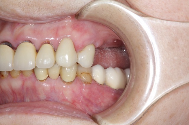
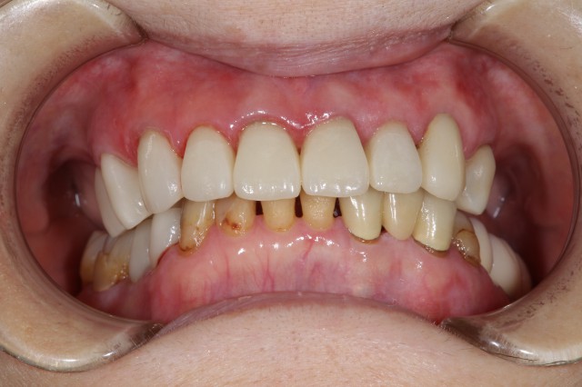
施術前
以前に入れたかぶせ物の根元が歯茎の形状の変化により黒ずみになってしまい、ものを食べたり、笑ったりして口を大きくあける際にその根元の黒ずみをとても気にされていました。そこで今回気になる黒ずみが目立つ前歯5本をセラミッククラウンによる審美回復をしました。
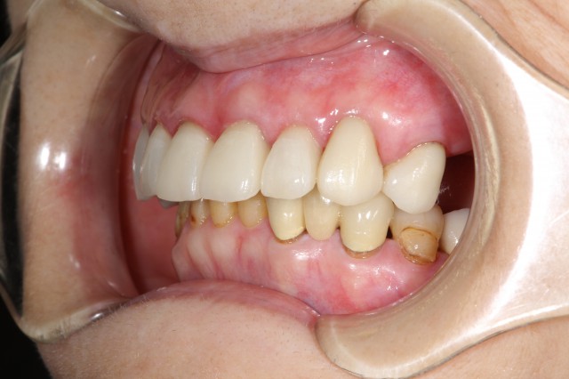
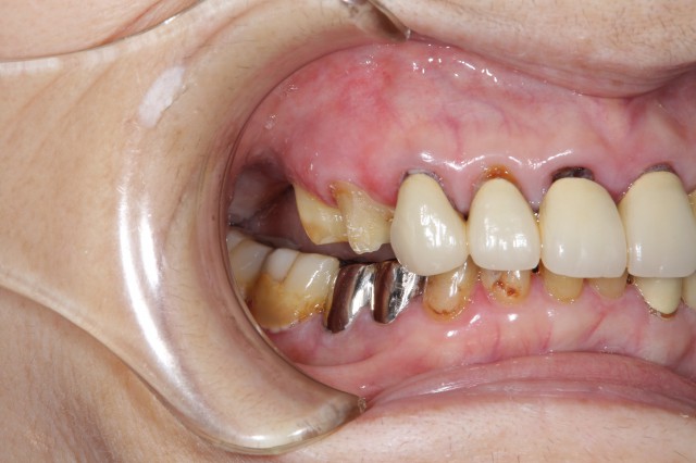
施術中
セラミッククラウンでの審美回復はまずこのように義歯をかぶせるための土台を形成していきます。そしてこの土台と現在の歯茎の状態、隣接する歯の色に合わせてしっかりとフィットする歯を作っていきます。
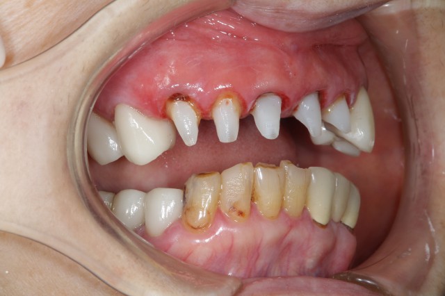
施術後
前歯5本がセラミッククラウンによりはめ込まれた状態です。歯茎根元の黒ずみは解消されまわりの歯との色も自然な仕上がりになりました。この黒ずみがなくなったことで大きく口をあけるのに抵抗がなくなったと非常に喜んでおられました。
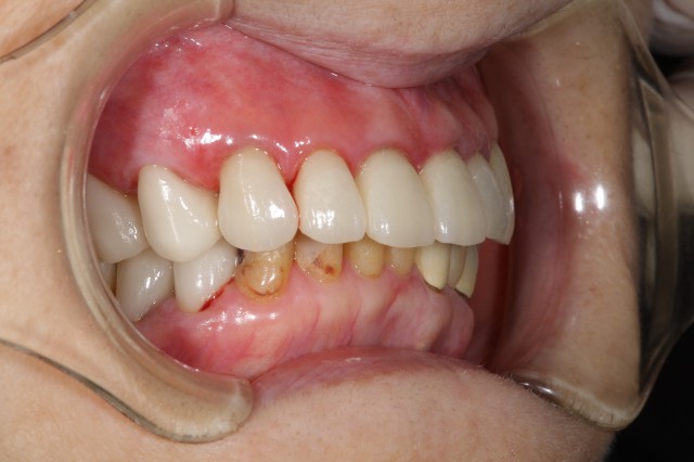
この患者様は前歯5本が美しくなったことで下の歯も審美回復したくなったそうで数ヵ月後に下歯も審美回復することになりました。その術例は次回にご紹介させていただきます。
■治療内容
歯の詰め物や被せ物をセラミックなどの白い素材で治療します。
■費用(自費)
インレー:1 本あたり 55,000円~66,000円(税込)
クラウン:1 本あたり 44,000円~143,000万円(税込)
ラミネートべニア:1 本あたり 55,000円~(税込)
■治療期間及び回数
症状によりますが、処置自体は通院1~2 回で完了します。
■副作用・リスク
・銀歯に比べて厚みがあるため、歯を削る量が若干多くなります。
・歯ぎしりなどにより稀に破損する場合があります。













