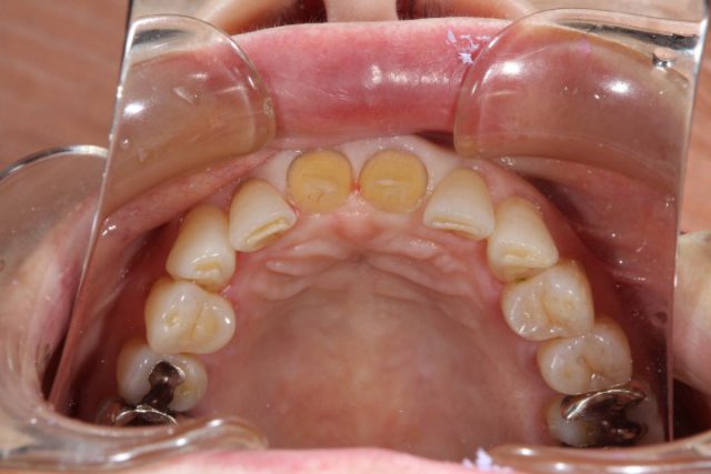
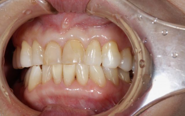
施術前
施術中
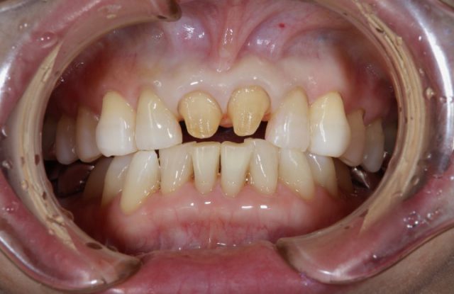
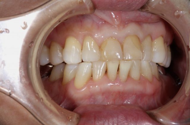
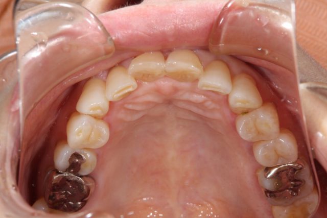
施術後
前歯の被せ物の取り替える場合はまわりの歯との色味をどこまで自然に合わせてくるかが重要になります。せっかく被せ物をやり直すからできるだけ白いものと思ってしまいそうですが、まわりの歯と色味が合わないと白くても違和感が出てきてしまいます。
術後の画像を見ていただいても分かりますようにまわりの歯と比べてもとても自然に仕上がります。おそらく近くでじっと見られても被せものであるとは分からないほど自然です。患者さまご本人も被せ物の仕上がりにとても喜んでおられました。
差し歯の変色や被せ物の不調などでお悩みの方は是非お気軽にご相談ください。
■治療内容
歯の詰め物や被せ物をセラミックなどの白い素材で治療します。
■費用(自費)
インレー:1 本あたり 55,000円~66,000円(税込)
クラウン:1 本あたり 44,000円~143,000万円(税込)
ラミネートべニア:1 本あたり 55,000円~(税込)
■治療期間及び回数
症状によりますが、処置自体は通院1~2 回で完了します。
■副作用・リスク
・銀歯に比べて厚みがあるため、歯を削る量が若干多くなります。
・歯ぎしりなどにより稀に破損する場合があります。













