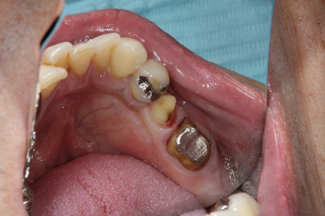
施術前
もともと奥歯につけていたブリッジが折れてしまい物もうまく噛むことが難しい状態になっていました。長年使っておられたせいで変色もしておられました。そこで今回セラミックによりブリッジを作り直し審美回復させていただきました。
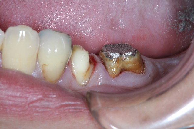
施術中
もとの歯を丁寧に削り土台を形成していきます。
施術後
セラミックによる審美回復は回りのはとの色もキレイにあわすことができるので非常に美しい仕上がりになります。このように奥歯に欠損が出ると物を噛むことができなくなるので非常に体に負担がかかります。もし同じように奥歯に欠損がある方はできるだけ早い治療をおすすめいたします。
■治療内容
歯の詰め物や被せ物をセラミックなどの白い素材で治療します。
■費用(自費)
インレー:1 本あたり 55,000円~66,000円(税込)
クラウン:1 本あたり 44,000円~143,000万円(税込)
ラミネートべニア:1 本あたり 55,000円~(税込)
■治療期間及び回数
症状によりますが、処置自体は通院1~2 回で完了します。
■副作用・リスク
・銀歯に比べて厚みがあるため、歯を削る量が若干多くなります。
・歯ぎしりなどにより稀に破損する場合があります。







