施術例
隙間ができてきた被せ物をオールセラミックによりやり直した術例
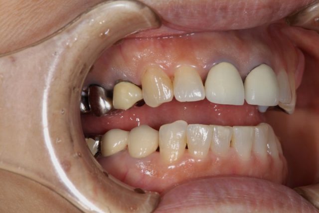
施術前
過去に歯が折れてしまい被せ物をされていたのですが、歯と歯の間に隙間ができてしまい年々空いてくるという状態でした。また、周りの歯とも色が合っていないのが気になっておられたことから今回オールセラミックによる施術されることになりました。
術前の画像から上前歯2本に隙間ができていることがわかります。また、被せ物の付け根も黒ずんでいるのが分かります。
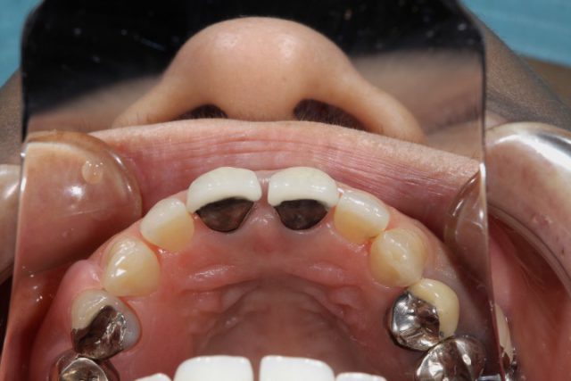
施術中
術中の様子です。被せ物をはずししっかりと土台を形成しなおしていきます。
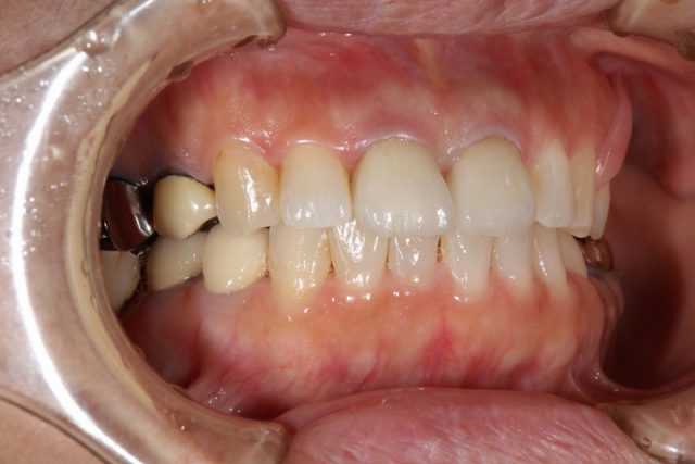
施術後
術後の画像です。前歯の隙間もしっかりと無くなり解消されています。周りの歯との色も自然です。被せ物の付け根はどうですか?被せ物だとはほとんど分からなくなっています。歯の裏面もオールセラミックによる施術では白くなりますのでほとんど被せ物だということは分からなくなります。
見た目も非常に美しくなり、食事後の歯のつまりもほとんど気にならなくなったと非常に喜んでおられました。
このように差し歯が年々合わなくなってきた、歯の変色が気になる、差し歯の付け根が黒くなってきたなどでお悩みの方は是非お気軽に岡田歯科医院へお問い合わせください。費用面や仕上がりなどしっかり丁寧にご説明させていただきます!
治療内容
歯の詰め物や被せ物をセラミックなどの白い素材で治療します。
費用(自費)
- インレー:1 本あたり 55,000円~66,000円(税込)
- クラウン:1 本あたり 44,000円~143,000万円(税込)
- ラミネートべニア:1 本あたり 55,000円~(税込)
治療期間及び回数
症状によりますが、処置自体は通院1~2 回で完了します。
副作用・リスク
- 銀歯に比べて厚みがあるため、歯を削る量が若干多くなります。
- 歯ぎしりなどにより稀に破損する場合があります。


