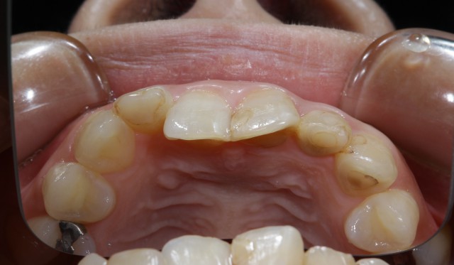
施術前
以前に保険で治療された詰め物の変色を気にされており、今回変色が気になる部分のほかにも歯並びが悪いのも治したいということで上前歯6本を強度の強いジルコニアにて審美治療を行いました。また、すべての歯にオフィスホワイトニングも行いました。
施術前は詰め物の変色も目立ち、歯並びが悪く全体的なバランスも悪く見えます。
施術中
土台を形成しここに型を取って作っておいた歯をつけていきます。ジルコニアは強度もあり白く美しいのが特徴です。
施術後
施術後です。変色部は取り除かれ、前歯のバランスもとても美しくなりました。全体的なホワイトニングも行っているために上下共に白く美しく清潔感のある印象となりました。生まれ変わった自分の歯を見てとても喜んでおられました。歯を白く美しくするとこで顔の印象はとてもよくなります。もしもっと明るくなりたい、もっと清潔感がほしいと考えてれている方は是非一度岡田歯科医院へご相談ください。
■治療内容
歯の詰め物や被せ物をセラミックなどの白い素材で治療します。
■費用(自費)
インレー:1 本あたり 55,000円~66,000円(税込)
クラウン:1 本あたり 44,000円~143,000万円(税込)
ラミネートべニア:1 本あたり 55,000円~(税込)
■治療期間及び回数
症状によりますが、処置自体は通院1~2 回で完了します。
■副作用・リスク
・銀歯に比べて厚みがあるため、歯を削る量が若干多くなります。
・歯ぎしりなどにより稀に破損する場合があります。









