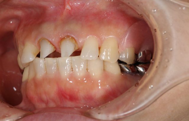
施術前
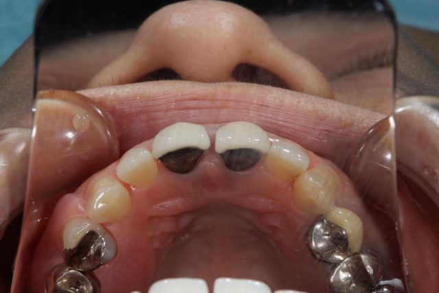
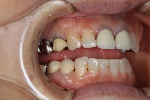
施術中
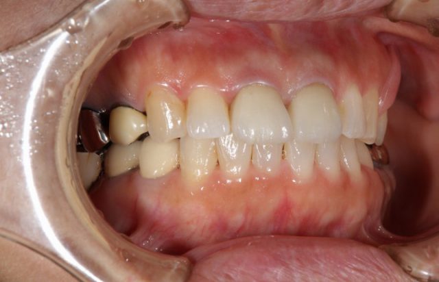
施術後
術後は隙間も歯茎の黒ずみも気になりません。まわりの歯の色ともしっかりと合わせているのでほとんど違和感はありません。また、保険適応の被せ物の裏は黒く目立ちますが、オールセラミックでは裏まで自然な白さになります。
患者様もあまりの違和感のなさに大変喜んでおられました。
このように黒ずみや歯の隙間が年々気になってくるということはよくあります。毎日見ていると見慣れてしまっているということも少なくありませんが他から見ると意外と目立ってしまっているものです。今回の術例のように審美回復によって違和感なく自然な歯にすることで顔の印象も大きく変わります。なんだか最近黒ずみが気になるなんて思われてる方はお気軽にご相談ください。今までの審美回復例をふまえ最適な施術をご提案いたします。
■治療内容
歯の詰め物や被せ物をセラミックなどの白い素材で治療します。
■費用(自費)
インレー:1 本あたり 55,000円~66,000円(税込)
クラウン:1 本あたり 44,000円~143,000万円(税込)
ラミネートべニア:1 本あたり 55,000円~(税込)
■治療期間及び回数
症状によりますが、処置自体は通院1~2 回で完了します。
■副作用・リスク
・銀歯に比べて厚みがあるため、歯を削る量が若干多くなります。
・歯ぎしりなどにより稀に破損する場合があります。













