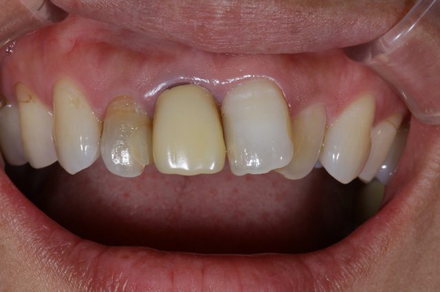
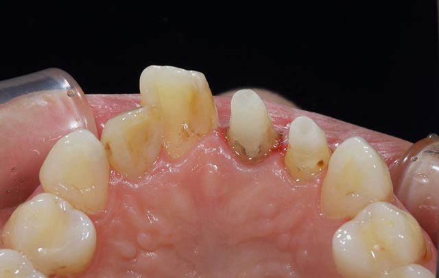
施術前
右の1番目は以前保険治療による被せものをされていましたが、写真のように変色もあり裏側の色も気になるという状態でした。また右の2番目の歯は神経が死んでしまっていてくすんだ色になってしまってました。この前歯2本の変色が気になっておられた患者さんのオールセラミックによる審美施術例です。
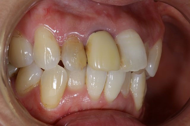
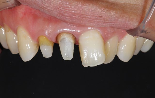
施術中
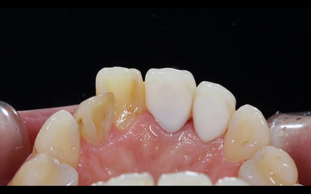
施術後
気にされていた1番目の裏側もきれいになりました。また神経が死んでしまっていた2番目も周りの歯と違和感なくきれいにりました。患者さんも変に白くなりすぎず回りの歯とも全く違和感がないことに大変喜んでおられました。
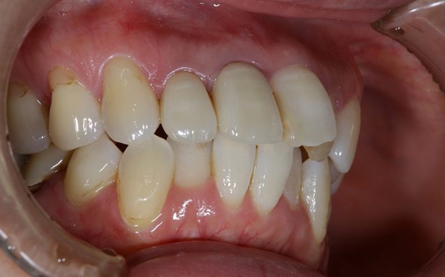
このように審美歯科では白くなりすぎないということもポイントになります。変に白くなると逆に目立ってしまいますのでまわりの歯の色にしっかりなじませるというところが非常に重要になります。
■治療内容
歯の詰め物や被せ物をセラミックなどの白い素材で治療します。
■費用(自費)
インレー:1 本あたり 55,000円~66,000円(税込)
クラウン:1 本あたり 44,000円~143,000万円(税込)
ラミネートべニア:1 本あたり 55,000円~(税込)
■治療期間及び回数
症状によりますが、処置自体は通院1~2 回で完了します。
■副作用・リスク
・銀歯に比べて厚みがあるため、歯を削る量が若干多くなります。
・歯ぎしりなどにより稀に破損する場合があります。









