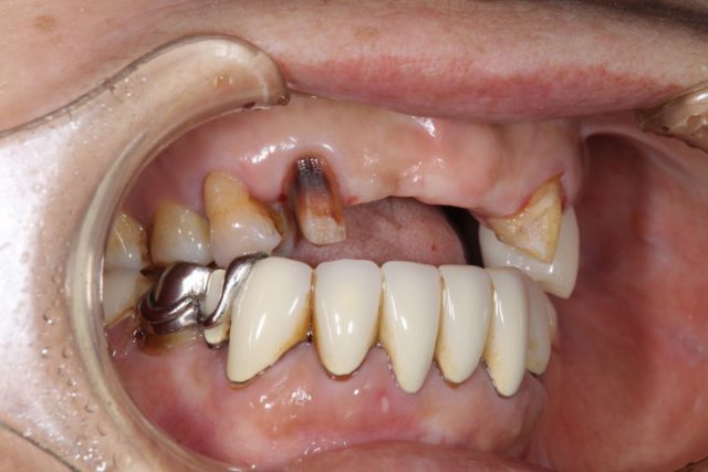
施術前
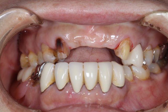
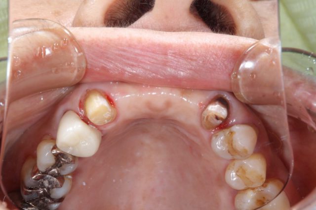
施術中
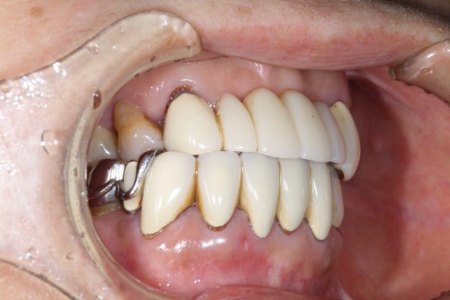
施術後
今回は比較的早い段階でのむし歯治療だったのですが、このような状態を放っておくとさらにむし歯が進行してしまいさらにはその歯まで欠損してしまうこともあります。歯が痛んだり少しでも違和感を感じられたらすぐに診察されることをおすすめ致します。
これはむし歯に限ったことではありませんが、歯はもちろんお体も「あれ?おかしいな、いつもとなんか違う・・・」など感じられたら迷わず診察を受けるようにしましょう!早期治療なら負担も痛みも少なく回復することができるのですから。
■治療内容
歯の詰め物や被せ物をセラミックなどの白い素材で治療します。
■費用(自費)
インレー:1 本あたり 55,000円~66,000円(税込)
クラウン:1 本あたり 44,000円~143,000万円(税込)
ラミネートべニア:1 本あたり 55,000円~(税込)
■治療期間及び回数
症状によりますが、処置自体は通院1~2 回で完了します。
■副作用・リスク
・銀歯に比べて厚みがあるため、歯を削る量が若干多くなります。
・歯ぎしりなどにより稀に破損する場合があります。










