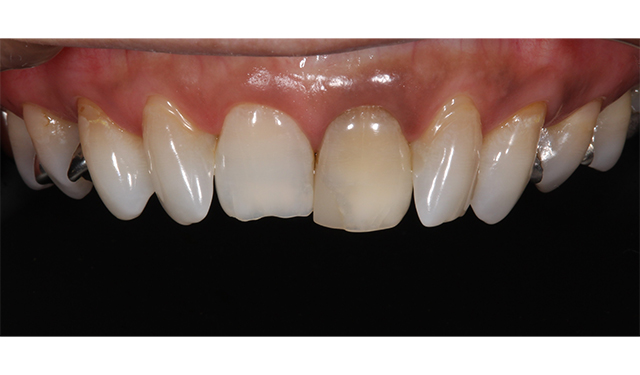
施術前
歯の神経は死んでしまうと歯は薄黒くなってしまいます。ホワイトニングや歯の治療などを行うとこの黒ずみが意外と目立ってしまう事があります。今回は歯の根幹治療を行った後に、神経が死んでしまっている歯の黒ずみが目立ってしまったためオールセラミックに変更させていただきました。
施術中
もともとある歯を新しく作るオールセラミックの歯の土台として形成していきます。
施術後
今まで何となく薄黒かった歯はまわりの歯を自然に色合いも合わせることができ、とても美しく仕上がります。
術後を見ていただけると、少しの黒ずみがなくなるだけでとても印象が変わり、清潔感が出ているのが分かると思います。
このように歯の黒ずみや黄ばみ、まわりの歯との色見の違いでお悩みの方は是非一度ご相談ください。
患者様一人ひとりに合った治療をご提案させていただきます。
■治療内容
歯の詰め物や被せ物をセラミックなどの白い素材で治療します。
■費用(自費)
インレー:1 本あたり 55,000円~66,000円(税込)
クラウン:1 本あたり 44,000円~143,000万円(税込)
ラミネートべニア:1 本あたり 55,000円~(税込)
■治療期間及び回数
症状によりますが、処置自体は通院1~2 回で完了します。
■副作用・リスク
・銀歯に比べて厚みがあるため、歯を削る量が若干多くなります。
・歯ぎしりなどにより稀に破損する場合があります。








