施術前
施術中
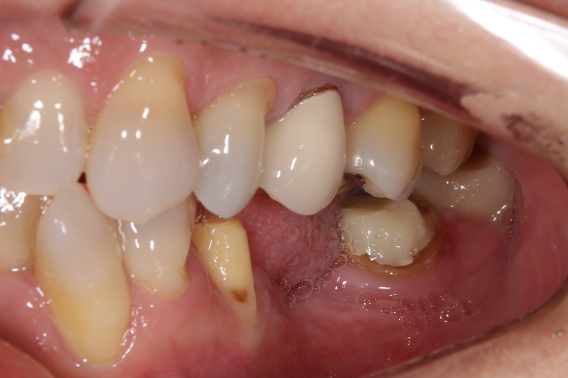
施術後
術後、口の中は健康的で美しい状態となりました。ジルコニアのブリッジは、自然な見た目と高い強度を兼ね備えているため、非常に満足いただけ、ブリッジのフィット感も良好であり、患者様が快適に咀嚼することができるようになりました。
費用は1本あたり132,000円(税込)となります。
口の中が以前よりも快適になり、笑顔が増えたという喜びの声をいただくことができました。
岡田歯科医院では、患者様のニーズに合わせた最適な治療を提供し、患者様の口の中が健康的で美しくなるようサポートしていきます。何か気になることなどあればお気軽にご相談ください。
■治療内容
歯の詰め物や被せ物をセラミックなどの白い素材で治療します。
■費用(自費)
インレー:1 本あたり 55,000円~66,000円(税込)
クラウン:1 本あたり 44,000円~143,000万円(税込)
ラミネートべニア:1 本あたり 55,000円~(税込)
■治療期間及び回数
症状によりますが、処置自体は通院1~2 回で完了します。
■副作用・リスク
・銀歯に比べて厚みがあるため、歯を削る量が若干多くなります。
・歯ぎしりなどにより稀に破損する場合があります。







