施術例
保険のブリッジをジルコニアのブリッジに変更した術例
施術前
左下3番目から5番目に保険適応の治療をされておられたのですが、金属が目立ち見た目も良くないという事で今回ジルコニアによるブリッジを施術させていただきました。
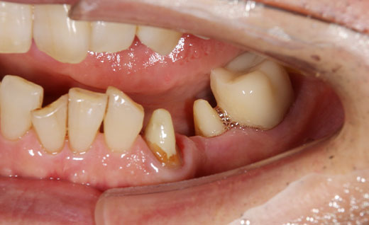
施術中
ジルコニアブリッジの土台を形成しているところです。
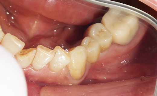
施術後
施術後です。ジルコニアは強度も強く奥歯にはおすすめです。また色味もまわりの歯に合わせて合わすことができるので比較しても新しくつけたものであることもわからないくらいの仕上がりとなります。今回のようにわざと少し汚れたような色味にすることも可能となります。
保険適応の詰め物や見た目などを少しでも改善したいと考えられている方は多くおられます。もし改善策をお考えの方は是非お気軽に岡田歯科医院へご相談ください。
治療内容
歯の詰め物や被せ物をセラミックなどの白い素材で治療します。
費用(自費)
- インレー:1 本あたり 55,000円~66,000円(税込)
- クラウン:1 本あたり 44,000円~143,000万円(税込)
- ラミネートべニア:1 本あたり 55,000円~(税込)
治療期間及び回数
症状によりますが、処置自体は通院1~2 回で完了します。
副作用・リスク
- 銀歯に比べて厚みがあるため、歯を削る量が若干多くなります。
- 歯ぎしりなどにより稀に破損する場合があります。


