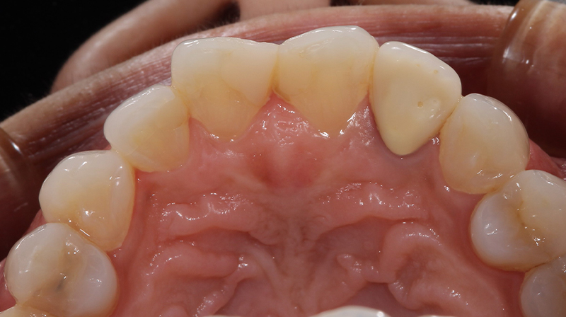
施術前
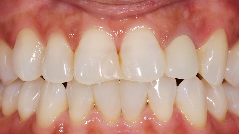
施術中
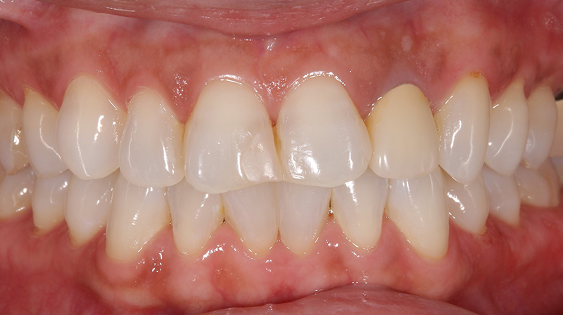
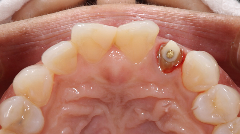
施術後
オールセラミックは、非常に自然な見た目を実現するために設計された素材です。従来の詰め物や被せ物と比較して、色調や光の反射が非常に似ており、周囲の歯との調和も良いです。これにより、以前の治療個所との色の差を最小限に抑えることができます。
また、オールセラミックは非常に耐久性があります。正しいケアとメンテナンスが行われれば、長期間にわたって美しい笑顔を保つことができます。日常の歯磨きや定期的な歯科検診、クリーニングなどのケアを継続することが重要です。
オールセラミックのクラウン(被せもの)の価格は1本110,000円(税込)となっております。
ホワイトニング治療とオールセラミック治療は、美しい笑顔を実現するために有効な方法です。患者さんのご要望や目標に基づいて、最適な治療方法を提案させていただきます。ご質問やご心配事があれば、いつでもお気軽にご相談ください。
■治療内容
歯の詰め物や被せ物をセラミックなどの白い素材で治療します。
■費用(自費)
インレー:1 本あたり 55,000円~66,000円(税込)
クラウン:1 本あたり 44,000円~143,000万円(税込)
ラミネートべニア:1 本あたり 55,000円~(税込)
■治療期間及び回数
症状によりますが、処置自体は通院1~2 回で完了します。
■副作用・リスク
・銀歯に比べて厚みがあるため、歯を削る量が若干多くなります。
・歯ぎしりなどにより稀に破損する場合があります。







