施術例
奥歯4本の銀の被せ物を手前2本をオールセラミッククラウンにした術例
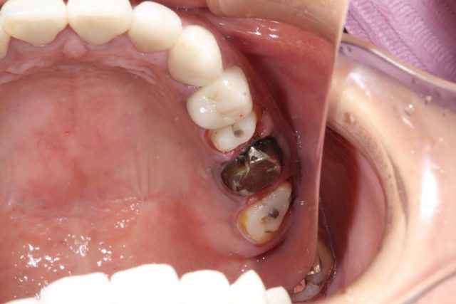
施術前
奥歯4本が銀の詰め物になっていて、手前の銀歯が少し目立ってしまうというお悩みを持っておられましたので、今回手前の2本をオールセラミックに変更し奥2本を新しい銀の被せ物に変更しました。
施術中
既存の詰め物をはずし新しく被せ物をする土台を形成していきます。今回は奥歯2本の銀歯用と、奥歯手前2本オールセラミック用の土台を形成しています。
施術後
奥歯2本は以前のように銀歯ですが、手前の2本をオールセラミックにする事で銀歯が目立たなくなります。また、オールセラミックは自費治療となりますので、4本をオールセラミックにするより費用を抑えながら治療することが可能です。このように銀歯が目立って気になるという方や、気になるけれど予算がとお悩みの方は是非お気軽にご相談ください。見た目や予算なども考慮し最適なプランをご提案させていただきます。
治療内容
歯の詰め物や被せ物をセラミックなどの白い素材で治療します。
費用(自費)
- インレー:1 本あたり 55,000円~66,000円(税込)
- クラウン:1 本あたり 44,000円~143,000万円(税込)
- ラミネートべニア:1 本あたり 55,000円~(税込)
治療期間及び回数
症状によりますが、処置自体は通院1~2 回で完了します。
副作用・リスク
- 銀歯に比べて厚みがあるため、歯を削る量が若干多くなります。
- 歯ぎしりなどにより稀に破損する場合があります。


