施術例
ホワイトニング後に神経のない変色した歯をオールセラミックに変更した術例
施術前
歯のホワイトニングを行われ白くなったのですが、以前に神経を抜いた前歯の色がすこし目立つようになってしまったので、今回オールセラミックで色を合わせさらにその横の歯の虫歯の治療も同時に行いました。
施術中
オールセラミックの土台を形成していきます。
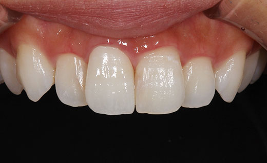
施術後
術後です。ホワイトニングをしたので術前に比べ歯は白く明るくなりました。また前歯の虫歯の治療もできるだけ目立たないように心がけ治療を行っております。術前では黒ずみや虫歯後がくっきり見えるのに対して術後ではほとんどわからず自然な見た目となります。
歯を白く美しくすると顔の印象は大きく変わります。ホワイトニングや歯の変色でお困りの方は是非お気軽に岡田歯科医院へご相談ください。
治療内容
歯の詰め物や被せ物をセラミックなどの白い素材で治療します。
費用(自費)
- インレー:1 本あたり 55,000円~66,000円(税込)
- クラウン:1 本あたり 44,000円~143,000万円(税込)
- ラミネートべニア:1 本あたり 55,000円~(税込)
治療期間及び回数
症状によりますが、処置自体は通院1~2 回で完了します。
副作用・リスク
- 銀歯に比べて厚みがあるため、歯を削る量が若干多くなります。
- 歯ぎしりなどにより稀に破損する場合があります。


