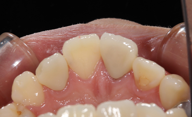
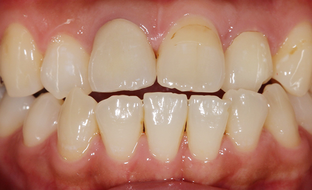
施術前
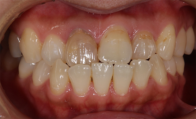
施術後
オールセラミックに変更した前歯です。セラミックは天然の歯と非常に良くマッチしており、変色していた部分がなくなり、自然な白さと輝きを取り戻しました。また、セラミックの耐久性も高いため、ご自身の普段の生活で心配することなくお使いいただけるでしょう。オールセラミックの治療は、長期的な美しさと機能性を提供します。今後の定期的な歯科検診と適切な口内衛生ケアを続けることで、この美しい結果を持続させることができます。もし何かご不明な点やお困りのことがありましたら、いつでもお気軽にご相談ください。
■治療内容
歯の詰め物や被せ物をセラミックなどの白い素材で治療します。
■費用(自費)
インレー:1 本あたり 55,000円~66,000円(税込)
クラウン:1 本あたり 44,000円~143,000万円(税込)
ラミネートべニア:1 本あたり 55,000円~(税込)
■治療期間及び回数
症状によりますが、処置自体は通院1~2 回で完了します。
■副作用・リスク
・銀歯に比べて厚みがあるため、歯を削る量が若干多くなります。
・歯ぎしりなどにより稀に破損する場合があります。





