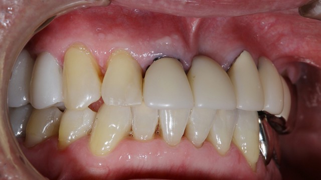
施術前
前歯から奥歯まで8本が保険適応の被せをしておられましたが、変色と歯茎の黒ずみが気になっておられました。今回奥歯も含むために強度も考えジルコニアによる審美術となりました。
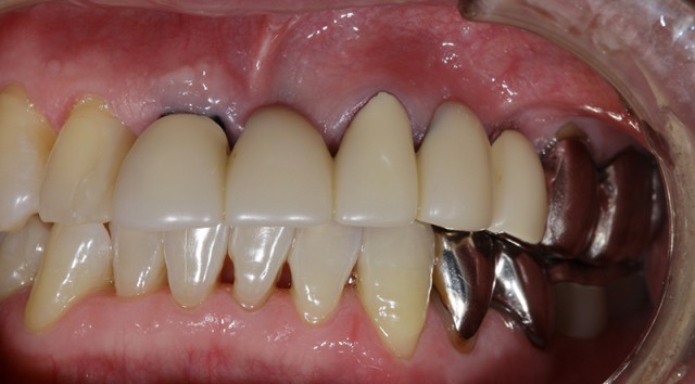
施術後
施術していない歯ともかなり近い色まで合わすことができるのでパッと見た感じではほとんど違和感がありません。保険適応の被せものは口を開けるとどうしても上側の金属が見えてしまいますが、審美術後はこのようにとてもきれいになります。
■治療内容
歯の詰め物や被せ物をセラミックなどの白い素材で治療します。
■費用(自費)
インレー:1 本あたり 55,000円~66,000円(税込)
クラウン:1 本あたり 44,000円~143,000万円(税込)
ラミネートべニア:1 本あたり 55,000円~(税込)
■治療期間及び回数
症状によりますが、処置自体は通院1~2 回で完了します。
■副作用・リスク
・銀歯に比べて厚みがあるため、歯を削る量が若干多くなります。
・歯ぎしりなどにより稀に破損する場合があります。









