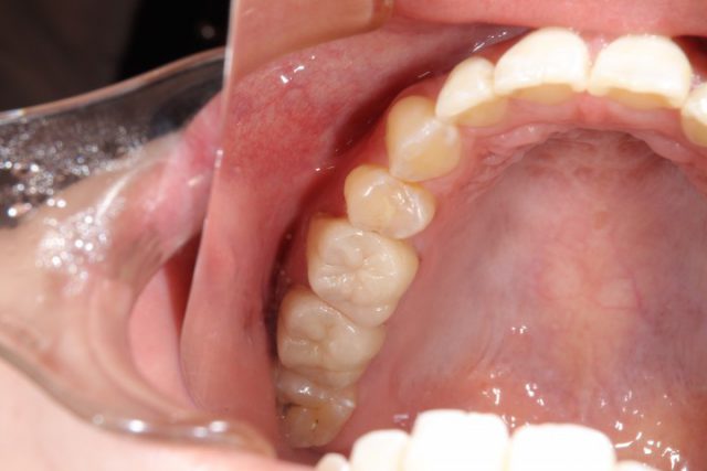
施術前
施術中
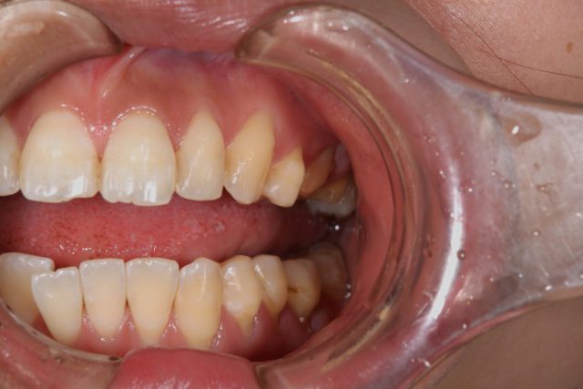
施術後
今まではむし歯の治療後が目立ちましたが、オールセラミックのクラウンにすることでその治療のあとはほとんどわからなくなります。オールセラミックでは口腔内から金属がなくなりますのでストレスもかかりにくいのが特徴です。口をあけたときにキラッと見える銀の詰め物とは違い、見た目も非常にキレイに仕上がります。
銀の詰め物が気になっている方や、なんとなくかみ合わせが悪い、物がよく詰まるそんなお悩みを持っておられれば是非、一度ご相談ください。
■治療内容
歯の詰め物や被せ物をセラミックなどの白い素材で治療します。
■費用(自費)
インレー:1 本あたり 55,000円~66,000円(税込)
クラウン:1 本あたり 44,000円~143,000万円(税込)
ラミネートべニア:1 本あたり 55,000円~(税込)
■治療期間及び回数
症状によりますが、処置自体は通院1~2 回で完了します。
■副作用・リスク
・銀歯に比べて厚みがあるため、歯を削る量が若干多くなります。
・歯ぎしりなどにより稀に破損する場合があります。







