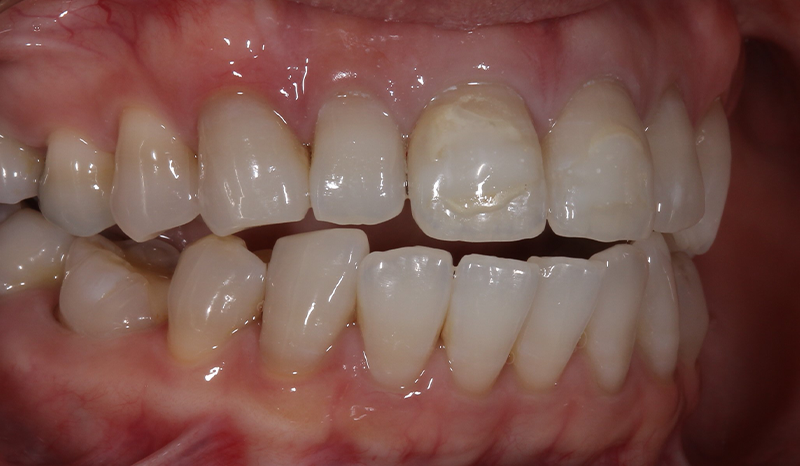
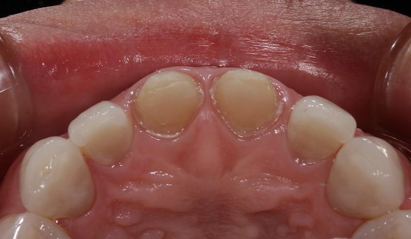
施術前
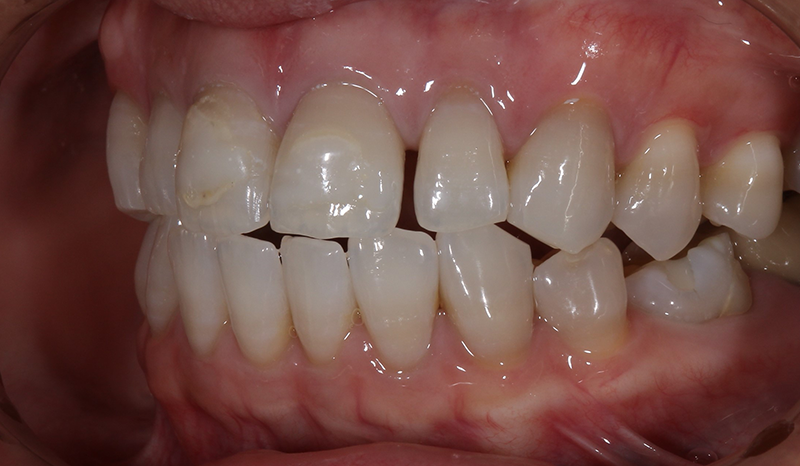
施術中
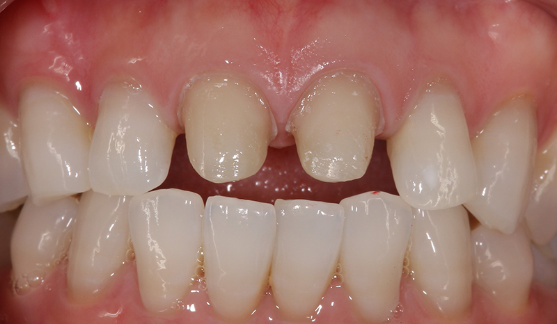
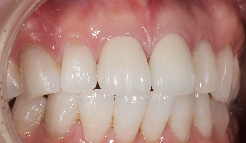
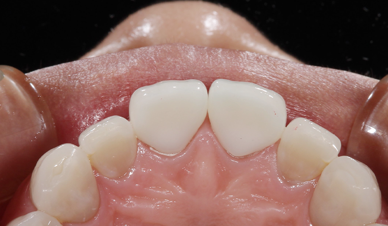
施術後
今回のジルコニアという材質は金属と同等の強度があり、割れたりかけたりすることが少ない強い素材です。見た目もセラミックと同等に自然な仕上がりになるためとても優れた素材となります。
費用は1本あたり132,000円(税込)となります。
まわりの歯とも色味があい前歯を気にすることなく笑えると大変喜んでいただきました。
このように前歯の変色や、以前に治療した部分が気になるという方は是非お気軽にご相談ください。
一人ひとりにあった美しい歯のご提案をさせていただきます。
■治療内容
歯の詰め物や被せ物をセラミックなどの白い素材で治療します。
■費用(自費)
インレー:1 本あたり 55,000円~66,000円(税込)
クラウン:1 本あたり 44,000円~143,000万円(税込)
ラミネートべニア:1 本あたり 55,000円~(税込)
■治療期間及び回数
症状によりますが、処置自体は通院1~2 回で完了します。
■副作用・リスク
・銀歯に比べて厚みがあるため、歯を削る量が若干多くなります。
・歯ぎしりなどにより稀に破損する場合があります。











