施術例
前歯保険適応の被せものの変色が気になり、オールセラミックにした症例
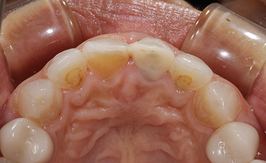
施術前
前歯の保険適応の被せものの変色や、歯の色が自然でないと感じておられ、今回オールセラミックへ変更させていただきました。
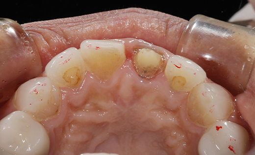
施術中
施術中です。このように新しいオールセラミックを被せるための土台を形成していきます。
施術後
施術後です。施術前と比べるととても自然に見えるのが分かると思います。
オールセラミックは自然な見た目が特長であり、変色も少ないです。口元が自然で美しく見えることは、自信を持つ上で重要だと考えています。
費用は1本につき121,000円(税込)となります。
前歯の変色やまわりの歯との色見の違いでお悩みの方は是非一度岡田歯科医院へご相談ください。
治療内容
歯の詰め物や被せ物をセラミックなどの白い素材で治療します。
費用(自費)
- インレー:1 本あたり 55,000円~66,000円(税込)
- クラウン:1 本あたり 44,000円~143,000万円(税込)
- ラミネートべニア:1 本あたり 55,000円~(税込)
治療期間及び回数
症状によりますが、処置自体は通院1~2 回で完了します。
副作用・リスク
- 銀歯に比べて厚みがあるため、歯を削る量が若干多くなります。
- 歯ぎしりなどにより稀に破損する場合があります。


