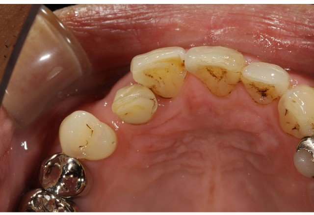
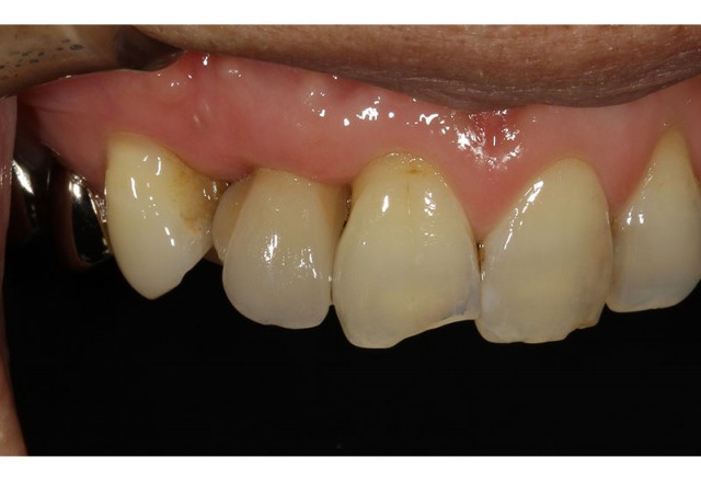
施術前
側切歯の反対咬合によりかみ合わせの悪さを気にされておられ今回強度もあり白さも保てるジルコニアにて審美回復させていただきました。
画像からもわかるようにしたの歯の奥なってしまっているのがわかると思います。
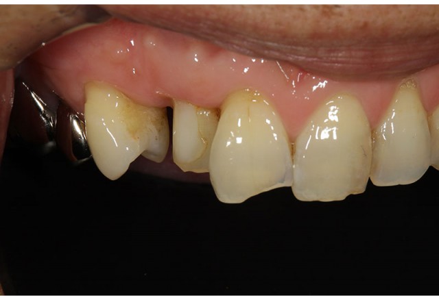
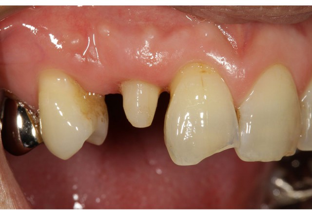
施術中
まずはジルコニアを被せるための土台を形成していきます。こちらを土台に反対咬合を回復するための義歯をジルコニアにて作成します。
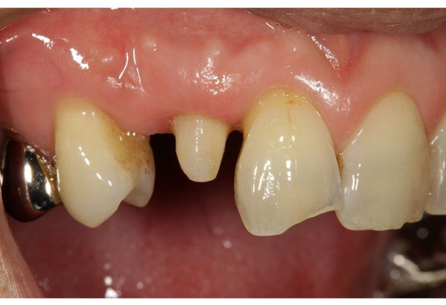
施術後
施術後です。反対咬合が回復し下の歯の前になるようなかみ合わせになっています。このように反対咬合などの歯並びも審美回復することが可能ですので少しでもお悩みの方はお気軽に岡田歯科医院へお問い合わせください。
■治療内容
歯の詰め物や被せ物をセラミックなどの白い素材で治療します。
■費用(自費)
インレー:1 本あたり 55,000円~66,000円(税込)
クラウン:1 本あたり 44,000円~143,000万円(税込)
ラミネートべニア:1 本あたり 55,000円~(税込)
■治療期間及び回数
症状によりますが、処置自体は通院1~2 回で完了します。
■副作用・リスク
・銀歯に比べて厚みがあるため、歯を削る量が若干多くなります。
・歯ぎしりなどにより稀に破損する場合があります。










