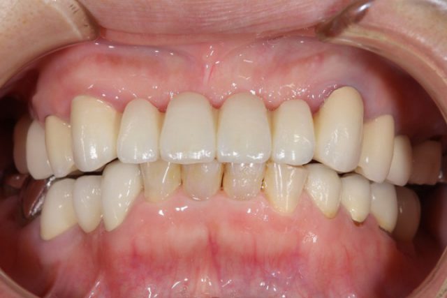
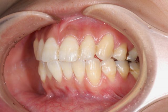
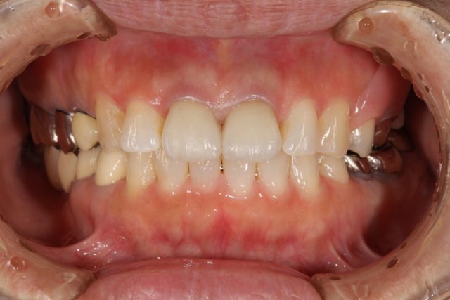
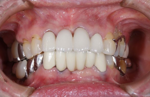
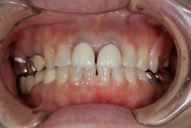
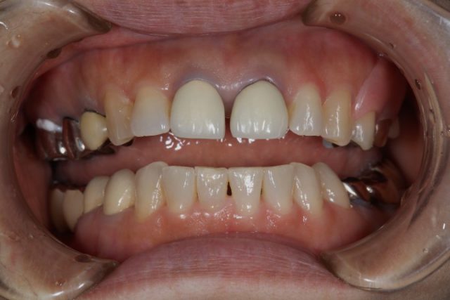
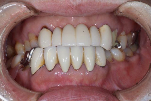
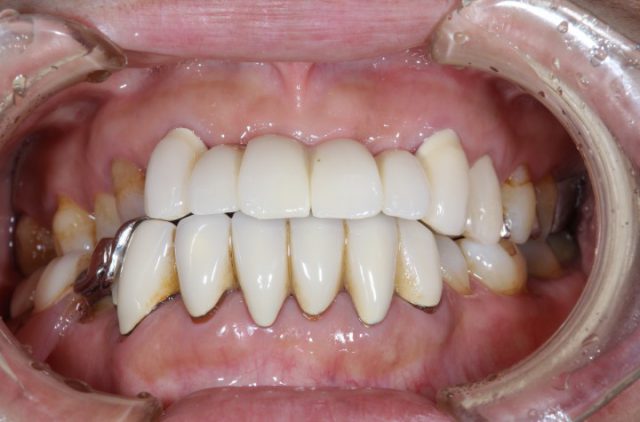
変色した前歯をオールセラミックの被せ物で色味を合わす術例 施術前 施術後 施術例詳細へ 被せ物の黒ずみをオールセラミックで解消した症例 施術前 施術後 施術例詳細へ 隙間ができてきた被せ物をオールセラミックによりやり直した術例 施術前 施術後 施術例詳細へ 歯と歯ぐきの間のむし歯を治療し前歯7本を治療した術例 施術前 施術後 施術例詳細へ 保険適応の被せ物からオールセラミックへ変更した術例 施術前 施術後 施術例詳細へ 銀のインレーから奥歯2本をオールセラミックにした症例 施術前 施術後 施術例詳細へ 黄ばみが気になる被せ物をメタルボンドに変更した術例 施術前 施術後 施術例詳細へ 金属アレルギー対策に口腔内をメタルフリーにした症例 施術前 施術後 施術例詳細へ 銀歯をセラミックに作り直した術例 施術前 施術後 施術例詳細へ 他院で施術されたメタルボンドからジルコニアで作り直した術例 施術前 施術後 施術例詳細へ 投稿ナビゲーション 過去の投稿新しい投稿 7 / 11« 先頭«...56789...»最後 » 診療科目一覧 虫歯治療・予防歯科 虫歯治療と予防歯科について 歯周病治療 歯周病の治療について 審美治療・自費治療 歯を美しく保ちましょう 入れ歯治療 あなたにぴったりの入れ歯を インプラント治療 失ってしまった歯をもう一度 訪問歯科診療 ご来院いただけない患者様へ ホワイトニング 歯科医院によるホワイトニング 自費治療特設サイト 自費治療・審美特設サイト 当サイトでよく読まれています! 2月休診のお知らせ患者さんからの差し入れ❤️GW休診のお知らせお中元サファリパーク🦁ホワイトエッセンスコンテスト10月休診のお知らせ妊娠中の口腔ケア歯周病治療と一緒に禁煙🚭を!歓迎会 岡田歯科医院TOP クリニック紹介 ドクター&スタッフ紹介 初めてご来院の方へ お急ぎの患者様へ 診療科目 健康通信 スタッフブログ お問い合わせ
被せ物の黒ずみをオールセラミックで解消した症例 施術前 施術後 施術例詳細へ 隙間ができてきた被せ物をオールセラミックによりやり直した術例 施術前 施術後 施術例詳細へ 歯と歯ぐきの間のむし歯を治療し前歯7本を治療した術例 施術前 施術後 施術例詳細へ 保険適応の被せ物からオールセラミックへ変更した術例 施術前 施術後 施術例詳細へ 銀のインレーから奥歯2本をオールセラミックにした症例 施術前 施術後 施術例詳細へ 黄ばみが気になる被せ物をメタルボンドに変更した術例 施術前 施術後 施術例詳細へ 金属アレルギー対策に口腔内をメタルフリーにした症例 施術前 施術後 施術例詳細へ 銀歯をセラミックに作り直した術例 施術前 施術後 施術例詳細へ 他院で施術されたメタルボンドからジルコニアで作り直した術例 施術前 施術後 施術例詳細へ 投稿ナビゲーション 過去の投稿新しい投稿 7 / 11« 先頭«...56789...»最後 » 診療科目一覧 虫歯治療・予防歯科 虫歯治療と予防歯科について 歯周病治療 歯周病の治療について 審美治療・自費治療 歯を美しく保ちましょう 入れ歯治療 あなたにぴったりの入れ歯を インプラント治療 失ってしまった歯をもう一度 訪問歯科診療 ご来院いただけない患者様へ ホワイトニング 歯科医院によるホワイトニング 自費治療特設サイト 自費治療・審美特設サイト 当サイトでよく読まれています! 2月休診のお知らせ患者さんからの差し入れ❤️GW休診のお知らせお中元サファリパーク🦁ホワイトエッセンスコンテスト10月休診のお知らせ妊娠中の口腔ケア歯周病治療と一緒に禁煙🚭を!歓迎会 岡田歯科医院TOP クリニック紹介 ドクター&スタッフ紹介 初めてご来院の方へ お急ぎの患者様へ 診療科目 健康通信 スタッフブログ お問い合わせ
隙間ができてきた被せ物をオールセラミックによりやり直した術例 施術前 施術後 施術例詳細へ 歯と歯ぐきの間のむし歯を治療し前歯7本を治療した術例 施術前 施術後 施術例詳細へ 保険適応の被せ物からオールセラミックへ変更した術例 施術前 施術後 施術例詳細へ 銀のインレーから奥歯2本をオールセラミックにした症例 施術前 施術後 施術例詳細へ 黄ばみが気になる被せ物をメタルボンドに変更した術例 施術前 施術後 施術例詳細へ 金属アレルギー対策に口腔内をメタルフリーにした症例 施術前 施術後 施術例詳細へ 銀歯をセラミックに作り直した術例 施術前 施術後 施術例詳細へ 他院で施術されたメタルボンドからジルコニアで作り直した術例 施術前 施術後 施術例詳細へ 投稿ナビゲーション 過去の投稿新しい投稿 7 / 11« 先頭«...56789...»最後 » 診療科目一覧 虫歯治療・予防歯科 虫歯治療と予防歯科について 歯周病治療 歯周病の治療について 審美治療・自費治療 歯を美しく保ちましょう 入れ歯治療 あなたにぴったりの入れ歯を インプラント治療 失ってしまった歯をもう一度 訪問歯科診療 ご来院いただけない患者様へ ホワイトニング 歯科医院によるホワイトニング 自費治療特設サイト 自費治療・審美特設サイト 当サイトでよく読まれています! 2月休診のお知らせ患者さんからの差し入れ❤️GW休診のお知らせお中元サファリパーク🦁ホワイトエッセンスコンテスト10月休診のお知らせ妊娠中の口腔ケア歯周病治療と一緒に禁煙🚭を!歓迎会 岡田歯科医院TOP クリニック紹介 ドクター&スタッフ紹介 初めてご来院の方へ お急ぎの患者様へ 診療科目 健康通信 スタッフブログ お問い合わせ
歯と歯ぐきの間のむし歯を治療し前歯7本を治療した術例 施術前 施術後 施術例詳細へ 保険適応の被せ物からオールセラミックへ変更した術例 施術前 施術後 施術例詳細へ 銀のインレーから奥歯2本をオールセラミックにした症例 施術前 施術後 施術例詳細へ 黄ばみが気になる被せ物をメタルボンドに変更した術例 施術前 施術後 施術例詳細へ 金属アレルギー対策に口腔内をメタルフリーにした症例 施術前 施術後 施術例詳細へ 銀歯をセラミックに作り直した術例 施術前 施術後 施術例詳細へ 他院で施術されたメタルボンドからジルコニアで作り直した術例 施術前 施術後 施術例詳細へ 投稿ナビゲーション 過去の投稿新しい投稿 7 / 11« 先頭«...56789...»最後 » 診療科目一覧 虫歯治療・予防歯科 虫歯治療と予防歯科について 歯周病治療 歯周病の治療について 審美治療・自費治療 歯を美しく保ちましょう 入れ歯治療 あなたにぴったりの入れ歯を インプラント治療 失ってしまった歯をもう一度 訪問歯科診療 ご来院いただけない患者様へ ホワイトニング 歯科医院によるホワイトニング 自費治療特設サイト 自費治療・審美特設サイト 当サイトでよく読まれています! 2月休診のお知らせ患者さんからの差し入れ❤️GW休診のお知らせお中元サファリパーク🦁ホワイトエッセンスコンテスト10月休診のお知らせ妊娠中の口腔ケア歯周病治療と一緒に禁煙🚭を!歓迎会 岡田歯科医院TOP クリニック紹介 ドクター&スタッフ紹介 初めてご来院の方へ お急ぎの患者様へ 診療科目 健康通信 スタッフブログ お問い合わせ
保険適応の被せ物からオールセラミックへ変更した術例 施術前 施術後 施術例詳細へ 銀のインレーから奥歯2本をオールセラミックにした症例 施術前 施術後 施術例詳細へ 黄ばみが気になる被せ物をメタルボンドに変更した術例 施術前 施術後 施術例詳細へ 金属アレルギー対策に口腔内をメタルフリーにした症例 施術前 施術後 施術例詳細へ 銀歯をセラミックに作り直した術例 施術前 施術後 施術例詳細へ 他院で施術されたメタルボンドからジルコニアで作り直した術例 施術前 施術後 施術例詳細へ 投稿ナビゲーション 過去の投稿新しい投稿 7 / 11« 先頭«...56789...»最後 » 診療科目一覧 虫歯治療・予防歯科 虫歯治療と予防歯科について 歯周病治療 歯周病の治療について 審美治療・自費治療 歯を美しく保ちましょう 入れ歯治療 あなたにぴったりの入れ歯を インプラント治療 失ってしまった歯をもう一度 訪問歯科診療 ご来院いただけない患者様へ ホワイトニング 歯科医院によるホワイトニング 自費治療特設サイト 自費治療・審美特設サイト 当サイトでよく読まれています! 2月休診のお知らせ患者さんからの差し入れ❤️GW休診のお知らせお中元サファリパーク🦁ホワイトエッセンスコンテスト10月休診のお知らせ妊娠中の口腔ケア歯周病治療と一緒に禁煙🚭を!歓迎会 岡田歯科医院TOP クリニック紹介 ドクター&スタッフ紹介 初めてご来院の方へ お急ぎの患者様へ 診療科目 健康通信 スタッフブログ お問い合わせ
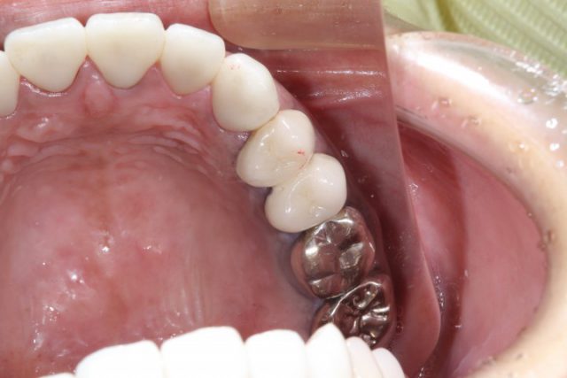
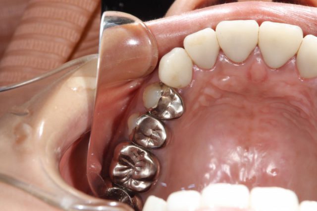
銀のインレーから奥歯2本をオールセラミックにした症例 施術前 施術後 施術例詳細へ 黄ばみが気になる被せ物をメタルボンドに変更した術例 施術前 施術後 施術例詳細へ 金属アレルギー対策に口腔内をメタルフリーにした症例 施術前 施術後 施術例詳細へ 銀歯をセラミックに作り直した術例 施術前 施術後 施術例詳細へ 他院で施術されたメタルボンドからジルコニアで作り直した術例 施術前 施術後 施術例詳細へ 投稿ナビゲーション 過去の投稿新しい投稿 7 / 11« 先頭«...56789...»最後 » 診療科目一覧 虫歯治療・予防歯科 虫歯治療と予防歯科について 歯周病治療 歯周病の治療について 審美治療・自費治療 歯を美しく保ちましょう 入れ歯治療 あなたにぴったりの入れ歯を インプラント治療 失ってしまった歯をもう一度 訪問歯科診療 ご来院いただけない患者様へ ホワイトニング 歯科医院によるホワイトニング 自費治療特設サイト 自費治療・審美特設サイト 当サイトでよく読まれています! 2月休診のお知らせ患者さんからの差し入れ❤️GW休診のお知らせお中元サファリパーク🦁ホワイトエッセンスコンテスト10月休診のお知らせ妊娠中の口腔ケア歯周病治療と一緒に禁煙🚭を!歓迎会 岡田歯科医院TOP クリニック紹介 ドクター&スタッフ紹介 初めてご来院の方へ お急ぎの患者様へ 診療科目 健康通信 スタッフブログ お問い合わせ
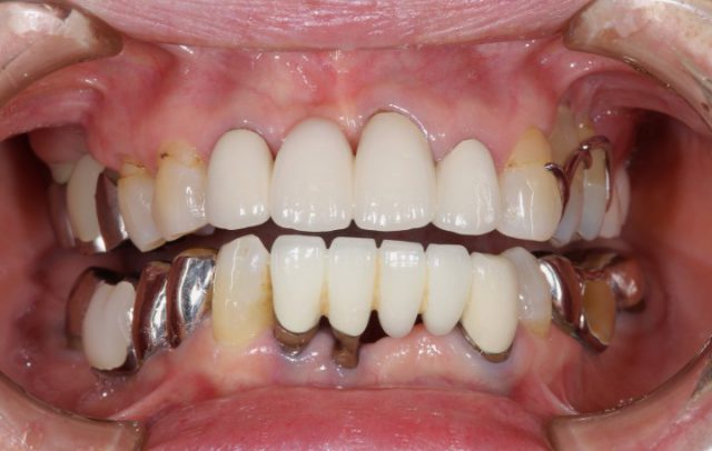
黄ばみが気になる被せ物をメタルボンドに変更した術例 施術前 施術後 施術例詳細へ 金属アレルギー対策に口腔内をメタルフリーにした症例 施術前 施術後 施術例詳細へ 銀歯をセラミックに作り直した術例 施術前 施術後 施術例詳細へ 他院で施術されたメタルボンドからジルコニアで作り直した術例 施術前 施術後 施術例詳細へ 投稿ナビゲーション 過去の投稿新しい投稿 7 / 11« 先頭«...56789...»最後 » 診療科目一覧 虫歯治療・予防歯科 虫歯治療と予防歯科について 歯周病治療 歯周病の治療について 審美治療・自費治療 歯を美しく保ちましょう 入れ歯治療 あなたにぴったりの入れ歯を インプラント治療 失ってしまった歯をもう一度 訪問歯科診療 ご来院いただけない患者様へ ホワイトニング 歯科医院によるホワイトニング 自費治療特設サイト 自費治療・審美特設サイト 当サイトでよく読まれています! 2月休診のお知らせ患者さんからの差し入れ❤️GW休診のお知らせお中元サファリパーク🦁ホワイトエッセンスコンテスト10月休診のお知らせ妊娠中の口腔ケア歯周病治療と一緒に禁煙🚭を!歓迎会 岡田歯科医院TOP クリニック紹介 ドクター&スタッフ紹介 初めてご来院の方へ お急ぎの患者様へ 診療科目 健康通信 スタッフブログ お問い合わせ
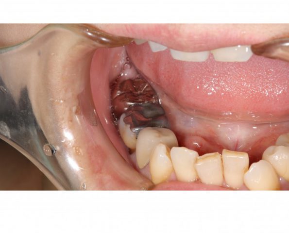
金属アレルギー対策に口腔内をメタルフリーにした症例 施術前 施術後 施術例詳細へ 銀歯をセラミックに作り直した術例 施術前 施術後 施術例詳細へ 他院で施術されたメタルボンドからジルコニアで作り直した術例 施術前 施術後 施術例詳細へ 投稿ナビゲーション 過去の投稿新しい投稿 7 / 11« 先頭«...56789...»最後 » 診療科目一覧 虫歯治療・予防歯科 虫歯治療と予防歯科について 歯周病治療 歯周病の治療について 審美治療・自費治療 歯を美しく保ちましょう 入れ歯治療 あなたにぴったりの入れ歯を インプラント治療 失ってしまった歯をもう一度 訪問歯科診療 ご来院いただけない患者様へ ホワイトニング 歯科医院によるホワイトニング 自費治療特設サイト 自費治療・審美特設サイト 当サイトでよく読まれています! 2月休診のお知らせ患者さんからの差し入れ❤️GW休診のお知らせお中元サファリパーク🦁ホワイトエッセンスコンテスト10月休診のお知らせ妊娠中の口腔ケア歯周病治療と一緒に禁煙🚭を!歓迎会 岡田歯科医院TOP クリニック紹介 ドクター&スタッフ紹介 初めてご来院の方へ お急ぎの患者様へ 診療科目 健康通信 スタッフブログ お問い合わせ
銀歯をセラミックに作り直した術例 施術前 施術後 施術例詳細へ 他院で施術されたメタルボンドからジルコニアで作り直した術例 施術前 施術後 施術例詳細へ 投稿ナビゲーション 過去の投稿新しい投稿 7 / 11« 先頭«...56789...»最後 » 診療科目一覧 虫歯治療・予防歯科 虫歯治療と予防歯科について 歯周病治療 歯周病の治療について 審美治療・自費治療 歯を美しく保ちましょう 入れ歯治療 あなたにぴったりの入れ歯を インプラント治療 失ってしまった歯をもう一度 訪問歯科診療 ご来院いただけない患者様へ ホワイトニング 歯科医院によるホワイトニング 自費治療特設サイト 自費治療・審美特設サイト