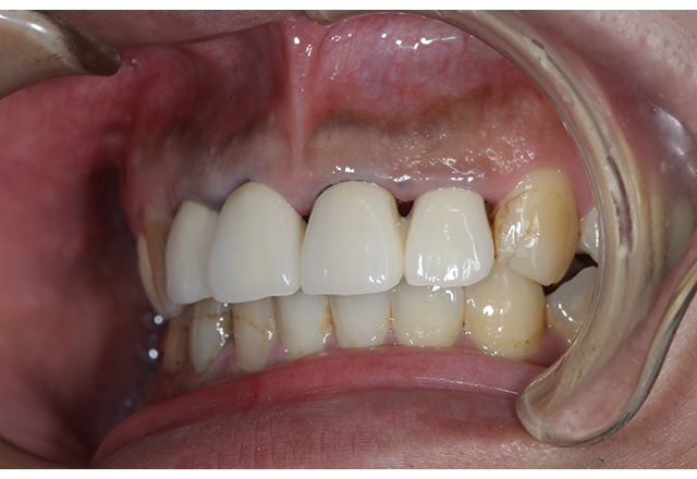
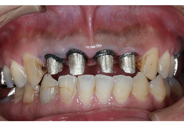
施術前
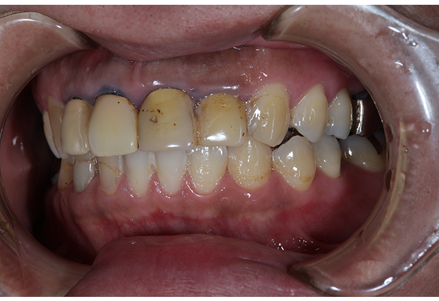
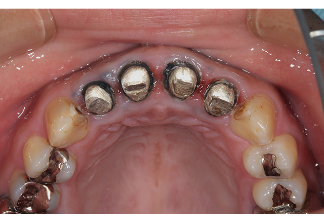
施術中
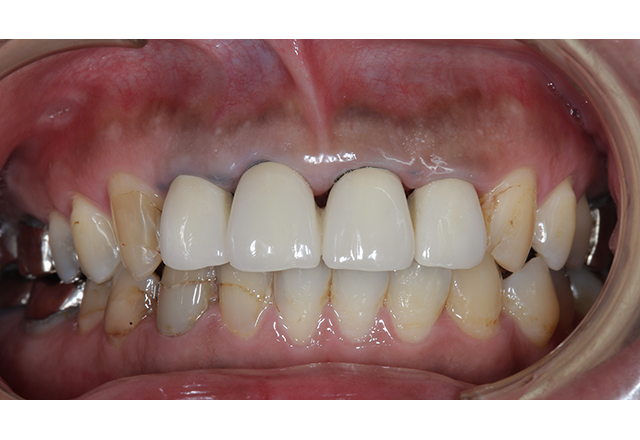
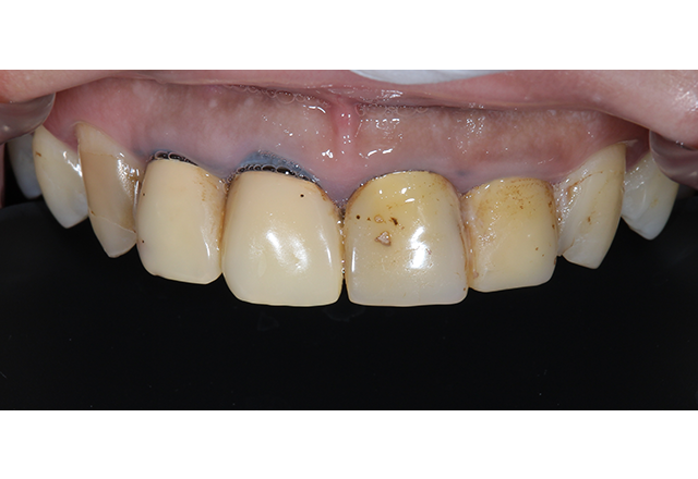
施術後
保険適応での治療は治療時に痛みなどもなく治療期間も自費治療と変わりませんし、強さにも問題はありません。
しかし時間とともにどうしても変色していきます。この着色は人により違いはありますがだいたい3年から5年で着色していくことがほとんどです。
逆に自費による治療の場合は着色はほとんどなく、歯の裏面も白く仕上がりるのが大きな特徴になります。
今回の患者様のように自費治療までは費用をかけたくないけれど歯の着色をどうにかしたい方は最適な治療計画をご提案いたしますので是非一度当院にご相談ください。
■治療内容
歯の詰め物や被せ物をセラミックなどの白い素材で治療します。
■費用(自費)
インレー:1 本あたり 55,000円~66,000円(税込)
クラウン:1 本あたり 44,000円~143,000万円(税込)
ラミネートべニア:1 本あたり 55,000円~(税込)
■治療期間及び回数
症状によりますが、処置自体は通院1~2 回で完了します。
■副作用・リスク
・銀歯に比べて厚みがあるため、歯を削る量が若干多くなります。
・歯ぎしりなどにより稀に破損する場合があります。












