施術例
オールセラミックブリッジによる術例
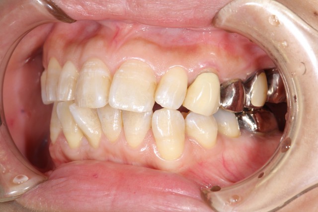
施術前
今回の患者様は被せ物が銀歯で非常に目立ってしまうというコンプレックスを感じておられるというご相談を受け、既存の歯を利用して奥歯三本を自費診療によるオールセラミックブリッジによる施術を行いました。また糸切り歯は単体で1本だけ被せ物を変更するクラウンにより施術を行いました。
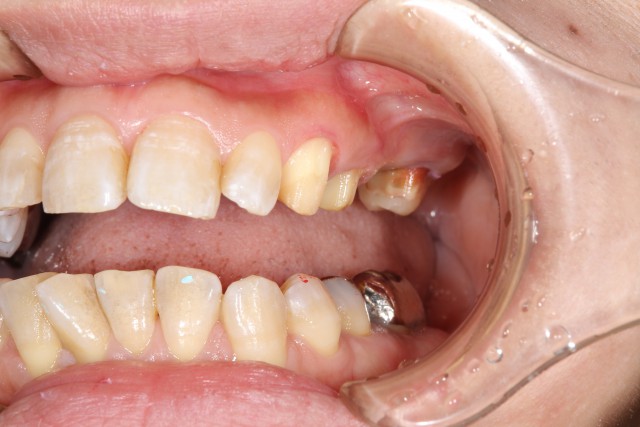
施術中
既存の被せ物を取り外し新しく取り付ける歯を制作していきます。奥歯の3本の真ん中の歯が欠損していますが、その前後の歯を利用して被せるメタルブリッジという術法により回復していきます。金属の上にセラミックをまきつける術法で非常に強度が強くなります。
施術後
今まで銀歯が目立っていた箇所はまわりの歯と自然な色味で合わされ非常にナチュラルな仕上がりとなり患者様も大変喜んでおられました。今回施術したセラミックによる被せ物は保険適応のものとは違い変色しにくいのが特徴です。なので、一度施術することで今後ストレスなく長く使っていただくことが出来ます。
口腔内環境は人によってそれぞれ違います。今回の術例のように使える歯を利用してその患者様にぴったりとあった回復術を模索し施術することも可能です。
もし「差し歯をきれいにしたいなぁ~」「自分の場合どんな方法があるんだろう」と口腔内環境でお悩みのある方はお気軽にお問い合わせください。
治療内容
歯の詰め物や被せ物をセラミックなどの白い素材で治療します。
費用(自費)
- インレー:1 本あたり 55,000円~66,000円(税込)
- クラウン:1 本あたり 44,000円~143,000万円(税込)
- ラミネートべニア:1 本あたり 55,000円~(税込)
治療期間及び回数
症状によりますが、処置自体は通院1~2 回で完了します。
副作用・リスク
- 銀歯に比べて厚みがあるため、歯を削る量が若干多くなります。
- 歯ぎしりなどにより稀に破損する場合があります。


