施術例
欠損した歯にジルコニアブリッジを入れた症例(保険外)
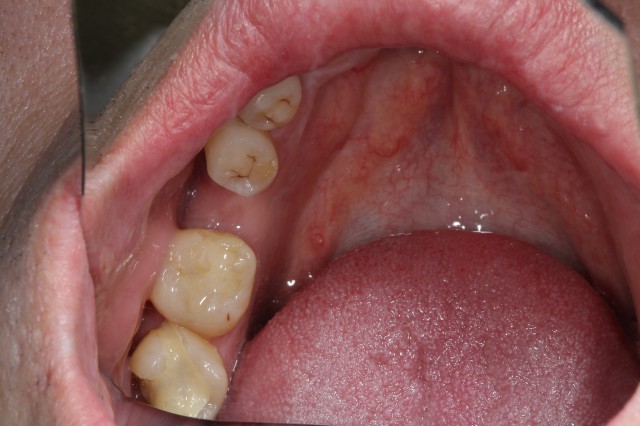
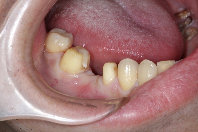
施術前
奥歯が抜けて欠損してしまっている状態でした。このままでは食べ物も噛みにくく、かみ締めることによる踏ん張りも効かなくなってしまいます。今回は欠損している部分の奥と前の歯にかぶせるようにかぶせ物をするブリッジと言う施術を行い欠損している部分を補います。奥歯は力強く噛む場所であるのでかぶせ物の強度も強いジルコニアというブリッジを施術させていただきました。
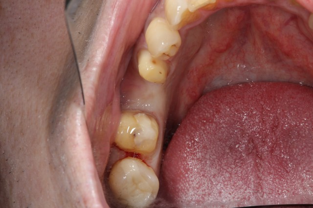
施術中
ジルコニアをブリッジ(かぶせる)するために欠損している部分の奥の歯と前方の歯をブリッジできるように削っていきます。
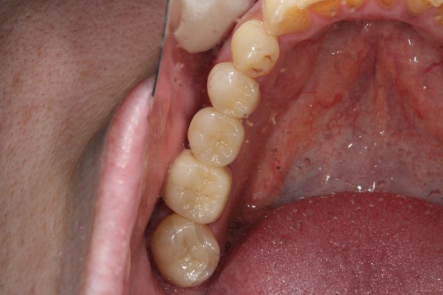
施術後
施術後の写真です。欠損していた部分に歯が入っています。欠損していた部分の奥と前にカバっとジルコニアをブリッジ(かぶせて)しています。強度も十分にあるため今までのように欠損していた部分を気にすることなく思う存分噛んでいただけます。食の基本は噛むことです。噛むことは健康な体を作るうえでも非常に大切です。もし歯の欠損でお悩みの方、うまく物が噛めないと悩んでおられる方は是非ご相談ください。
治療内容
歯の詰め物や被せ物をセラミックなどの白い素材で治療します。
費用(自費)
- インレー:1 本あたり 55,000円~66,000円(税込)
- クラウン:1 本あたり 44,000円~143,000万円(税込)
- ラミネートべニア:1 本あたり 55,000円~(税込)
治療期間及び回数
症状によりますが、処置自体は通院1~2 回で完了します。
副作用・リスク
- 銀歯に比べて厚みがあるため、歯を削る量が若干多くなります。
- 歯ぎしりなどにより稀に破損する場合があります。


