施術例
飛び出した前歯横の側切歯(そくせっし)を抜きジルコニアブリッジにした術例
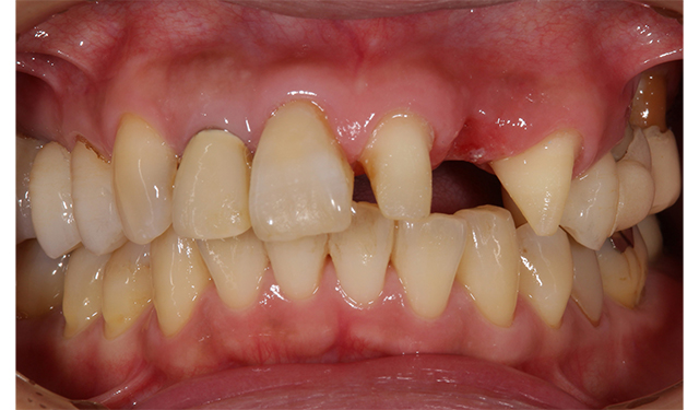
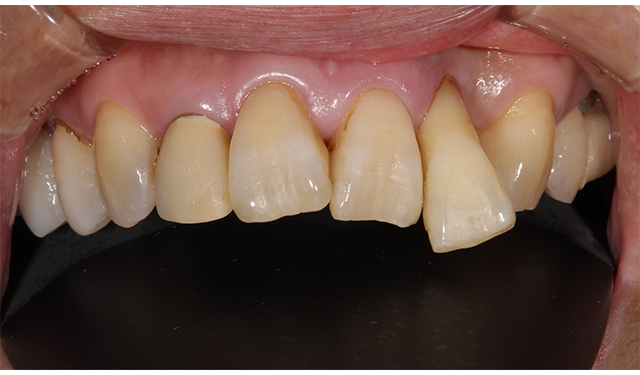
施術前
前歯横の側切歯(そくせっし)がもともと飛び出ており、今回この歯を抜きまわりの歯を利用して被せものをするブリッジという方法でジルコニアにより審美術を行いました。
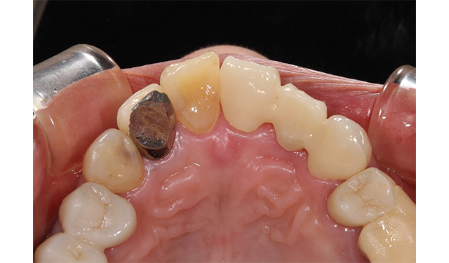
施術中
術中です。飛び出ていた歯を抜き、まわりの歯を土台として利用するため削っていきます。
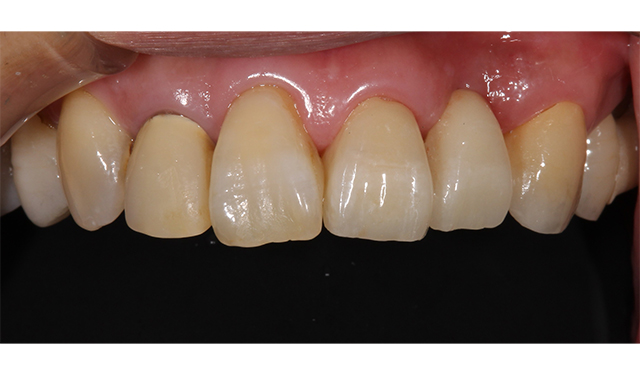
施術後
飛びでいていた歯はジルコニアブリッジによりまわりの歯と自然に並び非常に美しい仕上がりとなります。
ジルコニアは非常に硬い素材となりますので、かみ砕く際にも安心です。
このように歯の変形や生え癖などでお困りの際には是非ご相談ください。
患者さんに合った最適なご提案をさせていただきます。
治療内容
歯の詰め物や被せ物をセラミックなどの白い素材で治療します。
費用(自費)
- インレー:1 本あたり 55,000円~66,000円(税込)
- クラウン:1 本あたり 44,000円~143,000万円(税込)
- ラミネートべニア:1 本あたり 55,000円~(税込)
治療期間及び回数
症状によりますが、処置自体は通院1~2 回で完了します。
副作用・リスク
- 銀歯に比べて厚みがあるため、歯を削る量が若干多くなります。
- 歯ぎしりなどにより稀に破損する場合があります。


