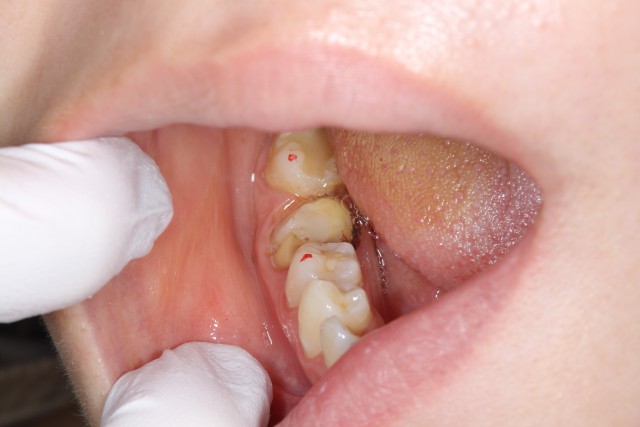
施術前
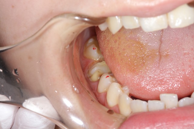
施術中
施術後
笑うと銀歯が見えて少し気になっているという方は多いのではないのでしょうか。ただ、多くの方は何度も歯医者に通うのは面倒だし、なんだか歯を交換するなんておおごとだしと感じられています。
実は3回の通院程度で変えられるということをご存知ですか。今回の施術でも3回の通院だけで完了しているんですよ。以下に簡単に説明をしますね。
初回ご来院時に口腔内のお悩みをヒアリングし、仮の歯を作るための型を取ります。
2回目のご来院時に新しい歯を被せる土台を形成し、歯の型を取ります。次回までは初回に作っておいた仮歯をつけて帰っていただきます。
3回目のご来院でしっかりと作りこんだ歯をはめ込み施術完了となります。
どうでしょうか。意外と短いと感じられたのではないでしょうか。もし同じように銀歯の目立ちが気になる方や、接続部の黒ずみが気になるという方はお気軽にご相談ください。
■治療内容
歯の詰め物や被せ物をセラミックなどの白い素材で治療します。
■費用(自費)
インレー:1 本あたり 55,000円~66,000円(税込)
クラウン:1 本あたり 44,000円~143,000万円(税込)
ラミネートべニア:1 本あたり 55,000円~(税込)
■治療期間及び回数
症状によりますが、処置自体は通院1~2 回で完了します。
■副作用・リスク
・銀歯に比べて厚みがあるため、歯を削る量が若干多くなります。
・歯ぎしりなどにより稀に破損する場合があります。






