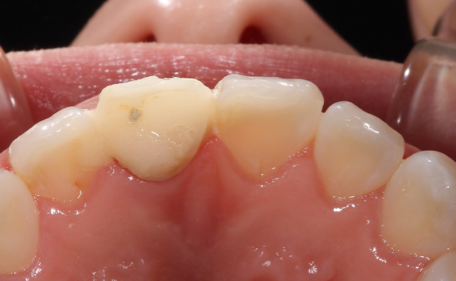
施術前
古くなり汚れが付着したオールセラミックの被せものを新しくした術例
施術中
オールセラミックを被せる土台も再度形成していきます。
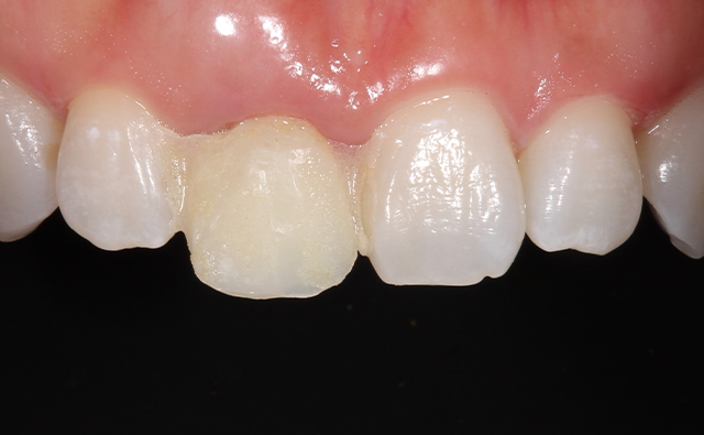
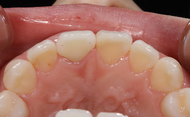
施術後
術後です。気にされていた両サイドに付着した汚れがなくなり、思いっきり口をあけて笑えると、とても喜んでおられました。歯に自信がないと大きな口をあけることに消極的になってしまう方も少なくありません。今回の患者さんのように歯の印象により自分の大きな自信につながることもあります。もしお口の印象でお悩みの方がおられましたら是非お気軽にご相談いただければと思います。
■治療内容
歯の詰め物や被せ物をセラミックなどの白い素材で治療します。
■費用(自費)
インレー:1 本あたり 55,000円~66,000円(税込)
クラウン:1 本あたり 44,000円~143,000万円(税込)
ラミネートべニア:1 本あたり 55,000円~(税込)
■治療期間及び回数
症状によりますが、処置自体は通院1~2 回で完了します。
■副作用・リスク
・銀歯に比べて厚みがあるため、歯を削る量が若干多くなります。
・歯ぎしりなどにより稀に破損する場合があります。










