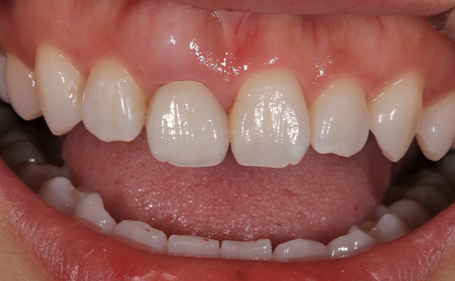
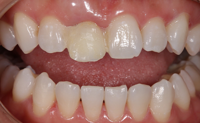
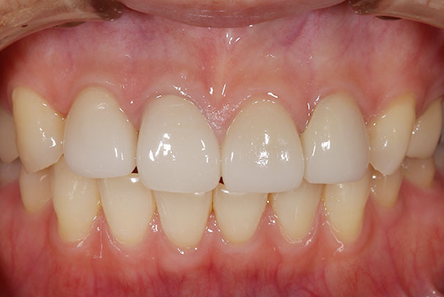
神経をとった前歯が変色してきたのでオールセラミックに変更した術例 施術前 施術後 施術例詳細へ ホワイトニング後に変色が目立ってしまった保険適応の被せものをオールセラミックに変更 施術前 施術後 施術例詳細へ 古くなり汚れが付着したオールセラミックの被せものを新しくした術例 施術前 施術後 施術例詳細へ 自費セラミックの前歯にひびが入ったので新しくやり変えた症例 施術前 施術後 施術例詳細へ 神経が死んでしまって変色した前歯をセラミックに変更した術例 施術前 施術後 施術例詳細へ プラスチックの詰め物の変色が気になり、セラミッククラウンにした症例 施術前 施術後 施術例詳細へ 奥歯4本の銀の被せ物を手前2本をオールセラミッククラウンにした術例 施術前 施術後 施術例詳細へ 黒ずみが気になる1本をセラミッククラウンにより審美回復した症例 施術前 施術後 施術例詳細へ セラミッククラウンによる黒ずみと銀歯を審美回復した症例 施術前 施術後 施術例詳細へ 歯茎根元の黒ずみ改善のためのセラミッククラウンの施術例 施術前 施術後 施術例詳細へ 投稿ナビゲーション 過去の投稿 素材別、部位別審美施術例 素材別 オールセラミック クラウン ジルコニア ブリッジ ホワイトニング メタルフリー メタルボンド 保険適応 部位別 すきっ歯 上前歯 上奥歯 下前歯 下奥歯 中切歯 側切歯 大臼歯 小臼歯 犬歯 当サイトでよく読まれています! 2月休診のお知らせ患者さんからの差し入れ❤️GW休診のお知らせお中元サファリパーク🦁ホワイトエッセンスコンテスト10月休診のお知らせ妊娠中の口腔ケア歯周病治療と一緒に禁煙🚭を!歓迎会 岡田歯科医院TOP クリニック紹介 ドクター&スタッフ紹介 初めてご来院の方へ お急ぎの患者様へ 診療科目 健康通信 スタッフブログ お問い合わせ
ホワイトニング後に変色が目立ってしまった保険適応の被せものをオールセラミックに変更 施術前 施術後 施術例詳細へ 古くなり汚れが付着したオールセラミックの被せものを新しくした術例 施術前 施術後 施術例詳細へ 自費セラミックの前歯にひびが入ったので新しくやり変えた症例 施術前 施術後 施術例詳細へ 神経が死んでしまって変色した前歯をセラミックに変更した術例 施術前 施術後 施術例詳細へ プラスチックの詰め物の変色が気になり、セラミッククラウンにした症例 施術前 施術後 施術例詳細へ 奥歯4本の銀の被せ物を手前2本をオールセラミッククラウンにした術例 施術前 施術後 施術例詳細へ 黒ずみが気になる1本をセラミッククラウンにより審美回復した症例 施術前 施術後 施術例詳細へ セラミッククラウンによる黒ずみと銀歯を審美回復した症例 施術前 施術後 施術例詳細へ 歯茎根元の黒ずみ改善のためのセラミッククラウンの施術例 施術前 施術後 施術例詳細へ 投稿ナビゲーション 過去の投稿 素材別、部位別審美施術例 素材別 オールセラミック クラウン ジルコニア ブリッジ ホワイトニング メタルフリー メタルボンド 保険適応 部位別 すきっ歯 上前歯 上奥歯 下前歯 下奥歯 中切歯 側切歯 大臼歯 小臼歯 犬歯 当サイトでよく読まれています! 2月休診のお知らせ患者さんからの差し入れ❤️GW休診のお知らせお中元サファリパーク🦁ホワイトエッセンスコンテスト10月休診のお知らせ妊娠中の口腔ケア歯周病治療と一緒に禁煙🚭を!歓迎会 岡田歯科医院TOP クリニック紹介 ドクター&スタッフ紹介 初めてご来院の方へ お急ぎの患者様へ 診療科目 健康通信 スタッフブログ お問い合わせ
古くなり汚れが付着したオールセラミックの被せものを新しくした術例 施術前 施術後 施術例詳細へ 自費セラミックの前歯にひびが入ったので新しくやり変えた症例 施術前 施術後 施術例詳細へ 神経が死んでしまって変色した前歯をセラミックに変更した術例 施術前 施術後 施術例詳細へ プラスチックの詰め物の変色が気になり、セラミッククラウンにした症例 施術前 施術後 施術例詳細へ 奥歯4本の銀の被せ物を手前2本をオールセラミッククラウンにした術例 施術前 施術後 施術例詳細へ 黒ずみが気になる1本をセラミッククラウンにより審美回復した症例 施術前 施術後 施術例詳細へ セラミッククラウンによる黒ずみと銀歯を審美回復した症例 施術前 施術後 施術例詳細へ 歯茎根元の黒ずみ改善のためのセラミッククラウンの施術例 施術前 施術後 施術例詳細へ 投稿ナビゲーション 過去の投稿 素材別、部位別審美施術例 素材別 オールセラミック クラウン ジルコニア ブリッジ ホワイトニング メタルフリー メタルボンド 保険適応 部位別 すきっ歯 上前歯 上奥歯 下前歯 下奥歯 中切歯 側切歯 大臼歯 小臼歯 犬歯 当サイトでよく読まれています! 2月休診のお知らせ患者さんからの差し入れ❤️GW休診のお知らせお中元サファリパーク🦁ホワイトエッセンスコンテスト10月休診のお知らせ妊娠中の口腔ケア歯周病治療と一緒に禁煙🚭を!歓迎会 岡田歯科医院TOP クリニック紹介 ドクター&スタッフ紹介 初めてご来院の方へ お急ぎの患者様へ 診療科目 健康通信 スタッフブログ お問い合わせ
自費セラミックの前歯にひびが入ったので新しくやり変えた症例 施術前 施術後 施術例詳細へ 神経が死んでしまって変色した前歯をセラミックに変更した術例 施術前 施術後 施術例詳細へ プラスチックの詰め物の変色が気になり、セラミッククラウンにした症例 施術前 施術後 施術例詳細へ 奥歯4本の銀の被せ物を手前2本をオールセラミッククラウンにした術例 施術前 施術後 施術例詳細へ 黒ずみが気になる1本をセラミッククラウンにより審美回復した症例 施術前 施術後 施術例詳細へ セラミッククラウンによる黒ずみと銀歯を審美回復した症例 施術前 施術後 施術例詳細へ 歯茎根元の黒ずみ改善のためのセラミッククラウンの施術例 施術前 施術後 施術例詳細へ 投稿ナビゲーション 過去の投稿 素材別、部位別審美施術例 素材別 オールセラミック クラウン ジルコニア ブリッジ ホワイトニング メタルフリー メタルボンド 保険適応 部位別 すきっ歯 上前歯 上奥歯 下前歯 下奥歯 中切歯 側切歯 大臼歯 小臼歯 犬歯 当サイトでよく読まれています! 2月休診のお知らせ患者さんからの差し入れ❤️GW休診のお知らせお中元サファリパーク🦁ホワイトエッセンスコンテスト10月休診のお知らせ妊娠中の口腔ケア歯周病治療と一緒に禁煙🚭を!歓迎会 岡田歯科医院TOP クリニック紹介 ドクター&スタッフ紹介 初めてご来院の方へ お急ぎの患者様へ 診療科目 健康通信 スタッフブログ お問い合わせ
神経が死んでしまって変色した前歯をセラミックに変更した術例 施術前 施術後 施術例詳細へ プラスチックの詰め物の変色が気になり、セラミッククラウンにした症例 施術前 施術後 施術例詳細へ 奥歯4本の銀の被せ物を手前2本をオールセラミッククラウンにした術例 施術前 施術後 施術例詳細へ 黒ずみが気になる1本をセラミッククラウンにより審美回復した症例 施術前 施術後 施術例詳細へ セラミッククラウンによる黒ずみと銀歯を審美回復した症例 施術前 施術後 施術例詳細へ 歯茎根元の黒ずみ改善のためのセラミッククラウンの施術例 施術前 施術後 施術例詳細へ 投稿ナビゲーション 過去の投稿 素材別、部位別審美施術例 素材別 オールセラミック クラウン ジルコニア ブリッジ ホワイトニング メタルフリー メタルボンド 保険適応 部位別 すきっ歯 上前歯 上奥歯 下前歯 下奥歯 中切歯 側切歯 大臼歯 小臼歯 犬歯 当サイトでよく読まれています! 2月休診のお知らせ患者さんからの差し入れ❤️GW休診のお知らせお中元サファリパーク🦁ホワイトエッセンスコンテスト10月休診のお知らせ妊娠中の口腔ケア歯周病治療と一緒に禁煙🚭を!歓迎会 岡田歯科医院TOP クリニック紹介 ドクター&スタッフ紹介 初めてご来院の方へ お急ぎの患者様へ 診療科目 健康通信 スタッフブログ お問い合わせ
プラスチックの詰め物の変色が気になり、セラミッククラウンにした症例 施術前 施術後 施術例詳細へ 奥歯4本の銀の被せ物を手前2本をオールセラミッククラウンにした術例 施術前 施術後 施術例詳細へ 黒ずみが気になる1本をセラミッククラウンにより審美回復した症例 施術前 施術後 施術例詳細へ セラミッククラウンによる黒ずみと銀歯を審美回復した症例 施術前 施術後 施術例詳細へ 歯茎根元の黒ずみ改善のためのセラミッククラウンの施術例 施術前 施術後 施術例詳細へ 投稿ナビゲーション 過去の投稿 素材別、部位別審美施術例 素材別 オールセラミック クラウン ジルコニア ブリッジ ホワイトニング メタルフリー メタルボンド 保険適応 部位別 すきっ歯 上前歯 上奥歯 下前歯 下奥歯 中切歯 側切歯 大臼歯 小臼歯 犬歯 当サイトでよく読まれています! 2月休診のお知らせ患者さんからの差し入れ❤️GW休診のお知らせお中元サファリパーク🦁ホワイトエッセンスコンテスト10月休診のお知らせ妊娠中の口腔ケア歯周病治療と一緒に禁煙🚭を!歓迎会 岡田歯科医院TOP クリニック紹介 ドクター&スタッフ紹介 初めてご来院の方へ お急ぎの患者様へ 診療科目 健康通信 スタッフブログ お問い合わせ
奥歯4本の銀の被せ物を手前2本をオールセラミッククラウンにした術例 施術前 施術後 施術例詳細へ 黒ずみが気になる1本をセラミッククラウンにより審美回復した症例 施術前 施術後 施術例詳細へ セラミッククラウンによる黒ずみと銀歯を審美回復した症例 施術前 施術後 施術例詳細へ 歯茎根元の黒ずみ改善のためのセラミッククラウンの施術例 施術前 施術後 施術例詳細へ 投稿ナビゲーション 過去の投稿 素材別、部位別審美施術例 素材別 オールセラミック クラウン ジルコニア ブリッジ ホワイトニング メタルフリー メタルボンド 保険適応 部位別 すきっ歯 上前歯 上奥歯 下前歯 下奥歯 中切歯 側切歯 大臼歯 小臼歯 犬歯 当サイトでよく読まれています! 2月休診のお知らせ患者さんからの差し入れ❤️GW休診のお知らせお中元サファリパーク🦁ホワイトエッセンスコンテスト10月休診のお知らせ妊娠中の口腔ケア歯周病治療と一緒に禁煙🚭を!歓迎会 岡田歯科医院TOP クリニック紹介 ドクター&スタッフ紹介 初めてご来院の方へ お急ぎの患者様へ 診療科目 健康通信 スタッフブログ お問い合わせ
黒ずみが気になる1本をセラミッククラウンにより審美回復した症例 施術前 施術後 施術例詳細へ セラミッククラウンによる黒ずみと銀歯を審美回復した症例 施術前 施術後 施術例詳細へ 歯茎根元の黒ずみ改善のためのセラミッククラウンの施術例 施術前 施術後 施術例詳細へ 投稿ナビゲーション 過去の投稿 素材別、部位別審美施術例 素材別 オールセラミック クラウン ジルコニア ブリッジ ホワイトニング メタルフリー メタルボンド 保険適応 部位別 すきっ歯 上前歯 上奥歯 下前歯 下奥歯 中切歯 側切歯 大臼歯 小臼歯 犬歯 当サイトでよく読まれています! 2月休診のお知らせ患者さんからの差し入れ❤️GW休診のお知らせお中元サファリパーク🦁ホワイトエッセンスコンテスト10月休診のお知らせ妊娠中の口腔ケア歯周病治療と一緒に禁煙🚭を!歓迎会 岡田歯科医院TOP クリニック紹介 ドクター&スタッフ紹介 初めてご来院の方へ お急ぎの患者様へ 診療科目 健康通信 スタッフブログ お問い合わせ
セラミッククラウンによる黒ずみと銀歯を審美回復した症例 施術前 施術後 施術例詳細へ 歯茎根元の黒ずみ改善のためのセラミッククラウンの施術例 施術前 施術後 施術例詳細へ 投稿ナビゲーション 過去の投稿 素材別、部位別審美施術例 素材別 オールセラミック クラウン ジルコニア ブリッジ ホワイトニング メタルフリー メタルボンド 保険適応 部位別 すきっ歯 上前歯 上奥歯 下前歯 下奥歯 中切歯 側切歯 大臼歯 小臼歯 犬歯
歯茎根元の黒ずみ改善のためのセラミッククラウンの施術例 施術前 施術後 施術例詳細へ 投稿ナビゲーション 過去の投稿 素材別、部位別審美施術例 素材別 オールセラミック クラウン ジルコニア ブリッジ ホワイトニング メタルフリー メタルボンド 保険適応 部位別 すきっ歯 上前歯 上奥歯 下前歯 下奥歯 中切歯 側切歯 大臼歯 小臼歯 犬歯