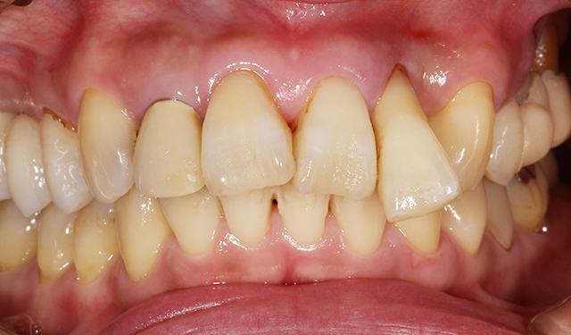
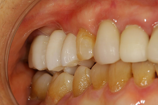
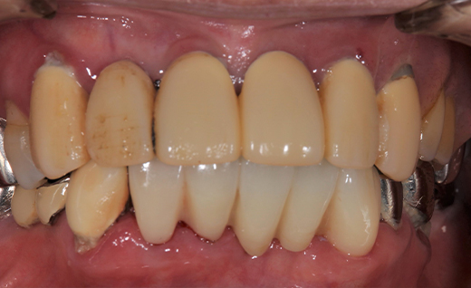
飛び出した前歯横の側切歯(そくせっし)を抜きジルコニアブリッジにした術例 施術前 施術後 施術例詳細へ 保険のブリッジをジルコニアのブリッジに変更した術例 施術前 施術後 施術例詳細へ 歯根が割れて抜歯し、前後の歯でジルコニアでブリッジにした症例 施術前 施術後 施術例詳細へ 前歯下5本をジルコニアのブリッジにした症例 施術前 施術後 施術例詳細へ 保険適応のブリッジをジルコニアのブリッジにした症例 施術前 施術後 施術例詳細へ 歯が抜けた部分をメタルボンド接着性ブリッジで治療した例 施術前 施術後 施術例詳細へ 上奥歯抜歯後の補綴(ほてつ)をジルコニアでブリッジした症例 施術後 施術例詳細へ 右上小臼歯(前歯から数えて4~5番目)の抜歯後補綴(ほてつ)メタルボンドのブリッジした症例 施術前 施術後 施術例詳細へ 抜歯の後にジルコニアでブリッジにした症例 施術前 施術後 施術例詳細へ 右上小臼歯(前歯から数えて4〜5番目)の抜歯後補綴(ほてつ)メタルボンドのブリッジした症例 施術前 施術後 施術例詳細へ 投稿ナビゲーション 過去の投稿 素材別、部位別審美施術例 素材別 オールセラミック クラウン ジルコニア ブリッジ ホワイトニング メタルフリー メタルボンド 保険適応 部位別 すきっ歯 上前歯 上奥歯 下前歯 下奥歯 中切歯 側切歯 大臼歯 小臼歯 犬歯 当サイトでよく読まれています! 妊娠中の虫歯治療年末年始の休診についてサファリパーク🦁歯周病治療と一緒に禁煙🚭を!GW休診のお知らせUSJ クールジャパン!液体歯磨きと洗口液の違いWhiteday✨お口ポカンの影響御歳暮 岡田歯科医院TOP クリニック紹介 ドクター&スタッフ紹介 初めてご来院の方へ お急ぎの患者様へ 診療科目 健康通信 スタッフブログ お問い合わせ
保険のブリッジをジルコニアのブリッジに変更した術例 施術前 施術後 施術例詳細へ 歯根が割れて抜歯し、前後の歯でジルコニアでブリッジにした症例 施術前 施術後 施術例詳細へ 前歯下5本をジルコニアのブリッジにした症例 施術前 施術後 施術例詳細へ 保険適応のブリッジをジルコニアのブリッジにした症例 施術前 施術後 施術例詳細へ 歯が抜けた部分をメタルボンド接着性ブリッジで治療した例 施術前 施術後 施術例詳細へ 上奥歯抜歯後の補綴(ほてつ)をジルコニアでブリッジした症例 施術後 施術例詳細へ 右上小臼歯(前歯から数えて4~5番目)の抜歯後補綴(ほてつ)メタルボンドのブリッジした症例 施術前 施術後 施術例詳細へ 抜歯の後にジルコニアでブリッジにした症例 施術前 施術後 施術例詳細へ 右上小臼歯(前歯から数えて4〜5番目)の抜歯後補綴(ほてつ)メタルボンドのブリッジした症例 施術前 施術後 施術例詳細へ 投稿ナビゲーション 過去の投稿 素材別、部位別審美施術例 素材別 オールセラミック クラウン ジルコニア ブリッジ ホワイトニング メタルフリー メタルボンド 保険適応 部位別 すきっ歯 上前歯 上奥歯 下前歯 下奥歯 中切歯 側切歯 大臼歯 小臼歯 犬歯 当サイトでよく読まれています! 妊娠中の虫歯治療年末年始の休診についてサファリパーク🦁歯周病治療と一緒に禁煙🚭を!GW休診のお知らせUSJ クールジャパン!液体歯磨きと洗口液の違いWhiteday✨お口ポカンの影響御歳暮 岡田歯科医院TOP クリニック紹介 ドクター&スタッフ紹介 初めてご来院の方へ お急ぎの患者様へ 診療科目 健康通信 スタッフブログ お問い合わせ
歯根が割れて抜歯し、前後の歯でジルコニアでブリッジにした症例 施術前 施術後 施術例詳細へ 前歯下5本をジルコニアのブリッジにした症例 施術前 施術後 施術例詳細へ 保険適応のブリッジをジルコニアのブリッジにした症例 施術前 施術後 施術例詳細へ 歯が抜けた部分をメタルボンド接着性ブリッジで治療した例 施術前 施術後 施術例詳細へ 上奥歯抜歯後の補綴(ほてつ)をジルコニアでブリッジした症例 施術後 施術例詳細へ 右上小臼歯(前歯から数えて4~5番目)の抜歯後補綴(ほてつ)メタルボンドのブリッジした症例 施術前 施術後 施術例詳細へ 抜歯の後にジルコニアでブリッジにした症例 施術前 施術後 施術例詳細へ 右上小臼歯(前歯から数えて4〜5番目)の抜歯後補綴(ほてつ)メタルボンドのブリッジした症例 施術前 施術後 施術例詳細へ 投稿ナビゲーション 過去の投稿 素材別、部位別審美施術例 素材別 オールセラミック クラウン ジルコニア ブリッジ ホワイトニング メタルフリー メタルボンド 保険適応 部位別 すきっ歯 上前歯 上奥歯 下前歯 下奥歯 中切歯 側切歯 大臼歯 小臼歯 犬歯 当サイトでよく読まれています! 妊娠中の虫歯治療年末年始の休診についてサファリパーク🦁歯周病治療と一緒に禁煙🚭を!GW休診のお知らせUSJ クールジャパン!液体歯磨きと洗口液の違いWhiteday✨お口ポカンの影響御歳暮 岡田歯科医院TOP クリニック紹介 ドクター&スタッフ紹介 初めてご来院の方へ お急ぎの患者様へ 診療科目 健康通信 スタッフブログ お問い合わせ
前歯下5本をジルコニアのブリッジにした症例 施術前 施術後 施術例詳細へ 保険適応のブリッジをジルコニアのブリッジにした症例 施術前 施術後 施術例詳細へ 歯が抜けた部分をメタルボンド接着性ブリッジで治療した例 施術前 施術後 施術例詳細へ 上奥歯抜歯後の補綴(ほてつ)をジルコニアでブリッジした症例 施術後 施術例詳細へ 右上小臼歯(前歯から数えて4~5番目)の抜歯後補綴(ほてつ)メタルボンドのブリッジした症例 施術前 施術後 施術例詳細へ 抜歯の後にジルコニアでブリッジにした症例 施術前 施術後 施術例詳細へ 右上小臼歯(前歯から数えて4〜5番目)の抜歯後補綴(ほてつ)メタルボンドのブリッジした症例 施術前 施術後 施術例詳細へ 投稿ナビゲーション 過去の投稿 素材別、部位別審美施術例 素材別 オールセラミック クラウン ジルコニア ブリッジ ホワイトニング メタルフリー メタルボンド 保険適応 部位別 すきっ歯 上前歯 上奥歯 下前歯 下奥歯 中切歯 側切歯 大臼歯 小臼歯 犬歯 当サイトでよく読まれています! 妊娠中の虫歯治療年末年始の休診についてサファリパーク🦁歯周病治療と一緒に禁煙🚭を!GW休診のお知らせUSJ クールジャパン!液体歯磨きと洗口液の違いWhiteday✨お口ポカンの影響御歳暮 岡田歯科医院TOP クリニック紹介 ドクター&スタッフ紹介 初めてご来院の方へ お急ぎの患者様へ 診療科目 健康通信 スタッフブログ お問い合わせ
保険適応のブリッジをジルコニアのブリッジにした症例 施術前 施術後 施術例詳細へ 歯が抜けた部分をメタルボンド接着性ブリッジで治療した例 施術前 施術後 施術例詳細へ 上奥歯抜歯後の補綴(ほてつ)をジルコニアでブリッジした症例 施術後 施術例詳細へ 右上小臼歯(前歯から数えて4~5番目)の抜歯後補綴(ほてつ)メタルボンドのブリッジした症例 施術前 施術後 施術例詳細へ 抜歯の後にジルコニアでブリッジにした症例 施術前 施術後 施術例詳細へ 右上小臼歯(前歯から数えて4〜5番目)の抜歯後補綴(ほてつ)メタルボンドのブリッジした症例 施術前 施術後 施術例詳細へ 投稿ナビゲーション 過去の投稿 素材別、部位別審美施術例 素材別 オールセラミック クラウン ジルコニア ブリッジ ホワイトニング メタルフリー メタルボンド 保険適応 部位別 すきっ歯 上前歯 上奥歯 下前歯 下奥歯 中切歯 側切歯 大臼歯 小臼歯 犬歯 当サイトでよく読まれています! 妊娠中の虫歯治療年末年始の休診についてサファリパーク🦁歯周病治療と一緒に禁煙🚭を!GW休診のお知らせUSJ クールジャパン!液体歯磨きと洗口液の違いWhiteday✨お口ポカンの影響御歳暮 岡田歯科医院TOP クリニック紹介 ドクター&スタッフ紹介 初めてご来院の方へ お急ぎの患者様へ 診療科目 健康通信 スタッフブログ お問い合わせ
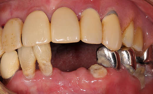
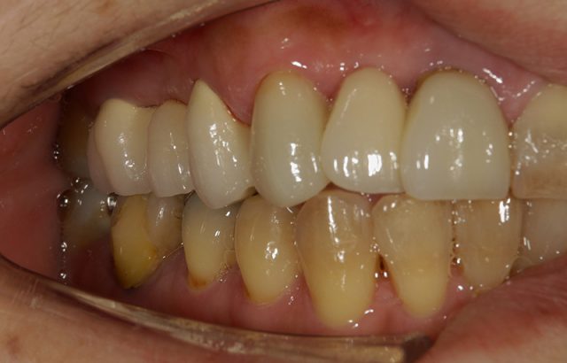
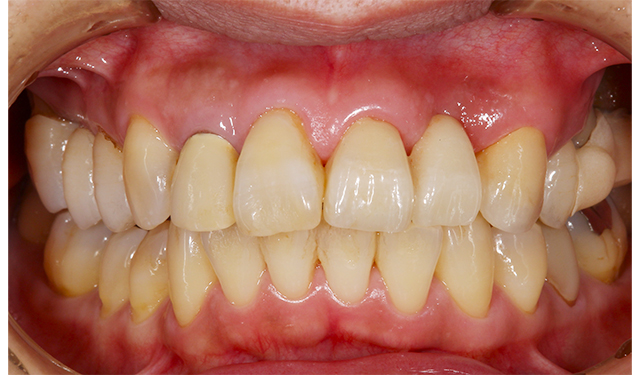
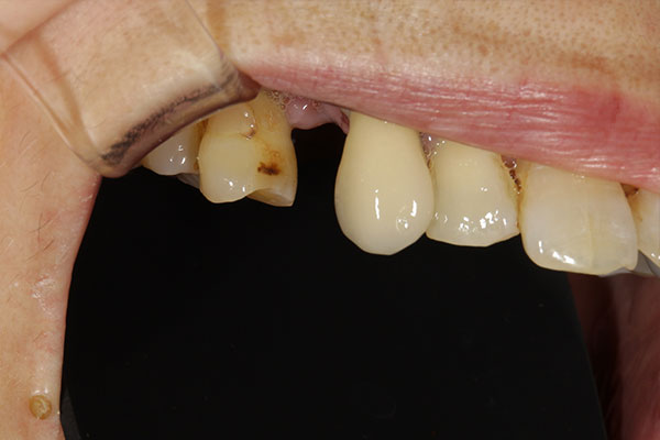
歯が抜けた部分をメタルボンド接着性ブリッジで治療した例 施術前 施術後 施術例詳細へ 上奥歯抜歯後の補綴(ほてつ)をジルコニアでブリッジした症例 施術後 施術例詳細へ 右上小臼歯(前歯から数えて4~5番目)の抜歯後補綴(ほてつ)メタルボンドのブリッジした症例 施術前 施術後 施術例詳細へ 抜歯の後にジルコニアでブリッジにした症例 施術前 施術後 施術例詳細へ 右上小臼歯(前歯から数えて4〜5番目)の抜歯後補綴(ほてつ)メタルボンドのブリッジした症例 施術前 施術後 施術例詳細へ 投稿ナビゲーション 過去の投稿 素材別、部位別審美施術例 素材別 オールセラミック クラウン ジルコニア ブリッジ ホワイトニング メタルフリー メタルボンド 保険適応 部位別 すきっ歯 上前歯 上奥歯 下前歯 下奥歯 中切歯 側切歯 大臼歯 小臼歯 犬歯 当サイトでよく読まれています! 妊娠中の虫歯治療年末年始の休診についてサファリパーク🦁歯周病治療と一緒に禁煙🚭を!GW休診のお知らせUSJ クールジャパン!液体歯磨きと洗口液の違いWhiteday✨お口ポカンの影響御歳暮 岡田歯科医院TOP クリニック紹介 ドクター&スタッフ紹介 初めてご来院の方へ お急ぎの患者様へ 診療科目 健康通信 スタッフブログ お問い合わせ
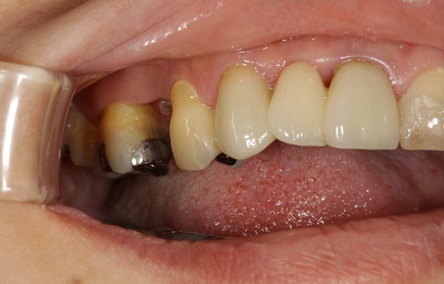
上奥歯抜歯後の補綴(ほてつ)をジルコニアでブリッジした症例 施術後 施術例詳細へ 右上小臼歯(前歯から数えて4~5番目)の抜歯後補綴(ほてつ)メタルボンドのブリッジした症例 施術前 施術後 施術例詳細へ 抜歯の後にジルコニアでブリッジにした症例 施術前 施術後 施術例詳細へ 右上小臼歯(前歯から数えて4〜5番目)の抜歯後補綴(ほてつ)メタルボンドのブリッジした症例 施術前 施術後 施術例詳細へ 投稿ナビゲーション 過去の投稿 素材別、部位別審美施術例 素材別 オールセラミック クラウン ジルコニア ブリッジ ホワイトニング メタルフリー メタルボンド 保険適応 部位別 すきっ歯 上前歯 上奥歯 下前歯 下奥歯 中切歯 側切歯 大臼歯 小臼歯 犬歯 当サイトでよく読まれています! 妊娠中の虫歯治療年末年始の休診についてサファリパーク🦁歯周病治療と一緒に禁煙🚭を!GW休診のお知らせUSJ クールジャパン!液体歯磨きと洗口液の違いWhiteday✨お口ポカンの影響御歳暮 岡田歯科医院TOP クリニック紹介 ドクター&スタッフ紹介 初めてご来院の方へ お急ぎの患者様へ 診療科目 健康通信 スタッフブログ お問い合わせ
右上小臼歯(前歯から数えて4~5番目)の抜歯後補綴(ほてつ)メタルボンドのブリッジした症例 施術前 施術後 施術例詳細へ 抜歯の後にジルコニアでブリッジにした症例 施術前 施術後 施術例詳細へ 右上小臼歯(前歯から数えて4〜5番目)の抜歯後補綴(ほてつ)メタルボンドのブリッジした症例 施術前 施術後 施術例詳細へ 投稿ナビゲーション 過去の投稿 素材別、部位別審美施術例 素材別 オールセラミック クラウン ジルコニア ブリッジ ホワイトニング メタルフリー メタルボンド 保険適応 部位別 すきっ歯 上前歯 上奥歯 下前歯 下奥歯 中切歯 側切歯 大臼歯 小臼歯 犬歯 当サイトでよく読まれています! 妊娠中の虫歯治療年末年始の休診についてサファリパーク🦁歯周病治療と一緒に禁煙🚭を!GW休診のお知らせUSJ クールジャパン!液体歯磨きと洗口液の違いWhiteday✨お口ポカンの影響御歳暮 岡田歯科医院TOP クリニック紹介 ドクター&スタッフ紹介 初めてご来院の方へ お急ぎの患者様へ 診療科目 健康通信 スタッフブログ お問い合わせ
抜歯の後にジルコニアでブリッジにした症例 施術前 施術後 施術例詳細へ 右上小臼歯(前歯から数えて4〜5番目)の抜歯後補綴(ほてつ)メタルボンドのブリッジした症例 施術前 施術後 施術例詳細へ 投稿ナビゲーション 過去の投稿 素材別、部位別審美施術例 素材別 オールセラミック クラウン ジルコニア ブリッジ ホワイトニング メタルフリー メタルボンド 保険適応 部位別 すきっ歯 上前歯 上奥歯 下前歯 下奥歯 中切歯 側切歯 大臼歯 小臼歯 犬歯
右上小臼歯(前歯から数えて4〜5番目)の抜歯後補綴(ほてつ)メタルボンドのブリッジした症例 施術前 施術後 施術例詳細へ 投稿ナビゲーション 過去の投稿 素材別、部位別審美施術例 素材別 オールセラミック クラウン ジルコニア ブリッジ ホワイトニング メタルフリー メタルボンド 保険適応 部位別 すきっ歯 上前歯 上奥歯 下前歯 下奥歯 中切歯 側切歯 大臼歯 小臼歯 犬歯