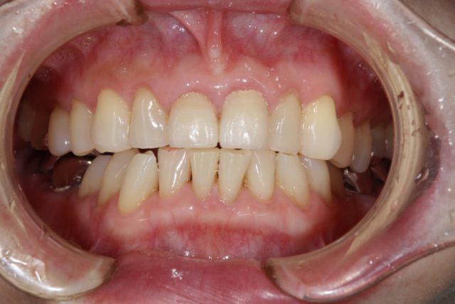
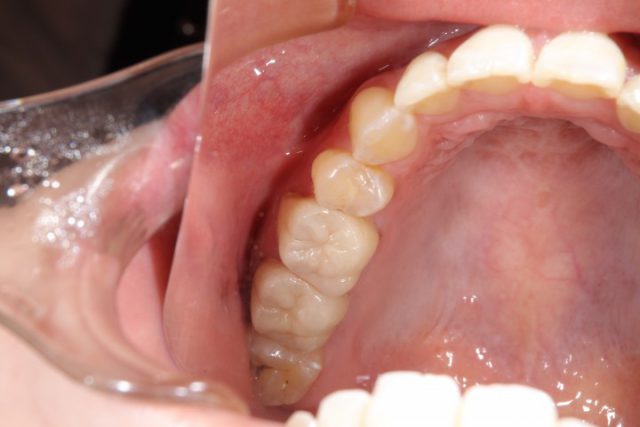
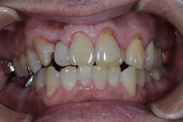
保険適応の被せもので治療した前歯の黒ずみが気になりオールセラミックに変更 施術前 施術後 施術例詳細へ 歯の根幹治療をした後、死んでしまった神経の歯をオールセラミックに変更した術例 施術前 施術後 施術例詳細へ 飛び出した前歯横の側切歯(そくせっし)を抜きジルコニアブリッジにした術例 施術前 施術後 施術例詳細へ 前歯保険適応の被せものの変色が気になり、オールセラミックにした症例 施術前 施術後 施術例詳細へ ホワイトニング後に神経のない変色した歯をオールセラミックに変更した術例 施術前 施術後 施術例詳細へ 保険のブリッジをジルコニアのブリッジに変更した術例 施術前 施術後 施術例詳細へ 神経をとった前歯が変色してきたのでオールセラミックに変更した術例 施術前 施術後 施術例詳細へ ホワイトニング後に変色が目立ってしまった保険適応の被せものをオールセラミックに変更 施術前 施術後 施術例詳細へ 古くなったメタルボンドブリッジが破折したのでジルコニアに変更した術例 施術前 施術後 施術例詳細へ 前歯2本の詰め物の変色をジルコニアに変更 施術前 施術後 施術例詳細へ 投稿ナビゲーション 過去の投稿 1 / 1112345...10...»最後 » 診療科目一覧 虫歯治療・予防歯科 虫歯治療と予防歯科について 歯周病治療 歯周病の治療について 審美治療・自費治療 歯を美しく保ちましょう 入れ歯治療 あなたにぴったりの入れ歯を インプラント治療 失ってしまった歯をもう一度 訪問歯科診療 ご来院いただけない患者様へ ホワイトニング 歯科医院によるホワイトニング 自費治療特設サイト 自費治療・審美特設サイト 当サイトでよく読まれています! 妊娠中の虫歯治療年末年始の休診についてサファリパーク🦁歯周病治療と一緒に禁煙🚭を!GW休診のお知らせUSJ クールジャパン!液体歯磨きと洗口液の違いWhiteday✨お口ポカンの影響御歳暮 岡田歯科医院TOP クリニック紹介 ドクター&スタッフ紹介 初めてご来院の方へ お急ぎの患者様へ 診療科目 健康通信 スタッフブログ お問い合わせ
歯の根幹治療をした後、死んでしまった神経の歯をオールセラミックに変更した術例 施術前 施術後 施術例詳細へ 飛び出した前歯横の側切歯(そくせっし)を抜きジルコニアブリッジにした術例 施術前 施術後 施術例詳細へ 前歯保険適応の被せものの変色が気になり、オールセラミックにした症例 施術前 施術後 施術例詳細へ ホワイトニング後に神経のない変色した歯をオールセラミックに変更した術例 施術前 施術後 施術例詳細へ 保険のブリッジをジルコニアのブリッジに変更した術例 施術前 施術後 施術例詳細へ 神経をとった前歯が変色してきたのでオールセラミックに変更した術例 施術前 施術後 施術例詳細へ ホワイトニング後に変色が目立ってしまった保険適応の被せものをオールセラミックに変更 施術前 施術後 施術例詳細へ 古くなったメタルボンドブリッジが破折したのでジルコニアに変更した術例 施術前 施術後 施術例詳細へ 前歯2本の詰め物の変色をジルコニアに変更 施術前 施術後 施術例詳細へ 投稿ナビゲーション 過去の投稿 1 / 1112345...10...»最後 » 診療科目一覧 虫歯治療・予防歯科 虫歯治療と予防歯科について 歯周病治療 歯周病の治療について 審美治療・自費治療 歯を美しく保ちましょう 入れ歯治療 あなたにぴったりの入れ歯を インプラント治療 失ってしまった歯をもう一度 訪問歯科診療 ご来院いただけない患者様へ ホワイトニング 歯科医院によるホワイトニング 自費治療特設サイト 自費治療・審美特設サイト 当サイトでよく読まれています! 妊娠中の虫歯治療年末年始の休診についてサファリパーク🦁歯周病治療と一緒に禁煙🚭を!GW休診のお知らせUSJ クールジャパン!液体歯磨きと洗口液の違いWhiteday✨お口ポカンの影響御歳暮 岡田歯科医院TOP クリニック紹介 ドクター&スタッフ紹介 初めてご来院の方へ お急ぎの患者様へ 診療科目 健康通信 スタッフブログ お問い合わせ
飛び出した前歯横の側切歯(そくせっし)を抜きジルコニアブリッジにした術例 施術前 施術後 施術例詳細へ 前歯保険適応の被せものの変色が気になり、オールセラミックにした症例 施術前 施術後 施術例詳細へ ホワイトニング後に神経のない変色した歯をオールセラミックに変更した術例 施術前 施術後 施術例詳細へ 保険のブリッジをジルコニアのブリッジに変更した術例 施術前 施術後 施術例詳細へ 神経をとった前歯が変色してきたのでオールセラミックに変更した術例 施術前 施術後 施術例詳細へ ホワイトニング後に変色が目立ってしまった保険適応の被せものをオールセラミックに変更 施術前 施術後 施術例詳細へ 古くなったメタルボンドブリッジが破折したのでジルコニアに変更した術例 施術前 施術後 施術例詳細へ 前歯2本の詰め物の変色をジルコニアに変更 施術前 施術後 施術例詳細へ 投稿ナビゲーション 過去の投稿 1 / 1112345...10...»最後 » 診療科目一覧 虫歯治療・予防歯科 虫歯治療と予防歯科について 歯周病治療 歯周病の治療について 審美治療・自費治療 歯を美しく保ちましょう 入れ歯治療 あなたにぴったりの入れ歯を インプラント治療 失ってしまった歯をもう一度 訪問歯科診療 ご来院いただけない患者様へ ホワイトニング 歯科医院によるホワイトニング 自費治療特設サイト 自費治療・審美特設サイト 当サイトでよく読まれています! 妊娠中の虫歯治療年末年始の休診についてサファリパーク🦁歯周病治療と一緒に禁煙🚭を!GW休診のお知らせUSJ クールジャパン!液体歯磨きと洗口液の違いWhiteday✨お口ポカンの影響御歳暮 岡田歯科医院TOP クリニック紹介 ドクター&スタッフ紹介 初めてご来院の方へ お急ぎの患者様へ 診療科目 健康通信 スタッフブログ お問い合わせ
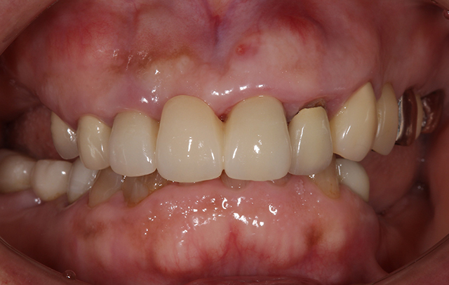
前歯保険適応の被せものの変色が気になり、オールセラミックにした症例 施術前 施術後 施術例詳細へ ホワイトニング後に神経のない変色した歯をオールセラミックに変更した術例 施術前 施術後 施術例詳細へ 保険のブリッジをジルコニアのブリッジに変更した術例 施術前 施術後 施術例詳細へ 神経をとった前歯が変色してきたのでオールセラミックに変更した術例 施術前 施術後 施術例詳細へ ホワイトニング後に変色が目立ってしまった保険適応の被せものをオールセラミックに変更 施術前 施術後 施術例詳細へ 古くなったメタルボンドブリッジが破折したのでジルコニアに変更した術例 施術前 施術後 施術例詳細へ 前歯2本の詰め物の変色をジルコニアに変更 施術前 施術後 施術例詳細へ 投稿ナビゲーション 過去の投稿 1 / 1112345...10...»最後 » 診療科目一覧 虫歯治療・予防歯科 虫歯治療と予防歯科について 歯周病治療 歯周病の治療について 審美治療・自費治療 歯を美しく保ちましょう 入れ歯治療 あなたにぴったりの入れ歯を インプラント治療 失ってしまった歯をもう一度 訪問歯科診療 ご来院いただけない患者様へ ホワイトニング 歯科医院によるホワイトニング 自費治療特設サイト 自費治療・審美特設サイト 当サイトでよく読まれています! 妊娠中の虫歯治療年末年始の休診についてサファリパーク🦁歯周病治療と一緒に禁煙🚭を!GW休診のお知らせUSJ クールジャパン!液体歯磨きと洗口液の違いWhiteday✨お口ポカンの影響御歳暮 岡田歯科医院TOP クリニック紹介 ドクター&スタッフ紹介 初めてご来院の方へ お急ぎの患者様へ 診療科目 健康通信 スタッフブログ お問い合わせ
ホワイトニング後に神経のない変色した歯をオールセラミックに変更した術例 施術前 施術後 施術例詳細へ 保険のブリッジをジルコニアのブリッジに変更した術例 施術前 施術後 施術例詳細へ 神経をとった前歯が変色してきたのでオールセラミックに変更した術例 施術前 施術後 施術例詳細へ ホワイトニング後に変色が目立ってしまった保険適応の被せものをオールセラミックに変更 施術前 施術後 施術例詳細へ 古くなったメタルボンドブリッジが破折したのでジルコニアに変更した術例 施術前 施術後 施術例詳細へ 前歯2本の詰め物の変色をジルコニアに変更 施術前 施術後 施術例詳細へ 投稿ナビゲーション 過去の投稿 1 / 1112345...10...»最後 » 診療科目一覧 虫歯治療・予防歯科 虫歯治療と予防歯科について 歯周病治療 歯周病の治療について 審美治療・自費治療 歯を美しく保ちましょう 入れ歯治療 あなたにぴったりの入れ歯を インプラント治療 失ってしまった歯をもう一度 訪問歯科診療 ご来院いただけない患者様へ ホワイトニング 歯科医院によるホワイトニング 自費治療特設サイト 自費治療・審美特設サイト 当サイトでよく読まれています! 妊娠中の虫歯治療年末年始の休診についてサファリパーク🦁歯周病治療と一緒に禁煙🚭を!GW休診のお知らせUSJ クールジャパン!液体歯磨きと洗口液の違いWhiteday✨お口ポカンの影響御歳暮 岡田歯科医院TOP クリニック紹介 ドクター&スタッフ紹介 初めてご来院の方へ お急ぎの患者様へ 診療科目 健康通信 スタッフブログ お問い合わせ
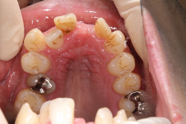
保険のブリッジをジルコニアのブリッジに変更した術例 施術前 施術後 施術例詳細へ 神経をとった前歯が変色してきたのでオールセラミックに変更した術例 施術前 施術後 施術例詳細へ ホワイトニング後に変色が目立ってしまった保険適応の被せものをオールセラミックに変更 施術前 施術後 施術例詳細へ 古くなったメタルボンドブリッジが破折したのでジルコニアに変更した術例 施術前 施術後 施術例詳細へ 前歯2本の詰め物の変色をジルコニアに変更 施術前 施術後 施術例詳細へ 投稿ナビゲーション 過去の投稿 1 / 1112345...10...»最後 » 診療科目一覧 虫歯治療・予防歯科 虫歯治療と予防歯科について 歯周病治療 歯周病の治療について 審美治療・自費治療 歯を美しく保ちましょう 入れ歯治療 あなたにぴったりの入れ歯を インプラント治療 失ってしまった歯をもう一度 訪問歯科診療 ご来院いただけない患者様へ ホワイトニング 歯科医院によるホワイトニング 自費治療特設サイト 自費治療・審美特設サイト 当サイトでよく読まれています! 妊娠中の虫歯治療年末年始の休診についてサファリパーク🦁歯周病治療と一緒に禁煙🚭を!GW休診のお知らせUSJ クールジャパン!液体歯磨きと洗口液の違いWhiteday✨お口ポカンの影響御歳暮 岡田歯科医院TOP クリニック紹介 ドクター&スタッフ紹介 初めてご来院の方へ お急ぎの患者様へ 診療科目 健康通信 スタッフブログ お問い合わせ
神経をとった前歯が変色してきたのでオールセラミックに変更した術例 施術前 施術後 施術例詳細へ ホワイトニング後に変色が目立ってしまった保険適応の被せものをオールセラミックに変更 施術前 施術後 施術例詳細へ 古くなったメタルボンドブリッジが破折したのでジルコニアに変更した術例 施術前 施術後 施術例詳細へ 前歯2本の詰め物の変色をジルコニアに変更 施術前 施術後 施術例詳細へ 投稿ナビゲーション 過去の投稿 1 / 1112345...10...»最後 » 診療科目一覧 虫歯治療・予防歯科 虫歯治療と予防歯科について 歯周病治療 歯周病の治療について 審美治療・自費治療 歯を美しく保ちましょう 入れ歯治療 あなたにぴったりの入れ歯を インプラント治療 失ってしまった歯をもう一度 訪問歯科診療 ご来院いただけない患者様へ ホワイトニング 歯科医院によるホワイトニング 自費治療特設サイト 自費治療・審美特設サイト 当サイトでよく読まれています! 妊娠中の虫歯治療年末年始の休診についてサファリパーク🦁歯周病治療と一緒に禁煙🚭を!GW休診のお知らせUSJ クールジャパン!液体歯磨きと洗口液の違いWhiteday✨お口ポカンの影響御歳暮 岡田歯科医院TOP クリニック紹介 ドクター&スタッフ紹介 初めてご来院の方へ お急ぎの患者様へ 診療科目 健康通信 スタッフブログ お問い合わせ
ホワイトニング後に変色が目立ってしまった保険適応の被せものをオールセラミックに変更 施術前 施術後 施術例詳細へ 古くなったメタルボンドブリッジが破折したのでジルコニアに変更した術例 施術前 施術後 施術例詳細へ 前歯2本の詰め物の変色をジルコニアに変更 施術前 施術後 施術例詳細へ 投稿ナビゲーション 過去の投稿 1 / 1112345...10...»最後 » 診療科目一覧 虫歯治療・予防歯科 虫歯治療と予防歯科について 歯周病治療 歯周病の治療について 審美治療・自費治療 歯を美しく保ちましょう 入れ歯治療 あなたにぴったりの入れ歯を インプラント治療 失ってしまった歯をもう一度 訪問歯科診療 ご来院いただけない患者様へ ホワイトニング 歯科医院によるホワイトニング 自費治療特設サイト 自費治療・審美特設サイト 当サイトでよく読まれています! 妊娠中の虫歯治療年末年始の休診についてサファリパーク🦁歯周病治療と一緒に禁煙🚭を!GW休診のお知らせUSJ クールジャパン!液体歯磨きと洗口液の違いWhiteday✨お口ポカンの影響御歳暮 岡田歯科医院TOP クリニック紹介 ドクター&スタッフ紹介 初めてご来院の方へ お急ぎの患者様へ 診療科目 健康通信 スタッフブログ お問い合わせ
古くなったメタルボンドブリッジが破折したのでジルコニアに変更した術例 施術前 施術後 施術例詳細へ 前歯2本の詰め物の変色をジルコニアに変更 施術前 施術後 施術例詳細へ 投稿ナビゲーション 過去の投稿 1 / 1112345...10...»最後 » 診療科目一覧 虫歯治療・予防歯科 虫歯治療と予防歯科について 歯周病治療 歯周病の治療について 審美治療・自費治療 歯を美しく保ちましょう 入れ歯治療 あなたにぴったりの入れ歯を インプラント治療 失ってしまった歯をもう一度 訪問歯科診療 ご来院いただけない患者様へ ホワイトニング 歯科医院によるホワイトニング 自費治療特設サイト 自費治療・審美特設サイト