施術例
セラミッククラウンによる黒ずみと銀歯を審美回復した症例
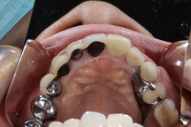
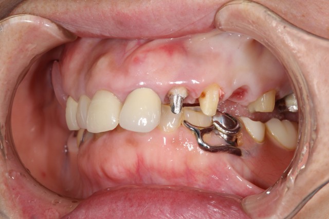
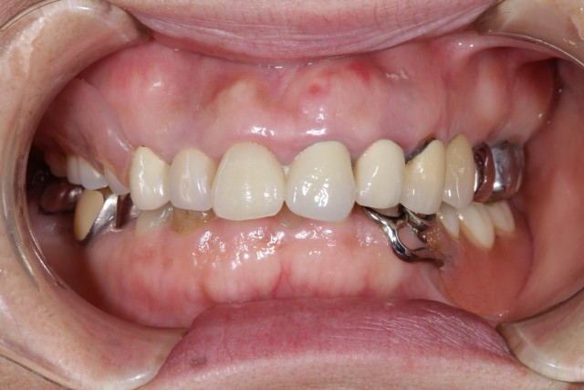
施術前
以前に保険内の審美回復を行っておられたのですが、年がたつにつれ歯茎が下がってしまい黒ずみも気になりだしたということでセラミックによる審美回復を行いました。黒ずみが目立つのは1本でしたが、奥歯の銀歯も目立つのでそれらの歯も利用しセラミッククラウンによる審美回復を施術いたしました。
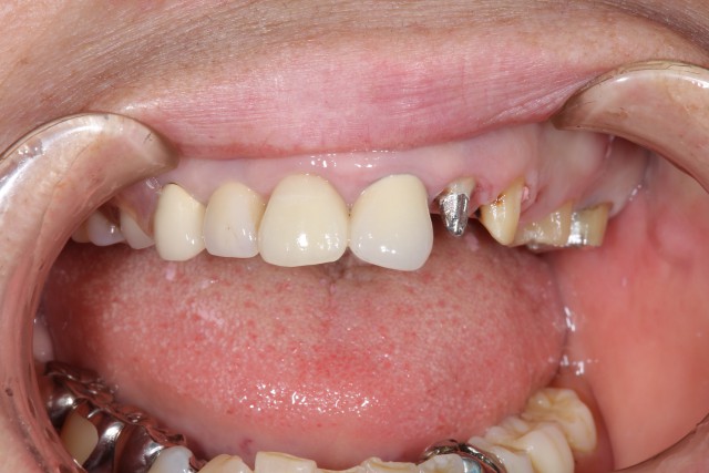
施術中
既存の歯を削りセラミックブリッジがしっかりとかぶさるように形成していきます。このように歯根がある場合には被せる土台を作ることができるの複数の歯を一気にキレイに審美回復することができます。
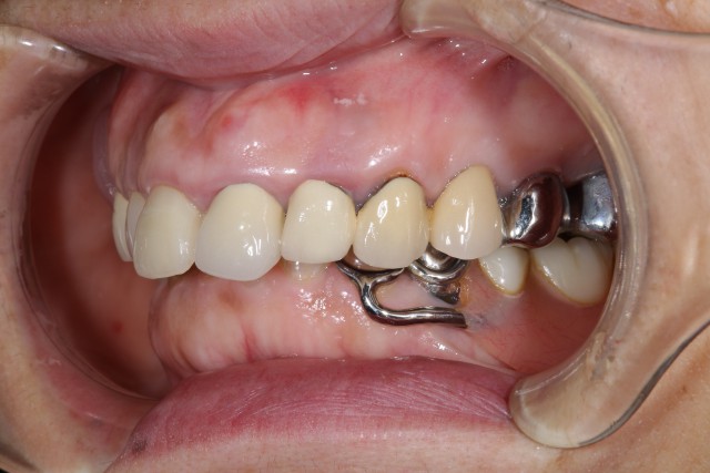
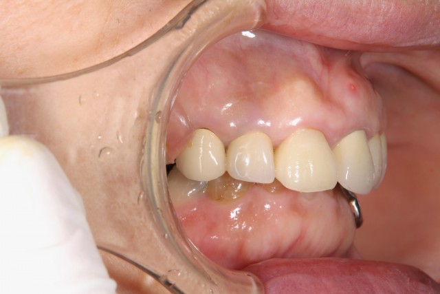
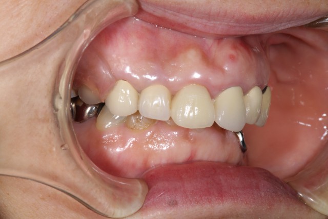
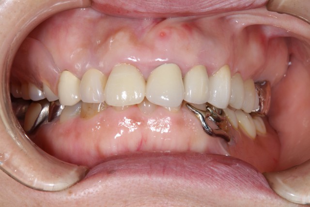
施術後
施術後にはこのように一気に被せたとは思えないほどキレイに回復することができます。セラミックによる審美回復はまわりの歯との色も合わせやすく、キレイに仕上げることが可能です。気になっておられた黒ずみも目立たなくなり、奥歯にあった銀歯も目だたたくなったと喜んでおられました。
術例のようにまわりの歯に合わせて審美回復することで今まで気にされていた歯のコンプレックスを解消することができますよ。口を開いたときに見えてしまう黒ずみや以前に回復した歯の銀歯や詰め物を気にされている方は是非お気軽にご相談ください。
治療内容
歯の詰め物や被せ物をセラミックなどの白い素材で治療します。
費用(自費)
- インレー:1 本あたり 55,000円~66,000円(税込)
- クラウン:1 本あたり 44,000円~143,000万円(税込)
- ラミネートべニア:1 本あたり 55,000円~(税込)
治療期間及び回数
症状によりますが、処置自体は通院1~2 回で完了します。
副作用・リスク
- 銀歯に比べて厚みがあるため、歯を削る量が若干多くなります。
- 歯ぎしりなどにより稀に破損する場合があります。


