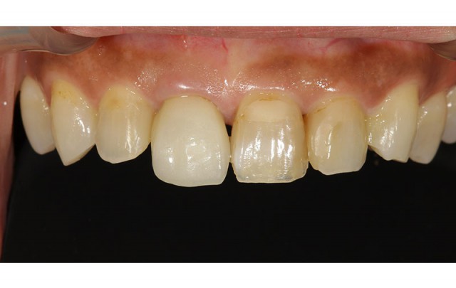
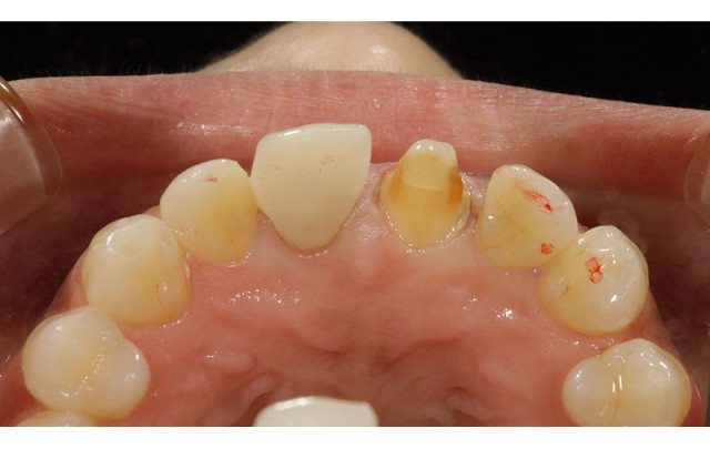
施術前
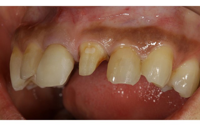
施術中
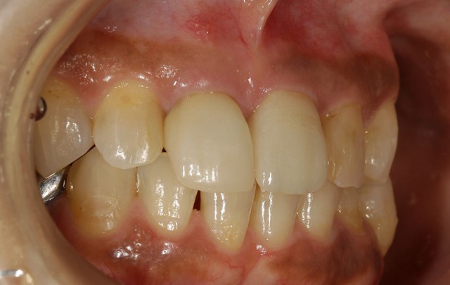
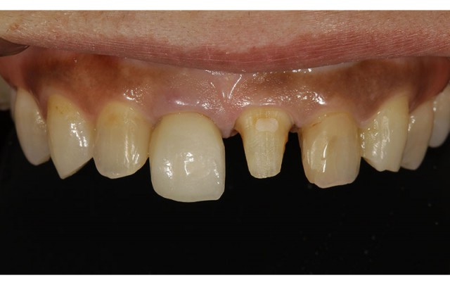
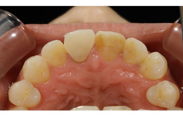
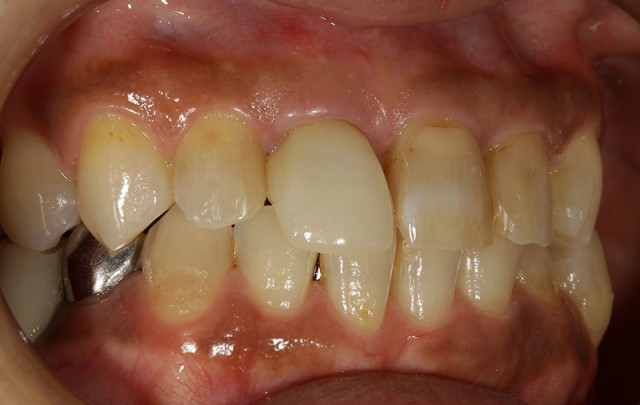
施術後
この審美術により前歯2本がセラミック歯となりました。色身を合わせやすく着色もしにくいので前歯にされることが多いのが特徴です。片方だけ変色している前歯を非常に気にされておられたので今回の審美術により美しく白い歯をみてとても喜んでおられました。
このように歯がきれいになると気持ちまで明るくなる方も多くおられます。料金は1本あたり10万円となりますが、一度施術すると変色も少なく印象も大きく変わるので女性には特におすすめですよ。もしホワイトニング、審美歯科をご検討であればお気軽にご相談いただければと思います。
■治療内容
歯の詰め物や被せ物をセラミックなどの白い素材で治療します。
■費用(自費)
インレー:1 本あたり 55,000円~66,000円(税込)
クラウン:1 本あたり 44,000円~143,000万円(税込)
ラミネートべニア:1 本あたり 55,000円~(税込)
■治療期間及び回数
症状によりますが、処置自体は通院1~2 回で完了します。
■副作用・リスク
・銀歯に比べて厚みがあるため、歯を削る量が若干多くなります。
・歯ぎしりなどにより稀に破損する場合があります。













