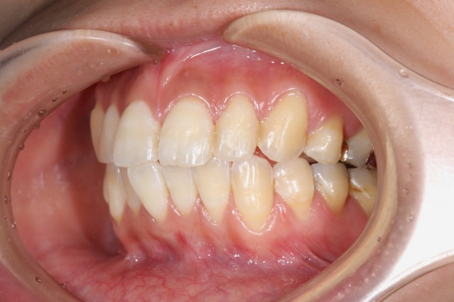
施術前
虫歯の治療でもともと金属にアレルギーがあると判明している方には治療法を考えますが、場所や状態によって金属製の詰め物をして治療することがあります。しかし、もともとアレルギーがなくてもアレルギーが出てくる場合もあります。今回の症例も過去のむし歯の治療によって金属アレルギーによる症状が出てきたので口腔内から金属をなくすメタルフリーによりアレルギー対策を行うという症例をご紹介いたします。
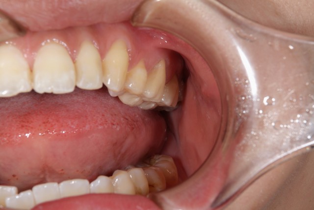
施術中
金属で治療してあったものをはずし土台を形成しなおします。このように自分の歯を土台として使える場合にはそのまま型を取りかぶせるクラウンという施術方法で治療していきます。また、今回のようなメタルフリーの場合黒ずみなどもなくキレイに仕上げることが出来るのもメタルフリーの特徴の一つです。
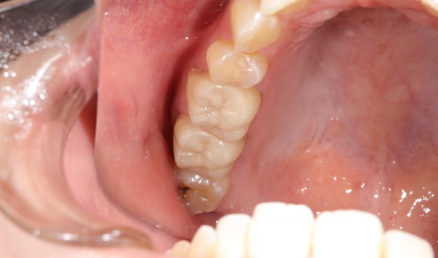
施術後
金属アレルギー対策はもちろんですが、口をあけたときにも金属が目立つということがないので非常に美しいです。口腔内の金属は歯ぎしりの原因となっているということもあります。たとえば髪が抜けやすくなった、肌にブツブツが出来やすいなどの症状などは金属アレルギーかも知れません。一度病院でアレルギー検査を行うことをおすすめします。
■治療内容
歯の詰め物や被せ物をセラミックなどの白い素材で治療します。
■費用(自費)
インレー:1 本あたり 55,000円~66,000円(税込)
クラウン:1 本あたり 44,000円~143,000万円(税込)
ラミネートべニア:1 本あたり 55,000円~(税込)
■治療期間及び回数
症状によりますが、処置自体は通院1~2 回で完了します。
■副作用・リスク
・銀歯に比べて厚みがあるため、歯を削る量が若干多くなります。
・歯ぎしりなどにより稀に破損する場合があります。






