施術例
他院で施術されたメタルボンドからジルコニアで作り直した術例
施術前
他院でメタルボンドでブリッジを施術されていましたが、形体と色が少しイメージと違うと感じおられました。そこで当院からジルコニアにより作りなおすというご提案をさせていただきました。ジルコニアは白いメタルとも呼ばれるほど白く強度があるのが特徴です。今回は上の歯6本と下の歯6本の変更に加え犬歯を八重歯のような形に形成させかわいく女の子らしくなるよう施術させていただきました。
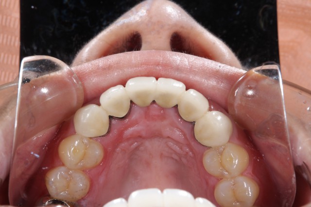
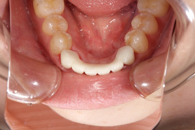
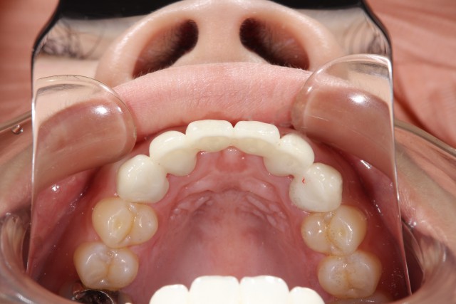
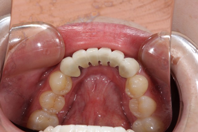
施術後
白さを求めるとオールセラミックで施術するのですが、今回の患者様は上前歯2本、下前歯4本が欠損されているためにブリッジ(まわりの歯を使って橋を渡すように被せる術)による施術になります。そのため強度が必要となり今回はジルコニアによる施術をご提案させていただきました。
術前のメタルボンドは接続部分が黒く目立ってしまっていますが、それも解消され、犬歯を八重歯のように形成することでとてもキュートな印象に大変身されました。
人の歯はその人の印象を大きく変化させます。今回の術例のようにかわいくキュートな印象を与える歯を形成することも可能です。思い描いているおられるイメージをお伝えいただければあなたの口腔内に適したご提案をさせていただきますので是非お気軽にご相談くださいね。
治療内容
歯の詰め物や被せ物をセラミックなどの白い素材で治療します。
費用(自費)
- インレー:1 本あたり 55,000円~66,000円(税込)
- クラウン:1 本あたり 44,000円~143,000万円(税込)
- ラミネートべニア:1 本あたり 55,000円~(税込)
治療期間及び回数
症状によりますが、処置自体は通院1~2 回で完了します。
副作用・リスク
- 銀歯に比べて厚みがあるため、歯を削る量が若干多くなります。
- 歯ぎしりなどにより稀に破損する場合があります。


