施術前
2、3番目の前歯の変色が気になり、色もバラバラなことが気になっておられました。また前歯にむし歯があり部分的に詰め物をされておられましたが、何度も詰め替えなければいけないのでこの際オールセラミックによるクラウンに変更することになりました。
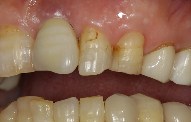
施術中
術中です。神経をとっていないので既存の歯を削り土台を形成してきます。
施術後
術後です。オールセラミックは自然な色味を出せるのが特徴です。とても白くもできますが、やはりまわりの色味としっかりと自然に見えるように調整することが必要です。まわりの歯とも違和感なくなじんていることがわかります。
オールセラミックは1本10万円(税別)です。
■治療内容
歯の詰め物や被せ物をセラミックなどの白い素材で治療します。
■費用(自費)
インレー:1 本あたり 55,000円~66,000円(税込)
クラウン:1 本あたり 44,000円~143,000万円(税込)
ラミネートべニア:1 本あたり 55,000円~(税込)
■治療期間及び回数
症状によりますが、処置自体は通院1~2 回で完了します。
■副作用・リスク
・銀歯に比べて厚みがあるため、歯を削る量が若干多くなります。
・歯ぎしりなどにより稀に破損する場合があります。







