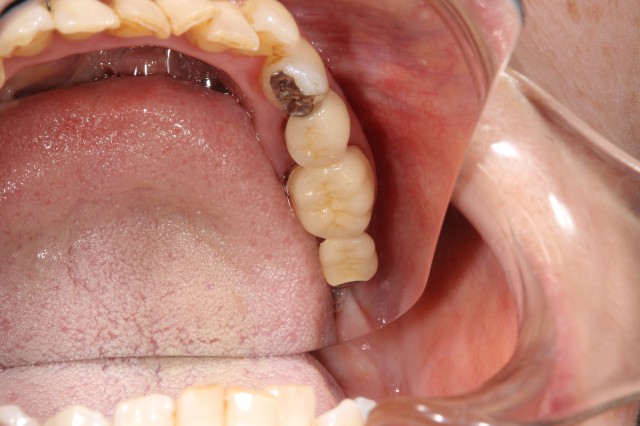
施術前
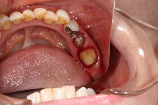
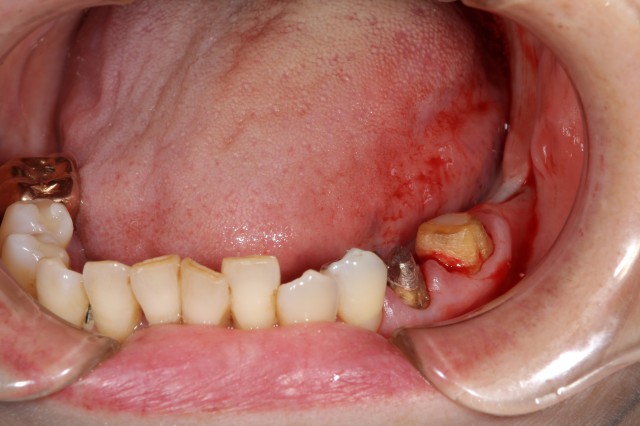
施術中
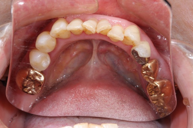
施術後
セラミックによる審美回復の利点は、既存の歯と形や色味を非常に近くあわせられるため仕上がりがとても美しいのが特徴で見た目にはほとんど既存歯と変わらなくなります。今回セラミックによる審美回復された患者様も「これで気にすることなく大きな口をあけられる!」と非常に喜んでおられました。
笑顔は人にとって非常に大切です。うれしい時はもちろん、おいしいものを食べたとき、楽しいとき、幸せなときなど自然と笑顔になるものです。この笑顔が歯によってコンプレックスになるのはもったいないですよね。自信を持って素敵な笑顔になれるように同じようにお悩みを抱えられている方はお気軽に岡田歯科医院までお問い合わせくださいね。
■治療内容
歯の詰め物や被せ物をセラミックなどの白い素材で治療します。
■費用(自費)
インレー:1 本あたり 55,000円~66,000円(税込)
クラウン:1 本あたり 44,000円~143,000万円(税込)
ラミネートべニア:1 本あたり 55,000円~(税込)
■治療期間及び回数
症状によりますが、処置自体は通院1~2 回で完了します。
■副作用・リスク
・銀歯に比べて厚みがあるため、歯を削る量が若干多くなります。
・歯ぎしりなどにより稀に破損する場合があります。







