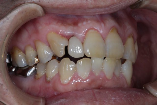
施術前
この患者様の歯は神経が死んでしまい黒くなってしまっていました。さらにもともと極端にいがんで生えてしまっているためにとても目立っていることを非常に気にしておられました。
今回この黒色といがんだ歯を一気に解決できる方法としてオールセラミックによるご提案をさせていただき今回の治療となりました。
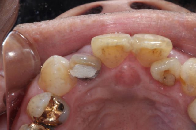
施術中
術中です。神経は死んでいても歯さえ残っていれば新しい歯の土台としては十分に機能してくれます。しっかりと接合させるためにも入念に土台を形成していきます。
施術後
術後です。周りの歯とできる限り近い色を選んでいるのでほとんど違和感がありません。いがみもキレイに修復しています。治療後に患者様は自分の歯を見て「全然違和感ないね。」ととても喜んでおられました。
このようにオールセラミックによる修復では周りの歯と非常に近い色で合わせて治療することが可能です。このように歯の変色や、いがみなどでお悩みの方は是非一度ご相談ください。
■治療内容
歯の詰め物や被せ物をセラミックなどの白い素材で治療します。
■費用(自費)
インレー:1 本あたり 55,000円~66,000円(税込)
クラウン:1 本あたり 44,000円~143,000万円(税込)
ラミネートべニア:1 本あたり 55,000円~(税込)
■治療期間及び回数
症状によりますが、処置自体は通院1~2 回で完了します。
■副作用・リスク
・銀歯に比べて厚みがあるため、歯を削る量が若干多くなります。
・歯ぎしりなどにより稀に破損する場合があります。








