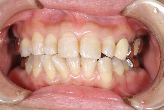
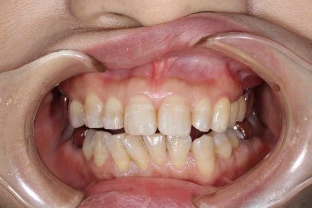
欠損した前歯をジルコニアによるブリッジによる回復術例 施術前 施術後 施術例詳細へ 歯茎の下がりにより目立ってきた被せ物をメタルボンドブリッジにより回復した術例 施術前 施術後 施術例詳細へ メタルボンドブリッジにより欠損した歯を補う術例 施術前 施術後 施術例詳細へ 歯と歯ぐきの間のむし歯を治療し前歯7本を治療した術例 施術前 施術後 施術例詳細へ オールセラミックブリッジによる術例 施術前 施術後 施術例詳細へ 下奥歯の銀の被せ物をセラミックブリッジに審美回復した症例 施術前 施術後 施術例詳細へ 奥歯のブリッジが折れセラミックにより審美回復した症例 施術前 施術後 施術例詳細へ 欠損した歯にジルコニアブリッジを入れた症例(保険外) 施術前 施術後 施術例詳細へ 投稿ナビゲーション 新しい投稿 素材別、部位別審美施術例 素材別 オールセラミック クラウン ジルコニア ブリッジ ホワイトニング メタルフリー メタルボンド 保険適応 部位別 すきっ歯 上前歯 上奥歯 下前歯 下奥歯 中切歯 側切歯 大臼歯 小臼歯 犬歯 当サイトでよく読まれています! 2月休診のお知らせ患者さんからの差し入れ❤️GW休診のお知らせお中元サファリパーク🦁ホワイトエッセンスコンテスト10月休診のお知らせ妊娠中の口腔ケア歯周病治療と一緒に禁煙🚭を!歓迎会 岡田歯科医院TOP クリニック紹介 ドクター&スタッフ紹介 初めてご来院の方へ お急ぎの患者様へ 診療科目 健康通信 スタッフブログ お問い合わせ
歯茎の下がりにより目立ってきた被せ物をメタルボンドブリッジにより回復した術例 施術前 施術後 施術例詳細へ メタルボンドブリッジにより欠損した歯を補う術例 施術前 施術後 施術例詳細へ 歯と歯ぐきの間のむし歯を治療し前歯7本を治療した術例 施術前 施術後 施術例詳細へ オールセラミックブリッジによる術例 施術前 施術後 施術例詳細へ 下奥歯の銀の被せ物をセラミックブリッジに審美回復した症例 施術前 施術後 施術例詳細へ 奥歯のブリッジが折れセラミックにより審美回復した症例 施術前 施術後 施術例詳細へ 欠損した歯にジルコニアブリッジを入れた症例(保険外) 施術前 施術後 施術例詳細へ 投稿ナビゲーション 新しい投稿 素材別、部位別審美施術例 素材別 オールセラミック クラウン ジルコニア ブリッジ ホワイトニング メタルフリー メタルボンド 保険適応 部位別 すきっ歯 上前歯 上奥歯 下前歯 下奥歯 中切歯 側切歯 大臼歯 小臼歯 犬歯 当サイトでよく読まれています! 2月休診のお知らせ患者さんからの差し入れ❤️GW休診のお知らせお中元サファリパーク🦁ホワイトエッセンスコンテスト10月休診のお知らせ妊娠中の口腔ケア歯周病治療と一緒に禁煙🚭を!歓迎会 岡田歯科医院TOP クリニック紹介 ドクター&スタッフ紹介 初めてご来院の方へ お急ぎの患者様へ 診療科目 健康通信 スタッフブログ お問い合わせ
メタルボンドブリッジにより欠損した歯を補う術例 施術前 施術後 施術例詳細へ 歯と歯ぐきの間のむし歯を治療し前歯7本を治療した術例 施術前 施術後 施術例詳細へ オールセラミックブリッジによる術例 施術前 施術後 施術例詳細へ 下奥歯の銀の被せ物をセラミックブリッジに審美回復した症例 施術前 施術後 施術例詳細へ 奥歯のブリッジが折れセラミックにより審美回復した症例 施術前 施術後 施術例詳細へ 欠損した歯にジルコニアブリッジを入れた症例(保険外) 施術前 施術後 施術例詳細へ 投稿ナビゲーション 新しい投稿 素材別、部位別審美施術例 素材別 オールセラミック クラウン ジルコニア ブリッジ ホワイトニング メタルフリー メタルボンド 保険適応 部位別 すきっ歯 上前歯 上奥歯 下前歯 下奥歯 中切歯 側切歯 大臼歯 小臼歯 犬歯 当サイトでよく読まれています! 2月休診のお知らせ患者さんからの差し入れ❤️GW休診のお知らせお中元サファリパーク🦁ホワイトエッセンスコンテスト10月休診のお知らせ妊娠中の口腔ケア歯周病治療と一緒に禁煙🚭を!歓迎会 岡田歯科医院TOP クリニック紹介 ドクター&スタッフ紹介 初めてご来院の方へ お急ぎの患者様へ 診療科目 健康通信 スタッフブログ お問い合わせ
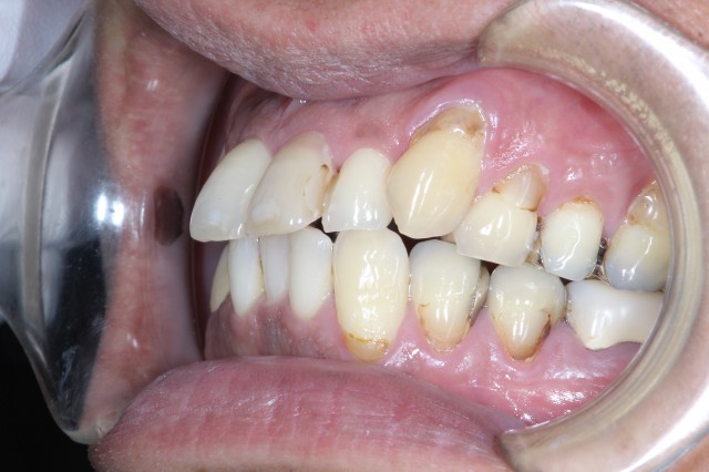
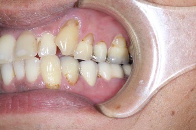
歯と歯ぐきの間のむし歯を治療し前歯7本を治療した術例 施術前 施術後 施術例詳細へ オールセラミックブリッジによる術例 施術前 施術後 施術例詳細へ 下奥歯の銀の被せ物をセラミックブリッジに審美回復した症例 施術前 施術後 施術例詳細へ 奥歯のブリッジが折れセラミックにより審美回復した症例 施術前 施術後 施術例詳細へ 欠損した歯にジルコニアブリッジを入れた症例(保険外) 施術前 施術後 施術例詳細へ 投稿ナビゲーション 新しい投稿 素材別、部位別審美施術例 素材別 オールセラミック クラウン ジルコニア ブリッジ ホワイトニング メタルフリー メタルボンド 保険適応 部位別 すきっ歯 上前歯 上奥歯 下前歯 下奥歯 中切歯 側切歯 大臼歯 小臼歯 犬歯 当サイトでよく読まれています! 2月休診のお知らせ患者さんからの差し入れ❤️GW休診のお知らせお中元サファリパーク🦁ホワイトエッセンスコンテスト10月休診のお知らせ妊娠中の口腔ケア歯周病治療と一緒に禁煙🚭を!歓迎会 岡田歯科医院TOP クリニック紹介 ドクター&スタッフ紹介 初めてご来院の方へ お急ぎの患者様へ 診療科目 健康通信 スタッフブログ お問い合わせ
オールセラミックブリッジによる術例 施術前 施術後 施術例詳細へ 下奥歯の銀の被せ物をセラミックブリッジに審美回復した症例 施術前 施術後 施術例詳細へ 奥歯のブリッジが折れセラミックにより審美回復した症例 施術前 施術後 施術例詳細へ 欠損した歯にジルコニアブリッジを入れた症例(保険外) 施術前 施術後 施術例詳細へ 投稿ナビゲーション 新しい投稿 素材別、部位別審美施術例 素材別 オールセラミック クラウン ジルコニア ブリッジ ホワイトニング メタルフリー メタルボンド 保険適応 部位別 すきっ歯 上前歯 上奥歯 下前歯 下奥歯 中切歯 側切歯 大臼歯 小臼歯 犬歯 当サイトでよく読まれています! 2月休診のお知らせ患者さんからの差し入れ❤️GW休診のお知らせお中元サファリパーク🦁ホワイトエッセンスコンテスト10月休診のお知らせ妊娠中の口腔ケア歯周病治療と一緒に禁煙🚭を!歓迎会 岡田歯科医院TOP クリニック紹介 ドクター&スタッフ紹介 初めてご来院の方へ お急ぎの患者様へ 診療科目 健康通信 スタッフブログ お問い合わせ
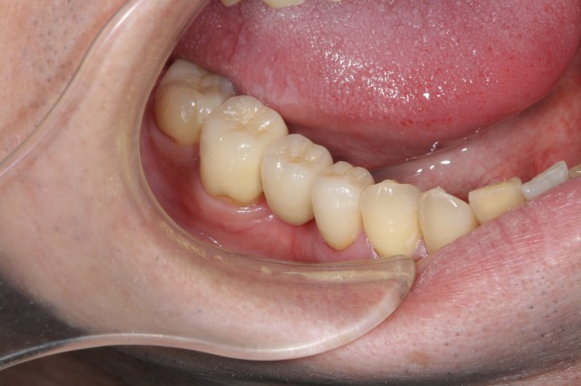
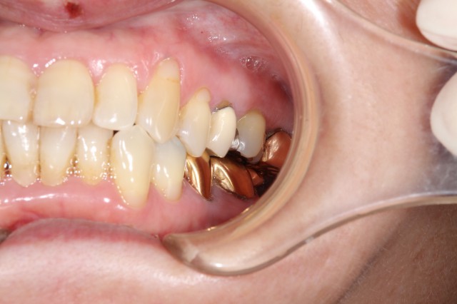
下奥歯の銀の被せ物をセラミックブリッジに審美回復した症例 施術前 施術後 施術例詳細へ 奥歯のブリッジが折れセラミックにより審美回復した症例 施術前 施術後 施術例詳細へ 欠損した歯にジルコニアブリッジを入れた症例(保険外) 施術前 施術後 施術例詳細へ 投稿ナビゲーション 新しい投稿 素材別、部位別審美施術例 素材別 オールセラミック クラウン ジルコニア ブリッジ ホワイトニング メタルフリー メタルボンド 保険適応 部位別 すきっ歯 上前歯 上奥歯 下前歯 下奥歯 中切歯 側切歯 大臼歯 小臼歯 犬歯 当サイトでよく読まれています! 2月休診のお知らせ患者さんからの差し入れ❤️GW休診のお知らせお中元サファリパーク🦁ホワイトエッセンスコンテスト10月休診のお知らせ妊娠中の口腔ケア歯周病治療と一緒に禁煙🚭を!歓迎会 岡田歯科医院TOP クリニック紹介 ドクター&スタッフ紹介 初めてご来院の方へ お急ぎの患者様へ 診療科目 健康通信 スタッフブログ お問い合わせ
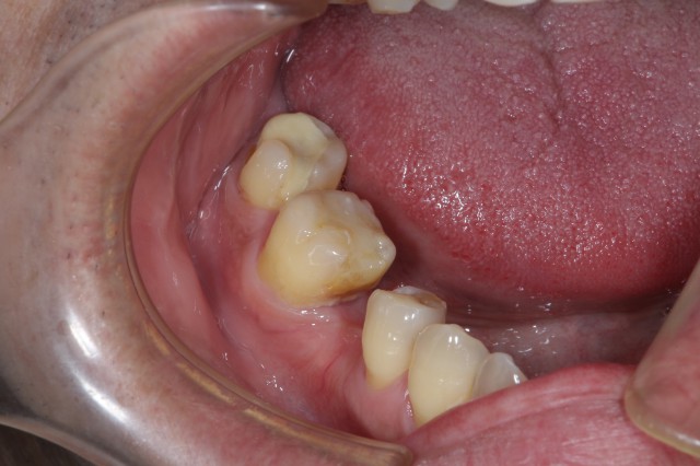
奥歯のブリッジが折れセラミックにより審美回復した症例 施術前 施術後 施術例詳細へ 欠損した歯にジルコニアブリッジを入れた症例(保険外) 施術前 施術後 施術例詳細へ 投稿ナビゲーション 新しい投稿 素材別、部位別審美施術例 素材別 オールセラミック クラウン ジルコニア ブリッジ ホワイトニング メタルフリー メタルボンド 保険適応 部位別 すきっ歯 上前歯 上奥歯 下前歯 下奥歯 中切歯 側切歯 大臼歯 小臼歯 犬歯
欠損した歯にジルコニアブリッジを入れた症例(保険外) 施術前 施術後 施術例詳細へ 投稿ナビゲーション 新しい投稿 素材別、部位別審美施術例 素材別 オールセラミック クラウン ジルコニア ブリッジ ホワイトニング メタルフリー メタルボンド 保険適応 部位別 すきっ歯 上前歯 上奥歯 下前歯 下奥歯 中切歯 側切歯 大臼歯 小臼歯 犬歯