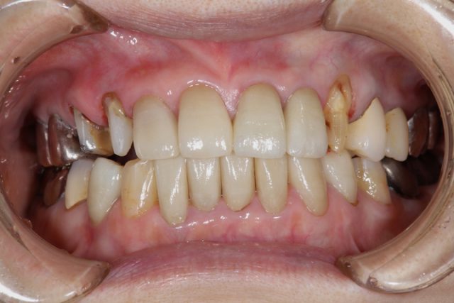
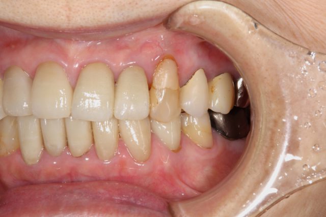
施術前
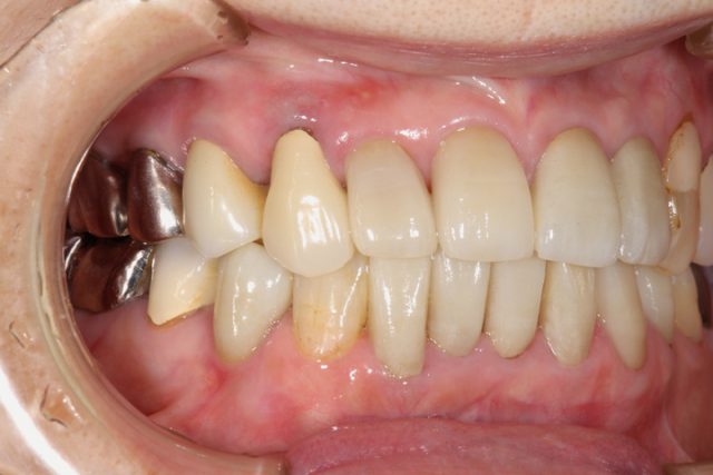
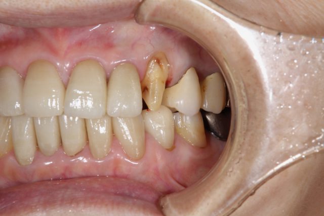
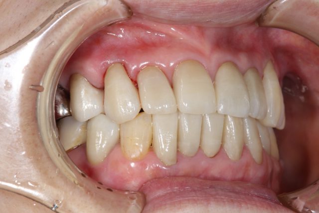
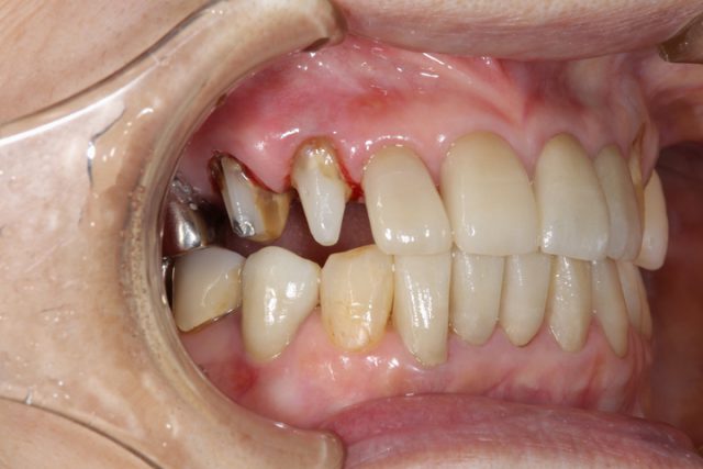
施術中
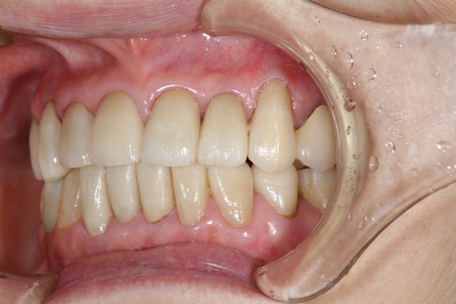
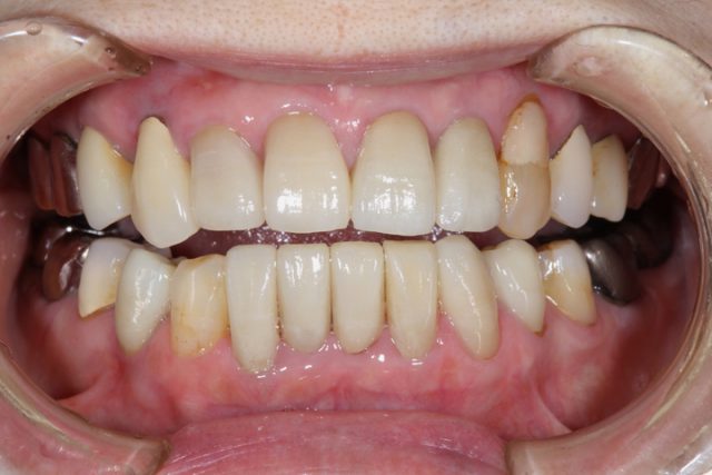
施術後
術後の画像です。まわりの歯の色ともしっかりとマッチングしています。オールセラミックで施術しているために黒ずみも解消されていますし、歯の裏側も白くなっているのでほとんど自分の歯と見分けがつかないくらいになっているのが分かります。
患者様も笑うと黒ずみや変色が目立つんじゃないかと思っていたけれど、これで思いっきり口をあけられるとたいへん喜んでおられました。
自分の歯の状態が気になって口が思いっきりあけられないという方は意外と多くおられ、当院でも多くご相談を受けております。このようなお悩みを持っておられ施術により悩みを解消された方はみなさん大きな口をあけられることに非常に幸せを感じておられます。
同じように口が思いっきりあけられないとお悩みの方は是非お気軽にお問い合わせくださいね!
施術例
■治療内容
歯の詰め物や被せ物をセラミックなどの白い素材で治療します。
■費用(自費)
インレー:1 本あたり 55,000円~66,000円(税込)
クラウン:1 本あたり 44,000円~143,000万円(税込)
ラミネートべニア:1 本あたり 55,000円~(税込)
■治療期間及び回数
症状によりますが、処置自体は通院1~2 回で完了します。
■副作用・リスク
・銀歯に比べて厚みがあるため、歯を削る量が若干多くなります。
・歯ぎしりなどにより稀に破損する場合があります。













