施術例

口腔内から金属を取り除くメタルフリー治療

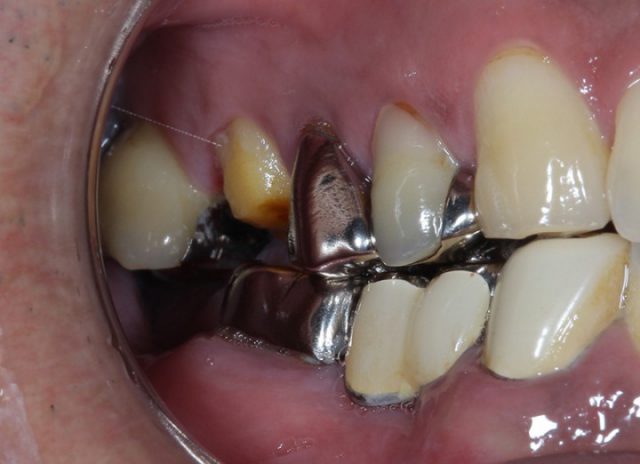
施術前

患者様の口腔内には虫歯治療した金属の詰め物が複数個所ありました。自身でメタルフリーという治療を調べられ今回複数ある金属のうちまずは上の奥歯をオールセラミックによりメタルフリー治療することになりました。

施術中

術中です。このように長年使ってきた金属部を取り外し、セラミック歯をつけるための土台を形成していきます。

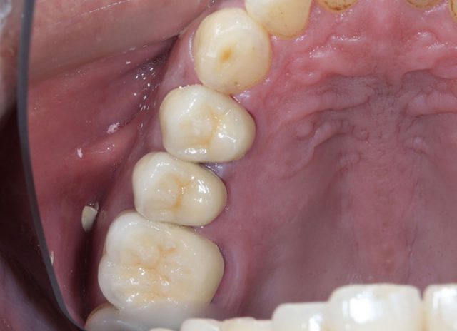
施術後

術後です。金属がなくなり周りの歯の色ともマッチしているのがわかります。メタルフリーは体に優しく、金属アレルギーを引き起こす心配がありません。また今回の術のように周りの歯との色見もしっかりと合わせることができ匂いもありません。そして一度施術してしまえば変色しにくいので非常に長持ちするというのも大きな特徴です。

この患者様は今回第一回目として奥歯を施術されましたが、ほかの箇所も是非メタルフリーにしたいと喜んでおられました。岡田歯科医院ではメタルフリー治療を推進しています。口腔内の金属でお悩みの方は是非一度お気軽にご相談くださいね。

治療内容

歯の詰め物や被せ物をセラミックなどの白い素材で治療します。

費用(自費)
  • インレー:1 本あたり 55,000円~66,000円(税込)
  • クラウン:1 本あたり 44,000円~143,000万円(税込)
  • ラミネートべニア:1 本あたり 55,000円~(税込)
治療期間及び回数

症状によりますが、処置自体は通院1~2 回で完了します。

副作用・リスク
  • 銀歯に比べて厚みがあるため、歯を削る量が若干多くなります。
  • 歯ぎしりなどにより稀に破損する場合があります。
Googleコメントも見てね!
ページ上部へ