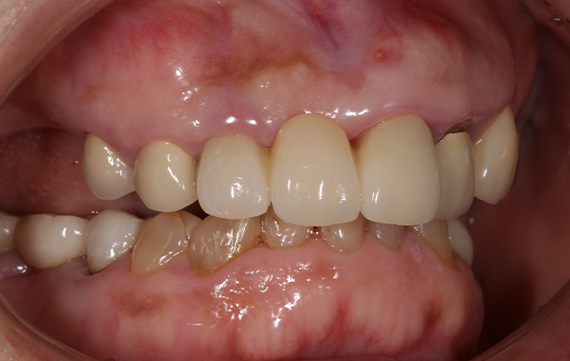
施術前
もともと前歯3本をオールセラミックで治療されていましたが、その横の保険適応で治療した歯の色と黒ずみを気にされていました。笑うたびに見えてしまうので、どうしても気になってしまうと悩んでおられました。今回右の2番と左の3番の前歯をオールセラミックでの治療をさせていただきました。
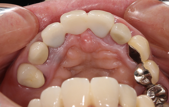
施術中
術中です。このように土台を形成しオールセラミックを取り付ける準備をします。
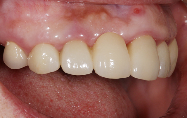
施術後
以前に前歯のオールセラミック治療をし、その横の歯の色と黒ずみが気になっておられましたが、今回全てオールセラミックで治療していただいたことで、歯全体の色が均一になり、自然な笑顔が戻り、仕上がりもとても美しく、笑うことが以前よりも楽しみになったと本当に満足しておられました。
このように歯は少しの変化で大きく印象や気持ちが変わりますので、お口の中で悩みや不満などを持っておられる方は是非お気軽にご相談ください。
■治療内容
歯の詰め物や被せ物をセラミックなどの白い素材で治療します。
■費用(自費)
インレー:1 本あたり 55,000円~66,000円(税込)
クラウン:1 本あたり 44,000円~143,000万円(税込)
ラミネートべニア:1 本あたり 55,000円~(税込)
■治療期間及び回数
症状によりますが、処置自体は通院1~2 回で完了します。
■副作用・リスク
・銀歯に比べて厚みがあるため、歯を削る量が若干多くなります。
・歯ぎしりなどにより稀に破損する場合があります。








