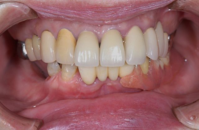
施術前
保険適応の差し歯は黄ばみや色の変化が早く目立ってしまいます。今回の患者様も笑うと右前歯横の差し歯の黄ばみが気になり笑うことに抵抗があるとお悩みになっておられ、ご相談に来られました。前歯で強度も必要となるために今回メダルボンドによる施術を行うことになりました。
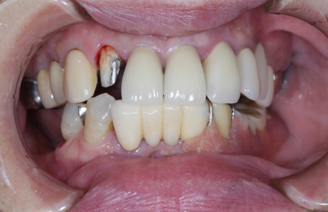
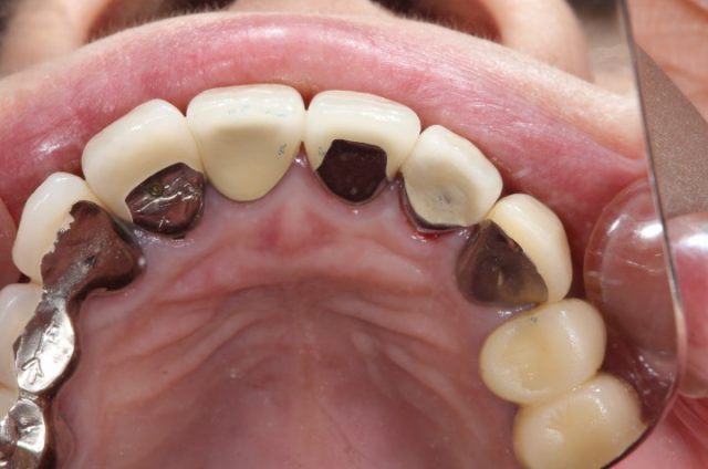
施術中
古くなった差し歯をはずし再度土台を形成していきます。この状態で仮の歯を作り本番の歯が出来るまではこの仮歯で過ごしていただきます。
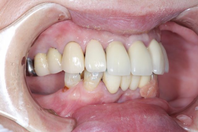
施術後
1週間から2週間で本番の歯が完成します。装着して施術終了となります。まわりの歯との色も違和感ほとんどなく、「これで口をあけるのが怖くないね!」と非常に喜んでおられました。
色の変色が目立ってきたり、かみ合わせが悪いなどでお悩みの方はどうぞお気軽にご相談ください。
■治療内容
歯の詰め物や被せ物をセラミックなどの白い素材で治療します。
■費用(自費)
インレー:1 本あたり 55,000円~66,000円(税込)
クラウン:1 本あたり 44,000円~143,000万円(税込)
ラミネートべニア:1 本あたり 55,000円~(税込)
■治療期間及び回数
症状によりますが、処置自体は通院1~2 回で完了します。
■副作用・リスク
・銀歯に比べて厚みがあるため、歯を削る量が若干多くなります。
・歯ぎしりなどにより稀に破損する場合があります。










