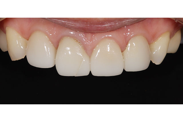
施術前
もともと自費によるオールセラミックの前歯を入れておられてましたが、ひびが入ってしまったことで今回来院されました。今回も他の歯とも色味も合わせやすく自然な白さのオールセラミッククラウンの施術となりました。
写真でもわかるように前歯にひびが入っているのが分かります。突然の衝撃や固いものが当たったり、噛んだりすることにより、このように前歯にひびが入ったり折れてしまうという事がまれにあります。
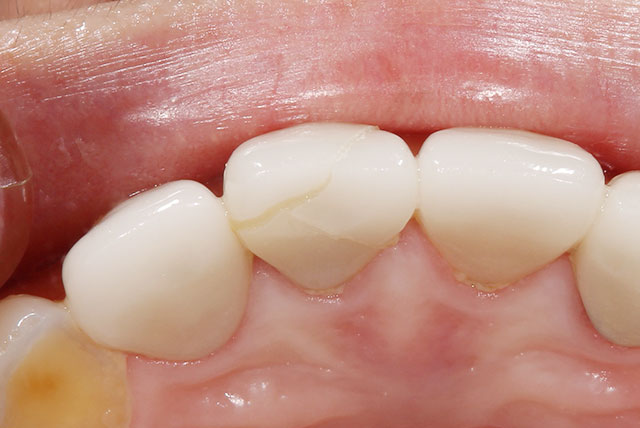
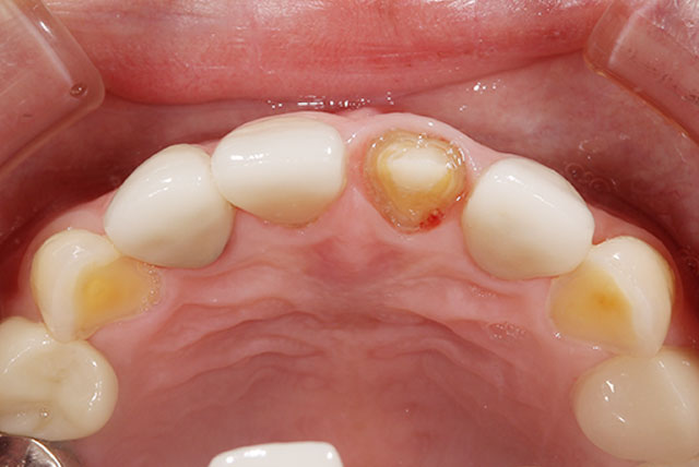
施術中
術中です。このように土台があればきれいな白い歯を入れることができます。
今回の歯型に合わせ土台を再形成していきます。
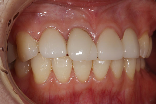
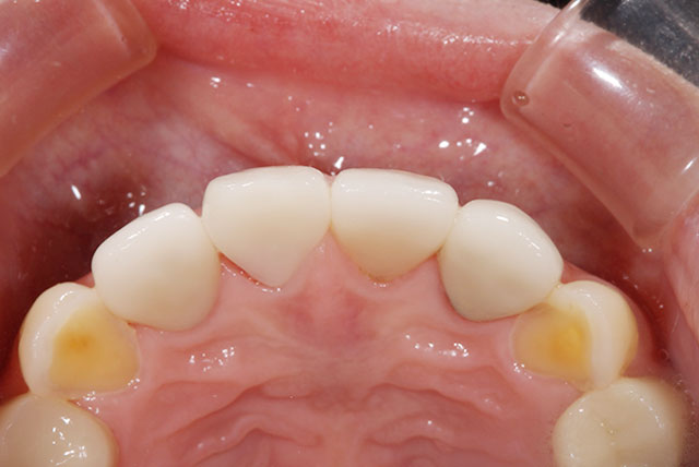
施術後
術後です。周りの色ともしっかりとなじみ違和感はほとんどありません。歯型や歯ぐきに合わせ再形成しているので歯ぐきと歯の黒ずみなども見えなくなります。
費用は1本10万円となります。前歯だけに目立つので困っておられた患者さんですが、仕上がりに非常に満足していただきました。
前歯にひびが入ってしまった、折れてしまったなどのトラブルの際には是非ご相談ください。
■治療内容
歯の詰め物や被せ物をセラミックなどの白い素材で治療します。
■費用(自費)
インレー:1 本あたり 55,000円~66,000円(税込)
クラウン:1 本あたり 44,000円~143,000万円(税込)
ラミネートべニア:1 本あたり 55,000円~(税込)
■治療期間及び回数
症状によりますが、処置自体は通院1~2 回で完了します。
■副作用・リスク
・銀歯に比べて厚みがあるため、歯を削る量が若干多くなります。
・歯ぎしりなどにより稀に破損する場合があります。











