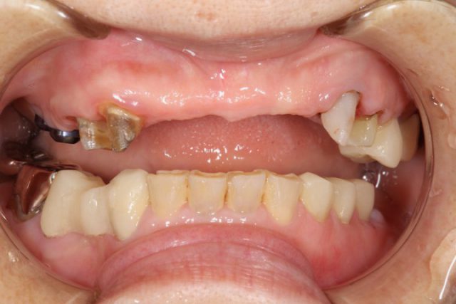
施術前
施術中
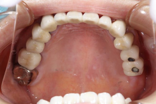
施術後
今回は前歯ということで強度が必要となります。ジルコニアは白いメタルと呼ばれるほど強度があります。強度があるので主に奥歯に使用しますが、今回のように欠損が多くブリッジにより回復する場合などには最適です。審美的にもオールセラミックに劣らずきれいに仕上がります。
このように欠損した歯が多い場合でも非常に美しく強く回復することができます。同じような状態でお悩みの方は是非お気軽にご相談ください。欠損場所や状態により最適な回復をご提案させて頂きます。
■治療内容
歯の詰め物や被せ物をセラミックなどの白い素材で治療します。
■費用(自費)
インレー:1 本あたり 55,000円~66,000円(税込)
クラウン:1 本あたり 44,000円~143,000万円(税込)
ラミネートべニア:1 本あたり 55,000円~(税込)
■治療期間及び回数
症状によりますが、処置自体は通院1~2 回で完了します。
■副作用・リスク
・銀歯に比べて厚みがあるため、歯を削る量が若干多くなります。
・歯ぎしりなどにより稀に破損する場合があります。







