施術例
上前歯のすきっ歯を自費治療にてキレイに!
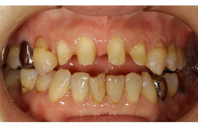
施術前
前歯2本の間に隙間ができている状態を今回自費治療にてキレイにしたいとご相談があり今回審美治療を行いました。
このタイプのすき歯は歯茎に対して歯が小さいため間ができてしまっているので、今の歯に対して大きめの歯を被せることで隙間をなくしていきます。
施術中
歯を被せるための準備です。土台となる歯を削り土台を形成していきます。
施術後
術後です。隙間があったとは思えないほどフィットしていることがわかります。また色もほかの歯と不自然にならないように調整することもできます。
今まで気にされていた隙間がなくなり、きれいな歯並びにとても喜んでおられました。
歯並びや歯の隙間などでお悩みの方は是非岡田歯科医院にご相談ください。あなたにぴったりのプランをご提案させていただきます。
治療内容
歯の詰め物や被せ物をセラミックなどの白い素材で治療します。
費用(自費)
- インレー:1 本あたり 55,000円~66,000円(税込)
- クラウン:1 本あたり 44,000円~143,000万円(税込)
- ラミネートべニア:1 本あたり 55,000円~(税込)
治療期間及び回数
症状によりますが、処置自体は通院1~2 回で完了します。
副作用・リスク
- 銀歯に比べて厚みがあるため、歯を削る量が若干多くなります。
- 歯ぎしりなどにより稀に破損する場合があります。


