施術前
施術後
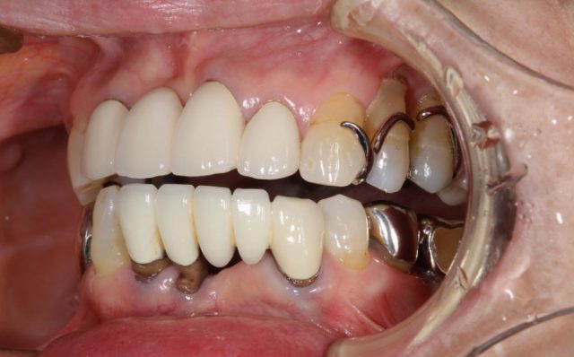
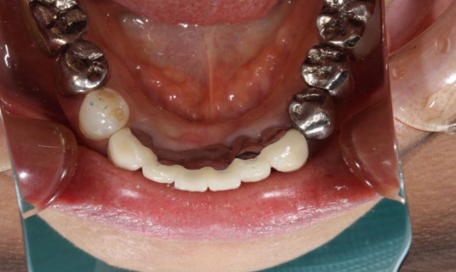
下がってきた歯茎にあわせるように新しい被せ物をつけていくので、術前に比べるととても自然です。今回の患者さまのように欠損している歯をブリッジにより回復する場合にはメタルボンドのような土台を金属でつなげたほうが強度が出ます。
上の歯を治療して以来、逆に下の歯がとても目立ってしまっていたと気になされていた患者さまですが、術後の仕上がりをみてとても喜んでおられました。
このように歯の見た目によってコンプレックスをもたれている方は是非お気軽に当院へご相談ください。あなたにあった最適な回復例をご紹介いたします。
■治療内容
歯の詰め物や被せ物をセラミックなどの白い素材で治療します。
■費用(自費)
インレー:1 本あたり 55,000円~66,000円(税込)
クラウン:1 本あたり 44,000円~143,000万円(税込)
ラミネートべニア:1 本あたり 55,000円~(税込)
■治療期間及び回数
症状によりますが、処置自体は通院1~2 回で完了します。
■副作用・リスク
・銀歯に比べて厚みがあるため、歯を削る量が若干多くなります。
・歯ぎしりなどにより稀に破損する場合があります。






